V Jornadas de Ecografía de la semFYC

9 y 10 de febrero de 2024

Comunicaciones: Casos clínicos

Diagnóstico imprevisto (oral)

Ámbito del caso

Atención Primaria

Motivos de consulta

Sintomatología difusa digestivo abdominal.

Historia clínica

Enfoque individual

Historia Clínica: Mujer de 53 años. AP: IAM no Q hace 8 años. En estudio por Reumatología por Artritis Reumatoide FR- y Síndrome Anticuerpo Antisintetasa. Morfea en placa controlada. En tto. con micofenolato e hidroxicloroquina.

Enfermedad actual: paciente que en la primera semana de octubre 2023 sufre episodio de TVP diagnosticada en hospital privado por la que pide cita para extender IT. En su visita a consulta refiere que tiene molestias abdominales con clínica digestiva tipo dispepsia y meteorismo. Ala EF: abdomen blando, no doloroso a la palpación, ligeramente distendido. Se cita para Ecografía abdominal a la semana siguiente.

Hallazgos ecográficos

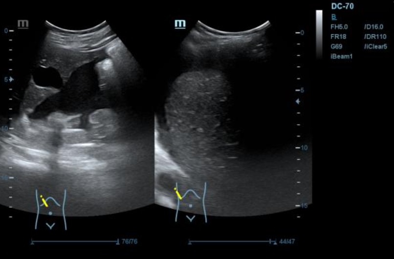
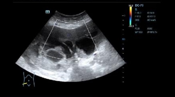
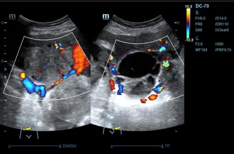
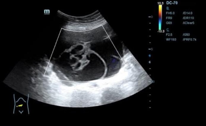
Ecografía: se observa presencia de líquido ascítico, e imagenes en hipomesogastrio hipo e hiper ecogénicas, tabicadas algunas, con efecto masa, con vascularizacion al Doppler que sugieren carcinoma de ovario.

Pruebas complementarias

Se remite urgente a ginecología quien solicita marcadores tumorales (CA 125, HE24) e Índice Roma y cita para ecografía vaginal rápidamente, pruebas que apoyan el diagnóstico. También se realiza TAC posteriormente.

Juicio clínico, diagnóstico diferencial, identificación de problemas

Neoplasia de ovario bilateral con carcinomatosis peritoneal y omental, implantes peritoneales y subcapsulares hepáticas y abundante ascitis.

Tratamiento y planes de actuación

Actualmente está pdte de Oncología Ginecológica y ya tiene programada cirugía.

Evolución

Es un caso tan reciente que aún no sabemos la evolución.

Conclusiones (y aplicabilidad para la Medicina de Familia)

Conclusiones: el uso del ecográfo en Atención Primaria demuestra su gran utilidad, en casos como este, en el que la paciente padecía una sintomatología vaga que para nada hacía sospechar la importante enfermedad que al final era responsable de la misma y que se consiguió diagnosticar rápidamente gracias a él.

 


Comunicaciones y ponencias semFYC: 2026; Comunicaciones: Casos clínicos. ISSN: 2339-9333

Autores

Nuño Garcia, Oscar
CS de Maspalomas. Gran Canaria
Miranda Cortina, Ramón
CS de Maspalomas. Gran Canaria