V Jornadas de Ecografía de la semFYC

9 y 10 de febrero de 2024

Comunicaciones: Casos clínicos

«Doctor, me fallan las piernas» (póster)

Ámbito del caso

Atención Primaria

Motivos de consulta

Dolor aquíleo y dificultad para deambulación.

Historia clínica

Enfoque individual

Hombre de 79 años con antecedentes de EPOC, dislipemia y cardiopatía isquémica. Consulta por dolor aquíleo bilateral de 4 días de evolución, más acusado en izquierdo, con eritema local y dificultad para la deambulación. Eritema e inflamación a nivel de tendón de Aquiles bilateral, más acusada en el izquierdo, con solución de continuidad en ese lado. No artritis significativa ni signos de TVP. Homans negativo. Maniobra de Thompson izquierda positiva.

Hallazgos ecográficos

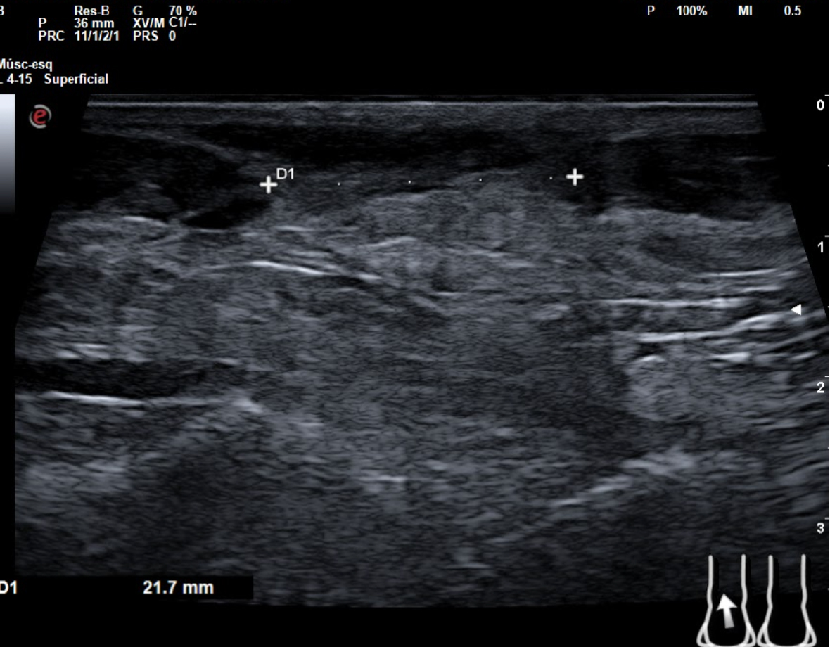
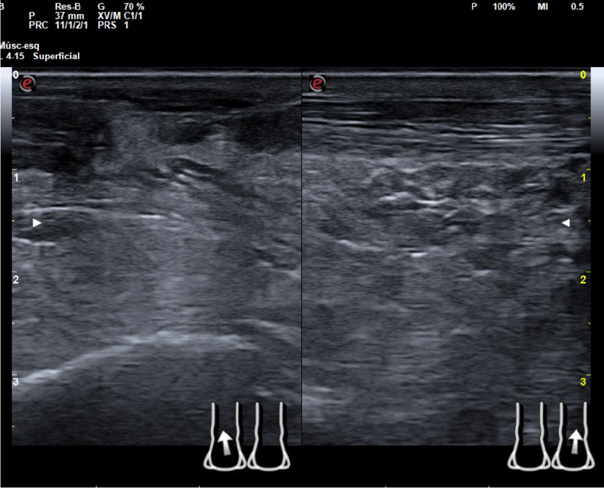
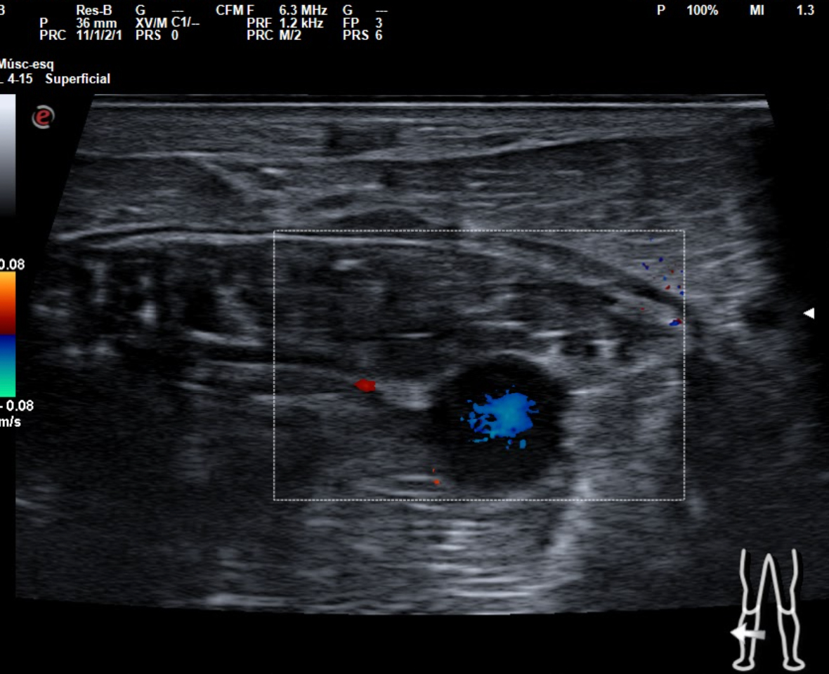
En tendón aquíleo izquierdo se aprecia rotura completa con solución de continuidad de 2 cm localizada a 5,7 cm de su inserción en el calcáneo. Presenta áreas hipoecoicas peritendón que sugieren hematoma secundario. En el aquíleo derecho presenta leve hipoecogenicidad y engrosamiento del tendón sin solución de continuidad que sugiere tendinosis. Importante componente inflamatorio. No datos de TVP. Poplítea y safena externa permeables y compresibles en ambas extremiedades.

Pruebas complementarias

Radiografías de ambos tobillos no muestran fracturas.

Juicio clínico, diagnóstico diferencial, identificación de problemas

Juicio clínico: Rotura completa de tendón de Aquiles izquierdo. Tendinosis aquílea derecha.
Diagnóstico diferencial: esguince de tobillo, artritis.
Concordancia con el hospital: los hallazgos de la ecografía realizada en el hospital confirman la sospecha diagnóstica emitida desde el Centro de Salud.

Tratamiento y planes de actuación

Vendaje en equino y derivación a Urgencias de Traumatología, donde se confirma el diagnóstico y se coloca yeso en equino. Se opta por tratamiento conservador con Walker durante 6 semanas y rehabilitación.

Evolución

El paciente presenta buena evolución con recuperación progresiva de la deambulación. Actualmente en seguimiento por los servicios de Traumatología y Rehabilitación.

Conclusiones (y aplicabilidad para la Medicina de Familia)

La ecografía en el ámbito de la Atención Primaria permite confirmar sospechas diagnósticas de forma rápida, sencilla e inocua para el paciente. En este caso permitió un tratamiento precoz con vendaje en equino y una derivación rápida y ya orientada, evitando retrasos diagnósticos y terapéuticos y permitiendo asegurar la evolución óptima del paciente.
 
 
 
 

Comunicaciones y ponencias semFYC: 2026; Comunicaciones: Casos clínicos. ISSN: 2339-9333

Autores

Vidal Arboiro, José Manuel
CS Ortuella. Bizkaia
Meis Piñeiro, Xurxo
CS Ortuella. Bizkaia
Rodriguez Salvador, Juan Jose
CS Ortuella. Bizkaia