X Jornadas de Actualización en Medicina de Urgencias y VI Jornadas de Ecografía de la semFYC
6-7-8 de febrero de 2025
Atención Primaria.
Molestias abdominales intermitentes.
Antecedentes personales relevantes, anamnesis, exploración física y lugar que ocupa en ella la ecografía
Mujer de 83 años sin antecedentes relevantes salvo hipertensión arterial que consulta por molestias abdominales intermitentes localizadas en fosa iliaca derecha.
Presenta buen estado general, afebril, con auscultación cardiopulmonar normal. Molestias al palpar fosa iliaca derecha apreciando una masa de consistencia blanda que no se modifica con maniobras de Valsalva, los ruidos hidroaéreos son normales, no se ausculta soplo abdominal y no tiene signos de irritación peritoneal.
Ante hallazgos, se realiza ecografía clínica en la consulta.
Descripción de los hallazgos ecográficos y las imágenes más relevantes para la resolución del caso
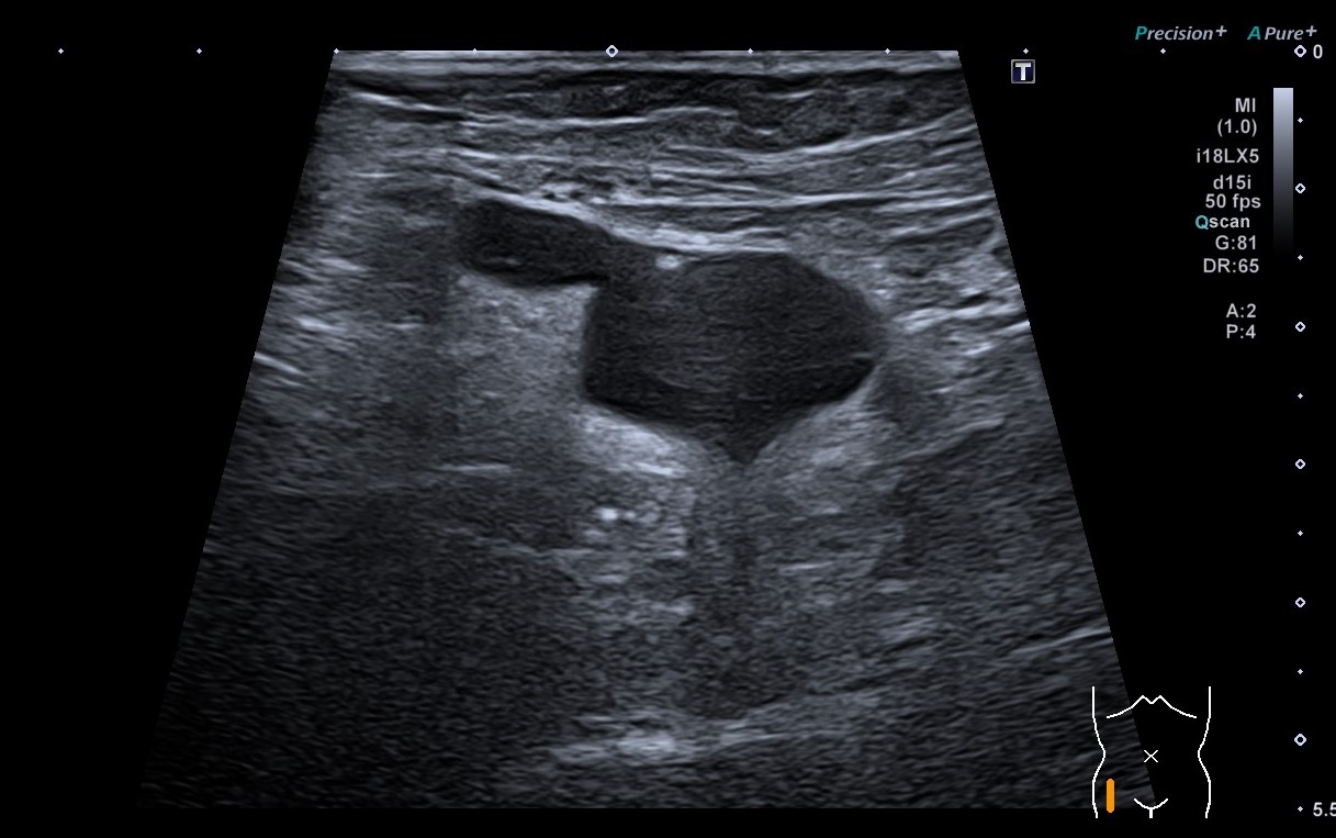
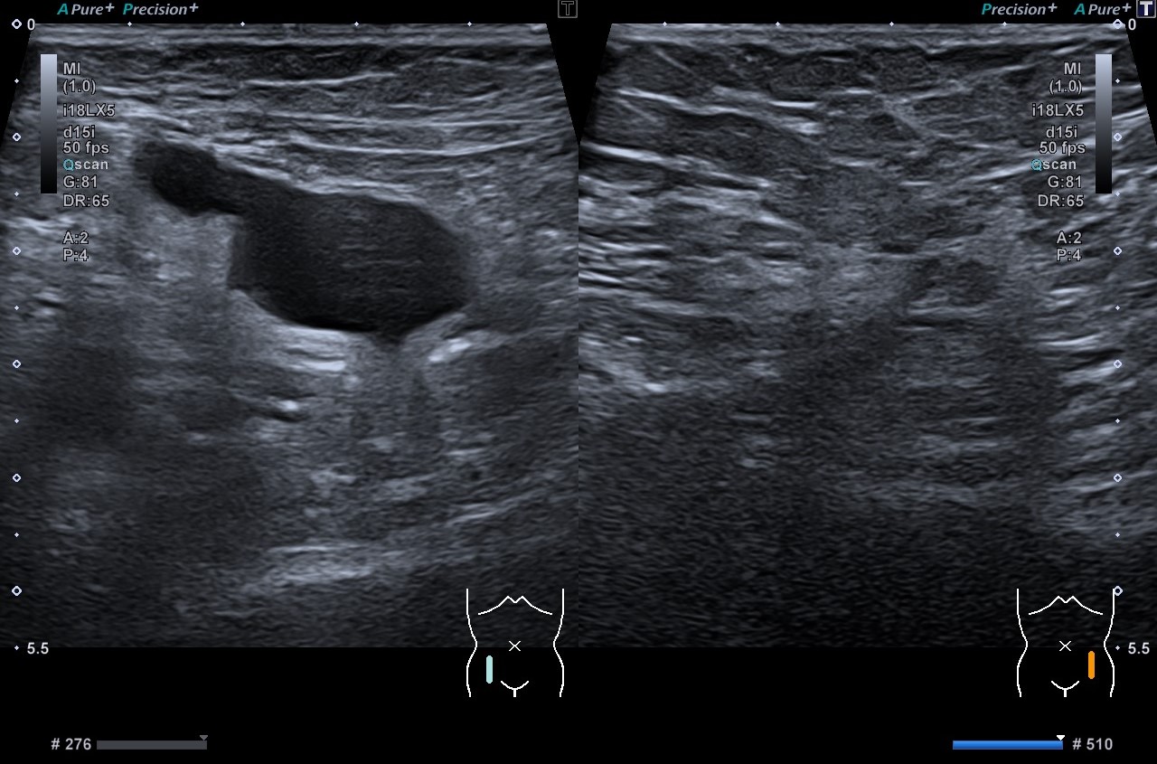
Se aprecia una colección líquida de unos 30 milímetros (mm) alargada con el extremo distal que termina en forma de pico en región inguinal derecha. Ecográficamente se aprecia ligera modificación con Valsalva.
Otras pruebas complementarias realizadas (si existen)
Se solicita ecografía abdominal reglada
Juicio clínico, diagnóstico diferencial, concordancia con el hospital (en su caso)
Semanas después se realiza ecografía reglada por el radiólogo que describe una colección de unos 33 mm con morfología «en pico», que se modifica discretamente con Valsalva presentando un cuello de unos 7 mm. Impresiona de imagen compatible con una hernia inguinal con contenido líquido aunque su morfología peculiar recuerda al quiste de Nuck, que resulta excepcional en el rango de edad de la paciente.
Decisiones adoptadas: tratamiento, planes de actuación
La paciente es derivada a cirugía general y tras valoración en consulta es intervenida de hernioplastia inguinal derecha con evolución favorable en las siguientes semanas.
Evolución y seguimiento
A los 7 meses de la intervención, la paciente consulta por aparición de un bulto sobre región intervenida. Apreciamos nuevamente la misma imagen y derivamos a cirugía general para nueva valoración, bien sea por hernioplastia fallida como para plantearse nuevos diagnósticos diferenciales como el quiste de Nuck, sugerido previamente por el radiólogo. La paciente está actualmente pendiente de valoración.
El quiste de Nuck es el equivalente femenino del hidrocele. Se trata de una anomalía congénita condicionada por la persistencia del proceso vaginalis que acompaña al ligamento redondo en el canal inguinal. Se trata de una condición muy infrecuente, más en población adulta, ya que generalmente se diagnostica en la infancia mediante técnicas de imagen como ecografía o tomografía. Su principal diagnóstico diferencial se da con la hernia inguinal o alteraciones vasculares y su tratamiento es quirúrgico.

