X Jornadas de Actualización en Medicina de Urgencias y VI Jornadas de Ecografía de la semFYC
6-7-8 de febrero de 2025
Antecedentes personales relevantes, anamnesis, exploración física y lugar que ocupa en ella la ecografía
Mujer de 21 años que acude a consulta por dolor abdominal desde hace 4 años, de tipo cólico en flanco derecho. Náuseas ocasionales. No empeora con comida concreta. No fiebre ni alteraciones del hábito intestinal. Tampoco cambios en la orina. No ha perdido peso.
Acudió hace 3 años por el mismo motivo. Se solicitó analítica sanguínea con bioquímica (que incluía perfil hepático y renal), hemograma y orina, sin alteraciones. También ecografía abdominal ambulatoria: ectasia pielocalicial grado I del riñón derecho, sin dilatación del uréter ni causa obstructiva apreciable; resto normal.
Exploración abdominal: blando, depresible. Dolor a la palpación en flanco derecho, sin defensa. No signos de peritonismo. Signo de Murphy negativo. No se palpan masas ni organomegalias. Puño percusión bilateral negativa. Peristaltismo conservado.
Ante persistencia de dolor de largo tiempo, se cita a la paciente de forma programa en la consulta para realización de una ecografía clínica.
Descripción de los hallazgos ecográficos y las imágenes más relevantes para la resolución del caso
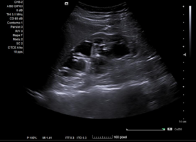
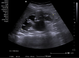
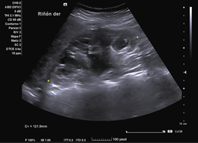
En ecografía clínica desde el centro de salud, se objetiva gran dilatación del sistema excretor del riñón derecho, con adelgazamiento de la cortical (hidronefrosis grado III-IV). No se aprecia litiasis u otra causa obstructiva a nivel renoureteral ni vesical. Riñón derecho conserva tamaño normal. Riñón izquierdo de tamaño y ecoestructura normales, sin dilatación piélica. Vejiga bien replecionada sin alteraciones en su pared.
Otras pruebas complementarias realizadas (si existen)
Analítica de sangre (bioquímica con perfil hepático y renal, hemograma y estudio de celiaquía). Anormal y sedimentos de orina. Detección de Helicobacter pylori en heces.
Juicio clínico, diagnóstico diferencial, concordancia con el hospital (en su caso)
Juicio Clínico: Riñón derecho con dilatación de su sistema excretor.
Diagnóstico diferencial: dispepsia funcional, gastritis por Helicobacter pylori, enfermedad celíaca, litiasis renoureteral.
Concordancia con el hospital. Se realiza Urografía por Tomografía Computada que confirma hidronefrosis grado IV en riñón derecho; no se objetivan litiasis renoureterales; se aprecia arteria accesoria polar inferior de dicho riñón, la cual cruza la unión pieloureteral ipsilateral.
Decisiones adoptadas: tratamiento, planes de actuación
Se deriva mediante interconsulta a Urología, quienes continúan estudio y manejo.
Evolución y seguimiento
Urología solicita renograma que objetiva alteración de la función parenquimatosa del riñón derecho, con moderada ectasia piélica. La paciente queda pendiente de pieloplastia de riñón derecho.
La realización de la ecografía clínica desde Atención Primaria permitió obtener un diagnóstico más temprano, adelantando en meses el tratamiento posterior prescrito por Urología y posibilitando aún la viabilidad de ese riñón.


