V Jornadas de Ecografía de la semFYC

9 y 10 de febrero de 2024

Comunicaciones: Casos clínicos

Diagnostico hipernefroma a partir de imagen ecográfica de Atención Primaria (oral)

Ámbito del caso

Atención Primaria

Motivos de consulta

Hematuria franca intermitente.

Historia clínica

Enfoque individual

61 años. No antecedentes de interés.

Acude al punto de atención continuada por hematuria franca intermitente desde el día anterior. Le recomendaron acudir a urgencias hospitalarias. Lo declina por dificultad acceso y ser cuidador de pareja con limitaciones físicas. Tras recoger urocultivo y pautar antibiótico se cita al día siguiente en consulta de primaria.

Visto por su médico de cabecera se encuentra asintomático con exploración normal. Se realiza en el momento ecografía urológica.

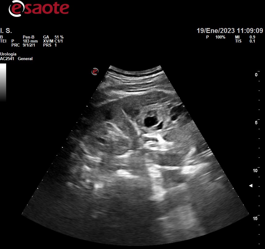
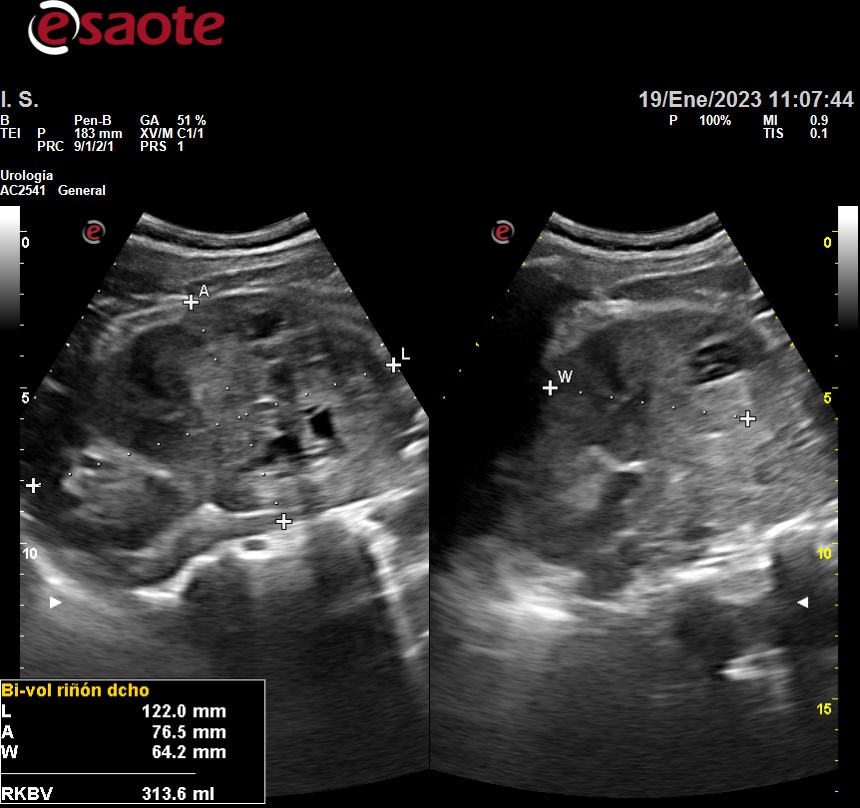
Hallazgos ecográficos

Siguiente hallazgo:

  • Riñón derecho aumento tamaño 12.2 x 76.5 x 64.2, irregular, heteroecoico con presencia de áreas hipoecoicas sin litiasis ni dilatación sistema pielocalicial.

Pruebas complementarias

Se solicita analítica con función renal, hemograma, etc., sin alteraciones como el urocultivo.

Juicio clínico, diagnóstico diferencial, identificación de problemas

Ecografía hospital: tumoración renal derecha primaria, predominantemente sólida con zonas quísticas, en cortical externa interpolar - polar inferior, con proyección al seno renal, sin infiltración del pedículo vascular.

Tratamiento y planes de actuación

No pudiendo emitir un diagnóstico de certeza en el momento, dada la situación clínica y deseos del paciente se acuerda realizar estudio ambulatorio.

Para confirmar la sospecha se solícita ecografía preferente describiendo los hallazgos y adjuntando las imágenes. Realizada a la semana.

Evolución

Según protocolo vigente se cita para TAC tóraco-abdómino-pélvico, realizado a la semana, confirmando masa renal sugestiva de Hipernefroma.

Derivado a Urología como paciente prioritario, es valorado en consulta días después, terminando el estudio, programando y realizando nefrectomía.

Conclusiones (y aplicabilidad para la Medicina de Familia)

Al identificar una imagen anormal y dada la estabilidad clínica no estaban indicados ni el estudio ordinario ni la derivación a urgencias hospitalarias. Se pudo realizar el estudio ambulatorio de manera preferente - prioritaria, respetando los deseos del paciente y su situación.

La Ecografía en nuestras consultas nos permite mejorar nuestra eficiencia, capacidad diagnóstica y de decisión clínica. Más aún en situaciones en las que existen dificultades familiares, sociales o distancia del centro de referencia.

Aun así, no está incorporada a los protocolos o algoritmos de decisión en nuestro medio la actuación ante un hallazgo ecográfico en atención primaria. Debiera tenerse en cuenta e incorporarlo dado su potencial para mejorar la efectividad y acortar tiempos de espera.

 

 


Comunicaciones y ponencias semFYC: 2026; Comunicaciones: Casos clínicos. ISSN: 2339-9333