5, 6 y 7 de febrero de 2026
Atención Primaria.
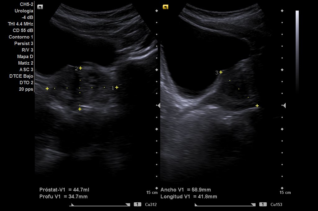
Paciente de 56 años, diagnosticado de enfermedad renal crónica estadío G3A A1 de origen no filiado, que en analítica de control presenta PSA 6,79, por lo que se decide realizar ecografía abdomino-pélvica para medición de volumen prostático.
Enfoque individual
No factores de riesgo cardiovascular, sin tratamiento médico crónico. Tratado recientemente con Pylera por Hellicobacter Pylori+. Enfermedad renal crónica estadío G3A A1 diagnosticada y estudiada por Nefrología en 2020, dado de alta en 2023. Antecedentes familiares de enfermedad renal crónica en padre y abuela paterna.
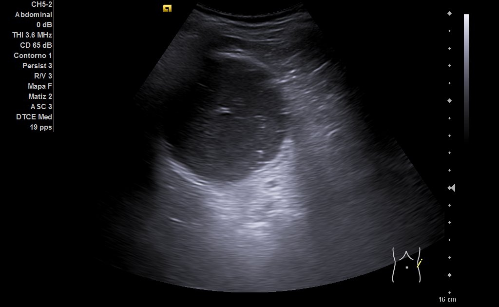
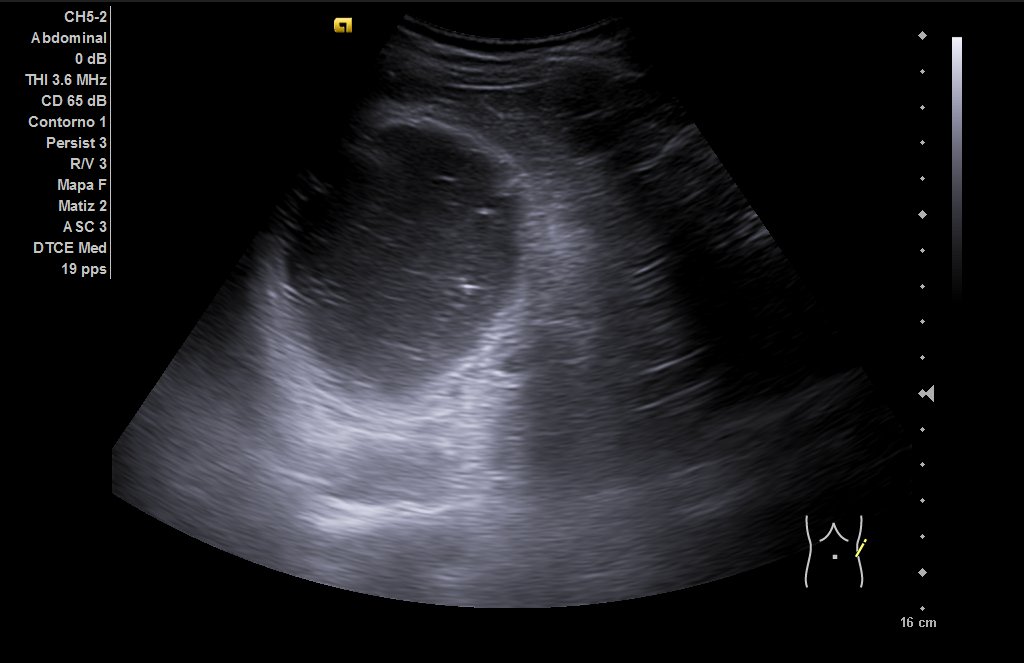
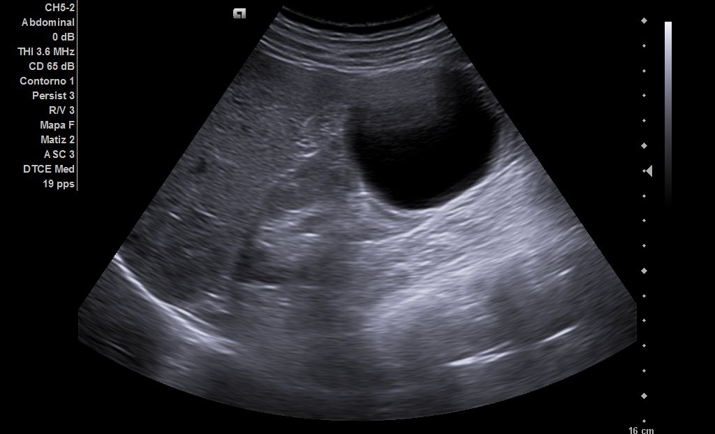
Hallazgos ecográficos
Riñones de tamaño y ecoestructura normales, con buena diferenciación parénquima-seno en polo inferior de riñón derecho, quiste simple de aproximadamente 6 centímetros de eje mayor (ya conocido) y en riñón izquierdo, quiste cortico-sinusal de menos de 2 cm (también conocido). Próstata de 44 gramos. En hipocondrio izquierdo observamos imagen redondeada con contenido ecogénico, con tractos hiperecogénicos en su interior que podría corresponderse a dilatación ángulo esplénico de colon.
Pruebas complementarias
Analítica con PSA 7’71, PSA libre/total 23%.
Rx abdomen: sin hallazgos significativos salvo gas intestinal en marco cólico.
Juicio clínico, diagnóstico diferencial, concordancia con el hospital (en su caso)
Masa abdominal.
Tratamiento, planes de actuación
Se solicita TC abdominal.
Se deriva al paciente a Urología para estudio elevación de PSA.
Evolución
El paciente se mantiene asintomático.
El abordaje multidisciplinario del paciente desde Atención Primaria permite que el control de una patología pueda suponer el diagnóstico precoz de otra patología de ámbito distinto.



