X Jornadas de Actualización en Medicina de Urgencias y VI Jornadas de Ecografía de la semFYC
6-7-8 de febrero de 2025
Dolor abdominal, saciedad precoz y pirosis.
Antecedentes personales relevantes, anamnesis, exploración física y lugar que ocupa en ella la ecografía
Mujer de 50 años que consulta por dolor abdominal postprandial, sensación de plenitud, pérdida de peso de meses de evolución. No cambios en el hábito intestinal ni vómitos.
AP: Poliquistosis renal AD, menopausia.
EF:Abdomen blando y depresible con distención a nivel de mesogastrio, no doloroso, peristaltismo conservado.
Se realiza ecografía abdominal para descartar complicaciones de PQR, litiasis vesicular, etc.
Descripción de los hallazgos ecográficos y las imágenes más relevantes para la resolución del caso
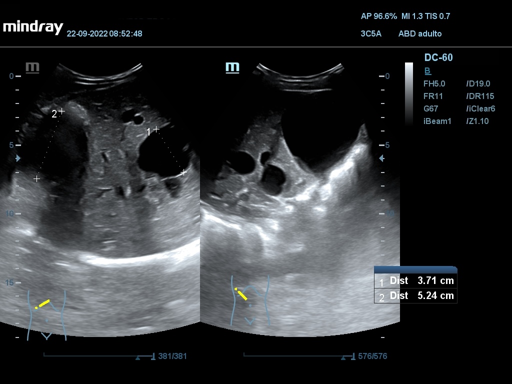
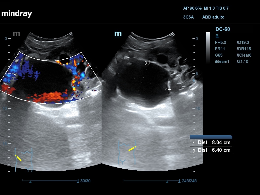
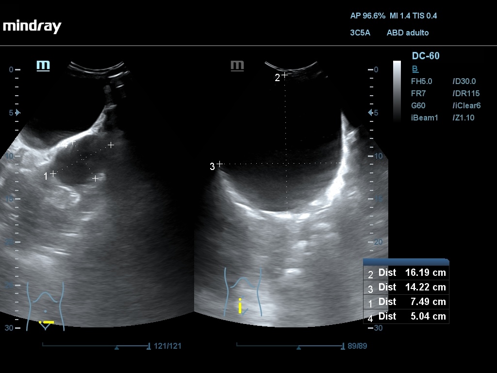
Ecografía abdominal: Se observan varios quistes simples a nivel hepático, siendo el mayor de 52,4 mm, en ambos riñones siendo el mayor de 77 x 83 mm en RD y de 80 x 64 mm en RI. En hipogastrio se observa imagen redondeada, anecogénica, con sombra posterior, de borde liso y fino, no tabicada, de aprox. 161 x 142 mm y otra de características similares de 74 x 54 mm.
Otras pruebas complementarias realizadas (si existen)
TAC abdominal:
Se describe imagen de 22 cm con probable localización anexial izq. El crecimiento del quiste ha condicionado un desplazamiento del mismo hacia cavidad abdominal derecha, desplazando lateralmente las asas del intestino y colon.
Juicio clínico, diagnóstico diferencial, concordancia con el hospital (en su caso)
Juicio clínico: Cistoadenoma seroso de ovario izquierdo.
Diagnóstico diferencial: Se debe diferenciar principalmente del Cistocarcinoma seroso, que a nivel ecográfico aparece como multiloculado, con proyecciones papilares y polos sólidos captantes. Pueden ser bilaterales y acompañarse de ascitis. Pueden asociar implantes peritoneales.
Ginecología confirman diagnóstico mediante ecografía vaginal de una formación anecogénica de 170 x 120 mm de localización centropélvica.
Decisiones adoptadas: tratamiento, planes de actuación
Se realiza laparoscopia con vaciado y extirpación del quiste + anexectomía izquierda.
En la AP se confirma el diagnóstico de Cistoadenoma Seroso Ovárico.
Evolución y seguimiento
Desaparece la clínica abdominal tras cirugía.
El Cistoadenoma Seroso es un tumor epitelial benigno de ovario, que supone un 25% de los tumores benignos de este órgano. Es más frecuente en mujeres entre los 40-60 años. Generalmente son unilaterales, aunque en un 25% pueden ser bilaterales.
No existe asociación de la Poliquistosis renal AD con la formación de quistes ováricos.
La existencia de otros quistes de tamaño considerable en la cavidad abdominal debido a la PQ, puede dificultar la determinación del origen de este en la ecografía abdominal, sobre todo cuando son de tamaño grande.



