X Jornadas de Actualización en Medicina de Urgencias y VI Jornadas de Ecografía de la semFYC
6-7-8 de febrero de 2025
Atención Primaria.
Mujer de 35 años que acude a consulta de Atención Primaria por presentar dolor intenso en fosa lumbar izquierda, sin irradiación. También refiere escozor al orinar y polaquiuria.
Antecedentes personales relevantes, anamnesis, exploración física y lugar que ocupa en ella la ecografía
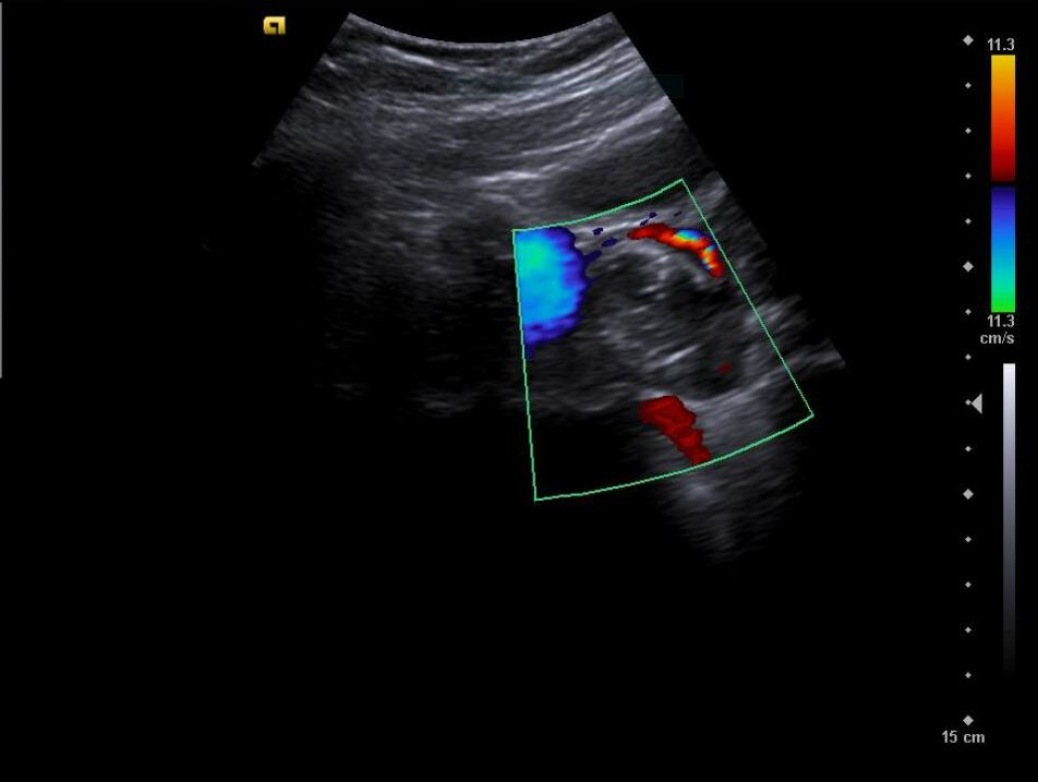
Descripción de los hallazgos ecográficos y las imágenes más relevantes para la resolución del caso
Otras pruebas complementarias realizadas (si existen)
Tira reactiva de orina positiva.
Cultivo de orina pendiente.
Juicio clínico, diagnóstico diferencial, concordancia con el hospital (en su caso)
Diagnóstico inicial: Teratoma ovárico derecho versus cuerpo lúteo hemorrágico.
Diagnóstico diferencial: endometriosis, quiste funcional, quiste dermoide.
Decisiones adoptadas: tratamiento, planes de actuación
Ante clínica de dolor de la paciente se administra tratamiento analgésico (Nolotil intramuscular) y antibiótico para infección urinaria. Ante el hallazgo ecográfico encontrado de forma incidental se decide realizar interconsulta a Ginecología para valoración por su parte y seguimiento conjunto de la paciente.
Evolución y seguimiento
La paciente es valorada en consulta presencial de ginecología. Ecografía vaginal confirma:
Actualmente se encuentra en espera de ser valorada por Unidad de Ginecología en hospital de referencia, asintomática.
La ecografía en Atención Primaria permite identificar hallazgos incidentales significativos, como un teratoma ovárico, facilitando el diagnóstico precoz y la coordinación con especialidades. Este caso destaca la utilidad de la ecografía clínica para ampliar las competencias del médico de familia en la evaluación inicial de dolor abdominal y pélvico.



