X Jornadas de Actualización en Medicina de Urgencias y VI Jornadas de Ecografía de la semFYC
6-7-8 de febrero de 2025
Atención Primaria.
Seguimiento tras cólico nefrítico.
Antecedentes personales relevantes, anamnesis, exploración física y lugar que ocupa en ella la ecografía
Mujer de 55 años que acude para seguimiento de cólico nefrítico valorado en Urgencias. Refiere franca mejoría en el momento actual, aunque persisten leves molestias puntuales en el flanco izquierdo.
Con antecedentes personales de tabaquismo, hipertensión, dislipemia y una hernia inguinal derecha intervenida.
Presenta ruidos cardiacos rítmicos, murmullo vesicular conservado sin ruidos sobreañadidos. Un abdomen blando, depresible, no doloroso a la palpación. Puñopercusión renal bilateral negativa.
El objeto de la ecografía clínica abdominal en este caso es descartar un posible cólico nefrítico complicado e intentar confirmar el diagnóstico de cólico nefrítico mediante la identificación de la litiasis renal, así como el tamaño de la misma, para decidir el plan de actuación.
Descripción de los hallazgos ecográficos y las imágenes más relevantes para la resolución del caso
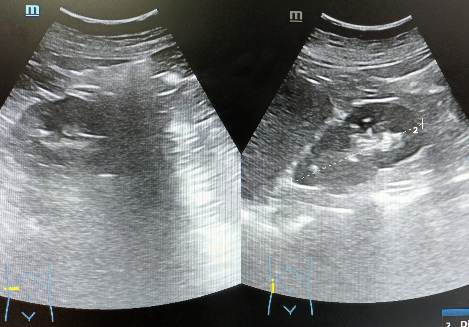
Ambos riñones de tamaño (derecho 99,7 mm e izquierdo 112,6 mm de longitud cráneo-caudal) y localización normal, con buena diferenciación corticomedular, sin lesiones ocupantes de espacio ni imágenes litiásicas en su interior, sin signos de uropatía obstructiva.
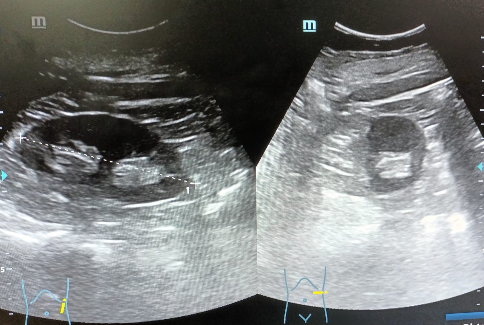
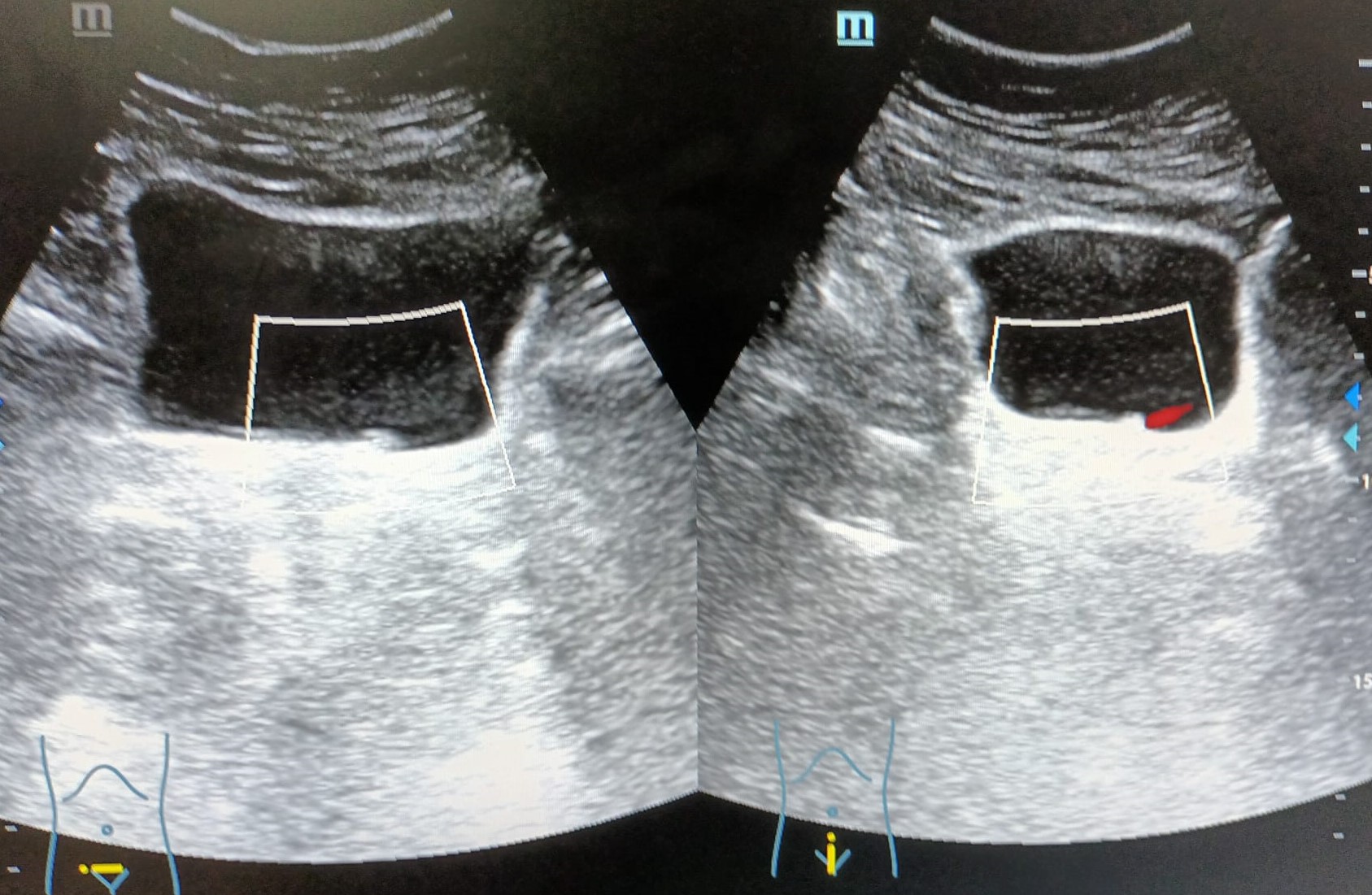
Vejiga: lesión hiperecogénica, de bordes bien definidos, adherida a pared, en zona del trígono vesical, colindante con uréter izquierdo, que no capta Doppler, de aproximadamente 4,2 x 6,7 mm.
Otras pruebas complementarias realizadas (si existen)
Tira de orina de SNU: hematíes positivos. Nitritos y leucocitos negativos.
Sistemáticos de orina de meses previos: microhematuria intermitente.
Juicio clínico, diagnóstico diferencial, concordancia con el hospital (en su caso)
Por los antecedentes de microhematuria intermitente y tabaquismo se debe descartar fundamentalmente una neoformación vesical.
Ante el hallazgo ecográfico de una lesión vesical es necesario hacer diagnóstico diferencial entre distintas entidades como pueden ser neoplasias vesicales, ureterocele, litiasis, coágulos, etc.
El Servicio de Urología confirma que se trata de una neoplasia vesical.
Decisiones adoptadas: tratamiento, planes de actuación
Interconsulta urgente a Urología.
Evolución y seguimiento
La paciente es diagnosticada de una neoplasia vesical. Se realiza resección transuretral vesical.
La ecografía es una herramienta barata, indolora, inocua y disponible. Su uso permite diagnósticos más precoces y, por tanto, tratamientos más efectivos, menos invasivos y de menor coste sanitario. Todo esto aumenta las tasas de supervivencia y la calidad de vida de los pacientes.



