X Jornadas de Actualización en Medicina de Urgencias y VI Jornadas de Ecografía de la semFYC
6-7-8 de febrero de 2025
Urgencias hospitalarias.
Omalgia derecha.
Dolor costal derecho.
Enfoque individual: antecedentes personales, anamnesis, exploración, pruebas complementarias, etc.
Hombre de 87 años que consulta por tercera vez en un servicio de urgencias o su médico de Atención Primaria durante el último mes.
Antecedentes: Alérgico a AAS. IABVD. Niega hábitos tóxicos actualmente. FRCV: HTA, DLP y DM tipo II. Hipotiroidismo. SCASEST en 2007.
Reconsulta por dolor que comienza hace 1 mes de manera puntual tras la realizacón de ejercicio en la huerta o levantar peso en casa, ninguna mejoría con la toma de analgesia habitual habiéndose realizado previamente exploraciones debido a la omaglia.
En exploración TA 122/64 FC 78, SatO2 96%.
Ausucltación sin alteraciones, palpación abdominal sin alteraciones, llama la atención dolor a la palpación en parrilla costal derecha. No alteraciones a la movilidad de hombro y sin dolor a la palpación.
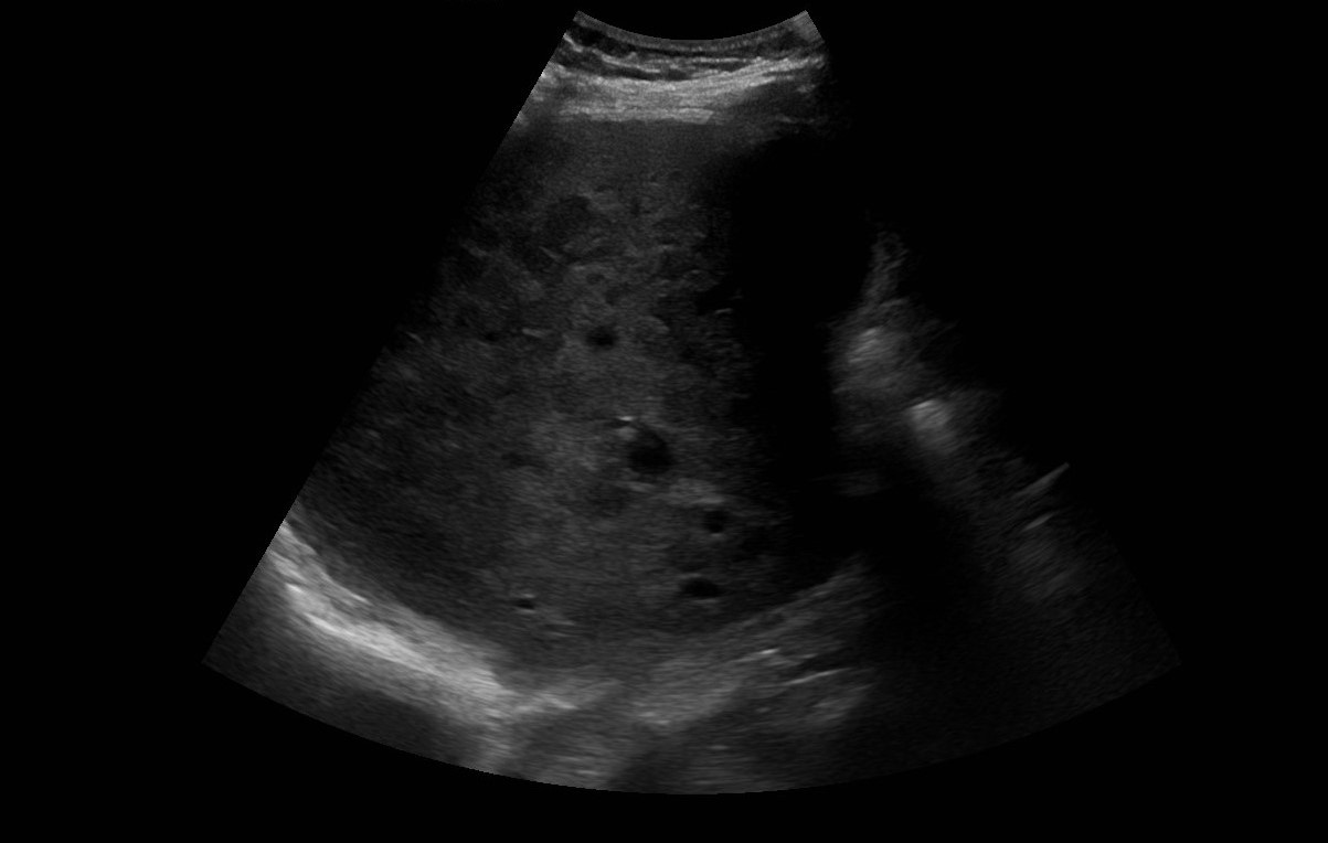
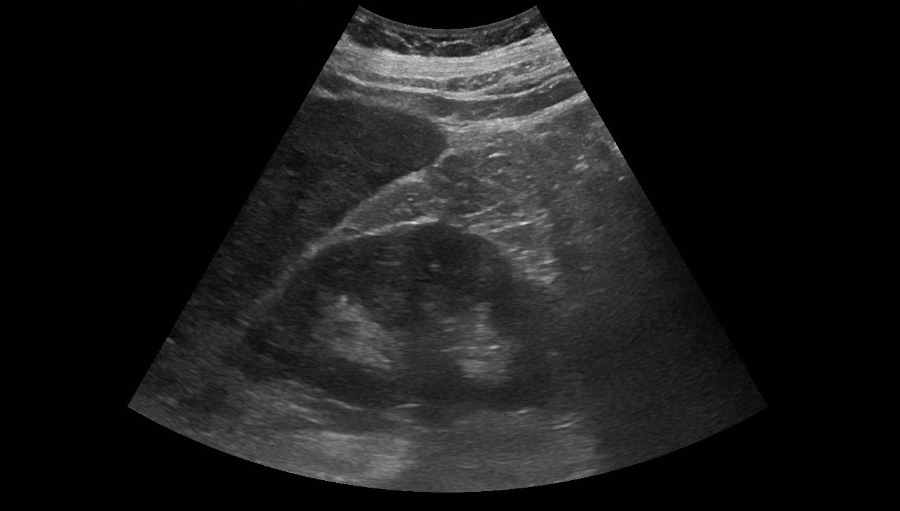
Se realiza analítica con perfil hepático: GOT 100, GPT 55, GGT 454 y FA 218 con proteína C Reactiva 146 y Lactato deshidrogenasa 1.227; por lo que se realiza ecografía clínica a pie de cama con hallazgo de múltiples imágenes hipoecoicas en parénquima hepático.
Juicio clínico, diagnóstico diferencial, identificación de problemas
LOE hepáticas.
Omalgia referida.
La práctica clínica nos hace pensar en lo más frecuente, pero tras varias consultas por el mismo motivo es bueno pensar más allá y rexplorar al paciente.
Tratamiento y planes de actuación.
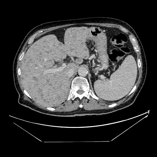
Se cursó ingreso ante el diagnóstico del paciente con posterior estudio de las imágenes hepáticas con resultado de neoplasia pancreática con incontables metástasis hepáticas.
Evolución
El paciente fue derivado a Cuidados Paliativos tras la valoración por Oncología Médica.
Frecuentemente pensamos en la patología más frecuente como única opción sin realizar exploración completa del paciente y una adecuada historia clínica, por lo que tras visitas múltiples sería adecuado replantearse.


