5, 6 y 7 de febrero de 2026
Enfoque individual
Mujer de 35 años, fumadora, bebedora. Consulta porque tras un periodo de siesta en el sofá nota tumefacción, dolor y parestesias brazo. Consulta por primera vez en Urgencias de AP, donde se realiza exploración neurológica, y de hombro, siendo anodinas. Se palpa contractura paravertebral a nivel cervical, se pauta analgesia con antiinflamatorios. La paciente no mejora y vuelve a consultar a su Médico, donde evidencia signos clínicos de TVP de miembro superior, y deriva al hospital. Dímero D en rango, le dan el alta con analgesia. La clínica va en aumento, por lo que se hace ecografía clínica en AP.
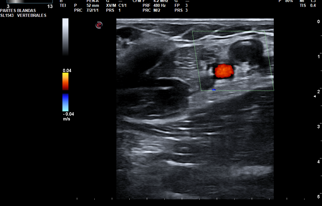
Hallazgos ecográficos
Trombo flotante en la confluencia yugulosubclavia. Ocupación por material hipoecogénico sugerente de trombosis venosa aguda, de la vena subclavia y ramas tributarias regionales, vena axilar, confluencia entre la vena cefálica (trombosada solo en su segmento más proximal a la confluencia) y axilar, así como de las venas braquiales hasta el codo.
Pruebas complementarias
TC abdomen: Imagen sugerente de masa de 4,4 x 4,8 cm en pared medial del colón ascendente, justo craneal a región valvular.
Colonoscopia: neoplasia ciego.
Juicio clínico, diagnóstico diferencial, concordancia con el hospital (en su caso)
La presencia de una trombosis venosa profunda en miembro superior, y la edad de la paciente hacen que se piensen en patologías autoinmunes, neoplásicas, como agentes causales de tal clínica.
Tratamiento, planes de actuación
Se intervino quirúrgicamente resecándose la lesión. Se trató TVP con tratamiento anticoagulante.
Evolución
Asintomática. Buena calidad de vida.
Se trata de un caso donde se pone en evidencia la importancia de pensar en más allá de la banalidad. La exploración física es clave para el diagnóstico, así como la recogida de datos de la anamnesis, datos clínicos como las parestesias y la tumefacción, acaban siendo guía para pensar en un probable síndrome de TVP. En esta ocasión la normalidad del Dímero D, pone en evidencia su escasas especificidad, siendo fundamental la sospecha diagnóstica tras una exploración física.
Por otro lado, este caso resulta de especial interés, pues una vez más, la ecografía clínica, resultó clave para su posterior estudio, convirtiéndose esta técnica en un brazo de extensión y apoyo con el que puede contar el Médico de Atención Primaria.



