5, 6 y 7 de febrero de 2026
Atención Primaria.
Analítica de control.
Enfoque individual
AP: Hipertensión arterial en tratamiento con enalapril.
EA: Hombre de 54 años solicita analítica de control por la HTA, aunque no cumple tratamiento. Acude nuevamente a consulta para resultados destacando FG de 50 (previo de 92) y creatinina de 1.54 sin otras alteraciones, se decide repetirle analítica en un mes y solicitar ecografía abdominal.
Tras 1 mes, vemos la nueva analítica, totalmente anodina, FG de 70 y una creatinina de 1.17. El paciente en ese momento cuenta cansancio ocasional, disnea y dolor generalizado, pero que relacionaba con la ansiedad.
EF:Exploración abdominal: abdomen blando, depresible, no doloroso a la palpación profunda ni superficial. No se palpan masas ni megalias. No signos de irritación peritoneal. Puño-percusión negativa.
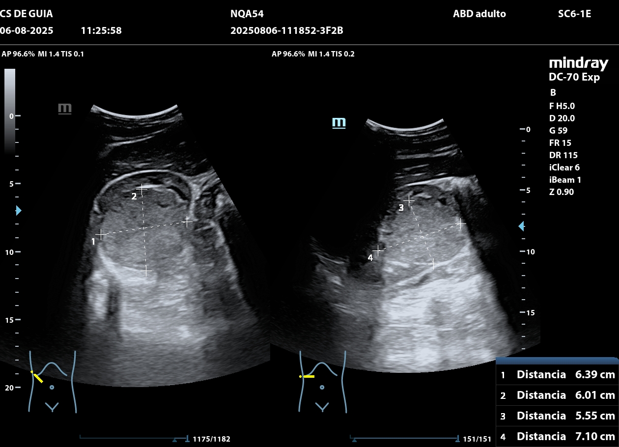
Hallazgos ecográficos
Ecografía: riñón derecho una masa isoecogénica de 7,1 x 6,3 cm de diámetro en médula renal que no deforma la cortical, vascularización periférica y sin sombra posterior.
Pruebas complementarias
Se decide derivación a Urología.
TAC: Neoplasia renal derecha T2a-T3 N0 M0.
Juicio clínico, diagnóstico diferencial, concordancia con el hospital (en su caso)
JC: neoplasia renal derecha.
Tratamiento, planes de actuación
En este momento paciente incluido en lista de espera para Nefrectomía total.
Dada la gravedad de la patología se pone de manifiesto la importancia de valorar alteraciones analíticas aparentemente leves y de aprovechar la ecografía clínica en Atención Primaria, ya que puede facilitar el diagnóstico precoz de hallazgos relevantes, como detectar de forma incidental un carcinoma renal, permitiendo actuar con rapidez y mejorar el pronóstico del paciente.

