5, 6 y 7 de febrero de 2026
Enfoque individual
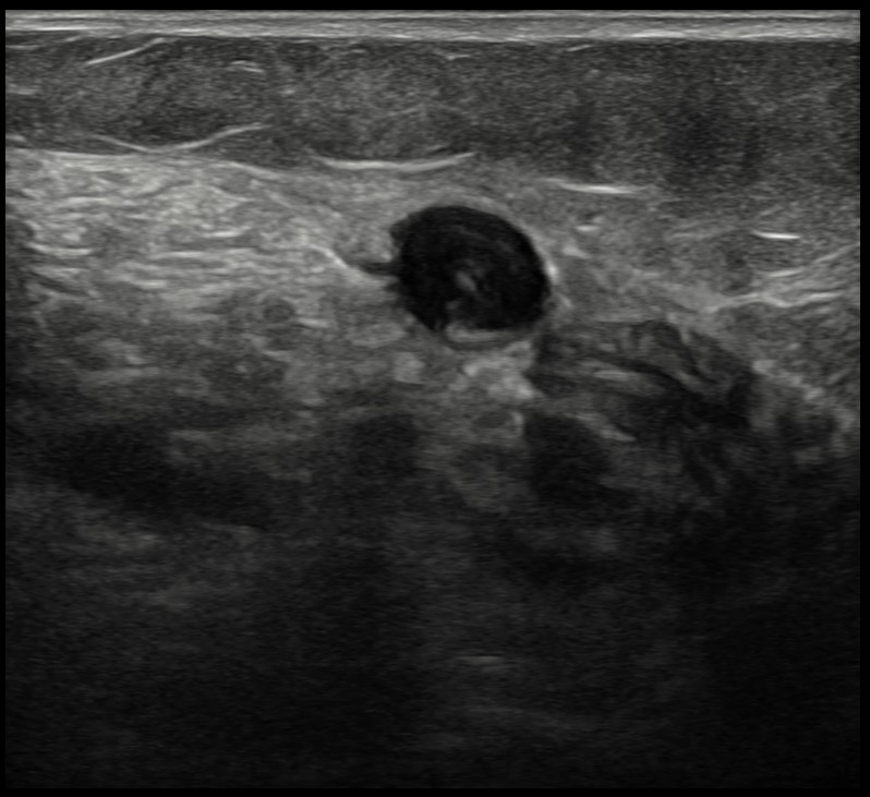
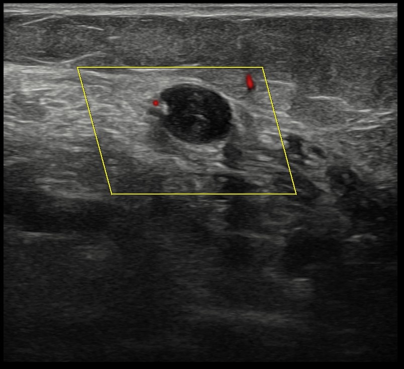
Mujer de 71 años que acude al Centro de Salud por dolor en la región superior de la pantorrilla izquierda. Refiere cuadro de lumbalgia en tratamiento analgésico con mejoría progresiva hasta seis días antes, cuando el dolor comenzó a irradiarse al miembro inferior izquierdo, focalizándose en la pantorrilla. Describe dificultad para la deambulación, sin alivio en reposo, y percepción de hinchazón y frialdad de la extremidad. Niega disnea, dolor torácico u otros síntomas sistémicos.Hallazgos ecográficos
Sistema venoso profundo no compresible en toda la pantorrilla izquierda, con material ecogénico intraluminal y ausencia de flujo en Doppler, hallazgos compatibles con TVP distal. Edema subcutáneo en región gemelar presente.Pruebas complementarias
Ante la sospecha diagnóstica deriva al Servicio de Urgencias Hospitalarias para confirmación diagnóstica mediante ecografía Doppler venosa y estudio analítico (D-dímero positivo).Juicio clínico, diagnóstico diferencial, concordancia con el hospital (en su caso)
Se confirma el diagnóstico de trombosis venosa profunda (TVP) frente a arteriopatía periférica o quiste de Baker, patologías que planteaban otras alternativas terapéuticas.Tratamiento, planes de actuación
Derivación hospitalaria preferente, permitiendo confirmación diagnóstica precoz y posterior inicio de tratamiento anticoagulante con 12500 UI diarias de heparina sódica con buen control evolutivo por Atención Primaria en coordinación con el Servicio de Hematología.Evolución
Buena evolución clínica en revisiones posteriores en Atención Primaria, con desaparición progresiva del edema y sin complicaciones tromboembólicas, permitiendo retomar una vida activa sin limitaciones funcionales.

