5, 6 y 7 de febrero de 2026
Enfoque individual
Mujer de 81 años que acude a su Centro de Salud por ictericia y diarrea de 1 semana de evolución. No coluria. No dolor. No náuseas, ni vómitos. No sintomatología infecciosa.
AP:
EF:
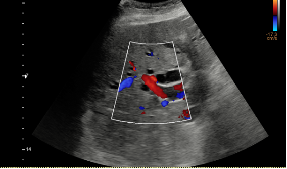
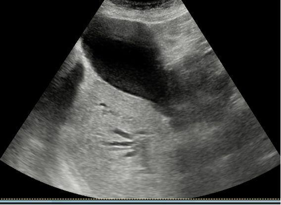
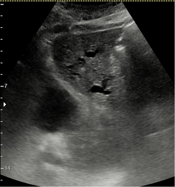
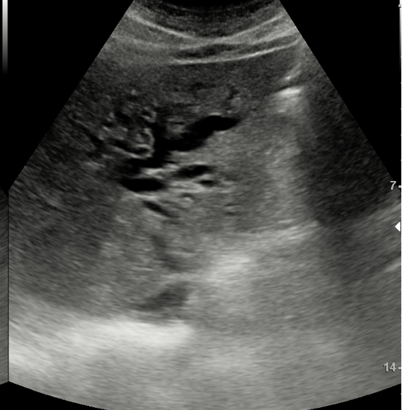
Hallazgos ecográficos
Pruebas complementarias
Juicio clínico, diagnóstico diferencial, concordancia con el hospital (en su caso)
JC: Tumor páncreas.
DD:
Diagnóstico definitivo: Adenocarcinoma de cabeza de páncreas cT1c cN0 cM0 KRAS G12D.
Tratamiento, planes de actuación
Evolución
Recuperada tras intervención quirúrgica y con buena tolerancia a la quimioterapia.En este caso se observa la importancia de una buena formación en ecografía clínica para la realización de hallazgos de patología maligna en situaciones de sospecha. Así como el poder descartar otros diagnósticos e incluso patología urgente.



