V Jornadas de Ecografía de la semFYC

9 y 10 de febrero de 2024

Comunicaciones: Casos clínicos

Diagnóstico instantáneo (póster)

Ámbito del caso

Atención Primaria

Motivos de consulta

Dolor testicular y tumefacción

Historia clínica

Enfoque individual

Sin antecedentes personales de interés. Varón de 31 años que acude por presentar desde hace un mes molestias en testículo derecho e hinchazón. En la exploración física se palpa induración en polo inferior, no dolorosa, sin signos inflamatorios. Se decide citar para ecografía en el Centro de Salud.

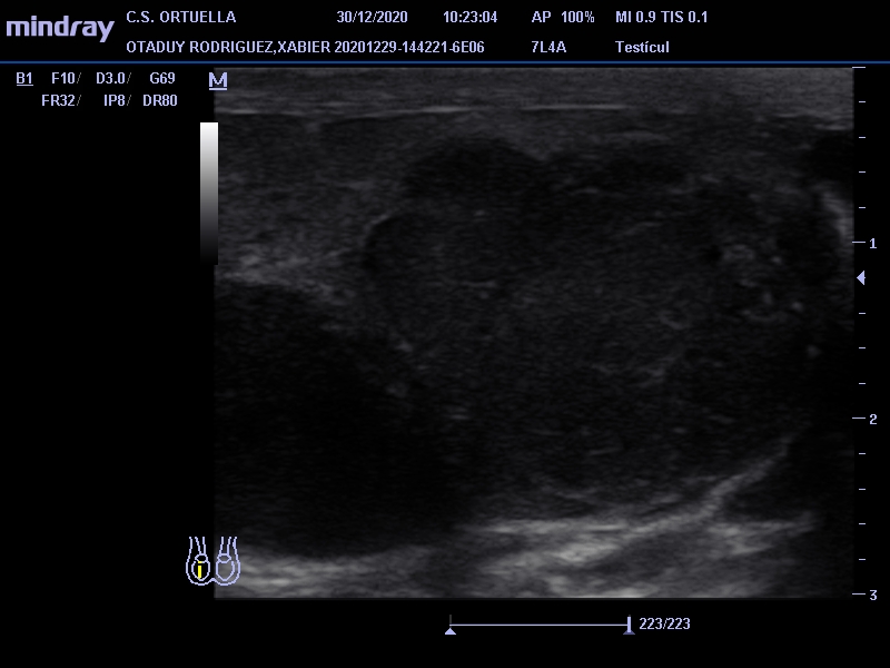
Hallazgos ecográficos

Masa de 38 x 40 mm, hipoecogénica, con aumento de vascularización mediante doppler, en polo inferior de teste derecho.

Juicio clínico, diagnóstico diferencial, identificación de problemas

Neoplasia testicular.

Tratamiento y planes de actuación

Se decide derivar de forma preferente al servicio de Urología para orquiectomía y estudio de extensión.

Evolución

El paciente trabajaba en un hospital privado por lo que decide continuar el estudio en dicho centro. Se le realiza una orquiectomía radical y en el informe de anatomía patológica figura el diagnóstico de seminoma testicular. El estudio de extensión resulta negativo, recibe tratamiento quimioterápico y posteriormente permanece en remisión completa.

Conclusiones (y aplicabilidad para la Medicina de Familia)

La accesibilidad del testículo, la ausencia de necesidad de preparación previa y la sensibilidad cercana al 100% de la ecografía para detectar masas escrotales hacen que la patología escrotal sea de rápido y fácil diagnóstico en Atención Primaria. En el caso que se presenta el diagnóstico de una enfermedad maligna fue casi inmediato tras haberse presentado el paciente en la consulta. Esto agiliza el tratamiento y contribuye a rebajar la ansiedad del paciente.


Comunicaciones y ponencias semFYC: 2026; Comunicaciones: Casos clínicos. ISSN: 2339-9333

Autores

Carreño Segura, Oscar
CS de Ortuella. Bizkaia
Rodriguez Torre, Ana Rosa
CS de Ortuella. Bizkaia