V Jornadas de Ecografía de la semFYC

9 y 10 de febrero de 2024

Comunicaciones: Casos clínicos

Desmayos de repetición, lo que pensamos vs lo que acabó siendo (póster)

Ámbito del caso

Atención Primaria

Motivos de consulta

Síncopes recurrentes acompañados de sudoración profusa

Historia clínica

Enfoque individual

Anamnesis: Varón de 54 años, inmigrante, agricultor. Sin antecedentes personales de interés.
Antecedentes familiares: hermana muerte súbita a los 55 años, madre patología cardiaca sin saber especificarla. (No registros en historias de salud digital nacionales).
Exploración física: Buen estado general. ACR: normal. Abdomen normal. Extremidades sin edemas. Exploración neurológica: normal, sin evidencia de focalidad. PA: 130/80 mmHg . FC: 60 lpm, T:36ºC , Sat o2: 98%

Hallazgos ecográficos

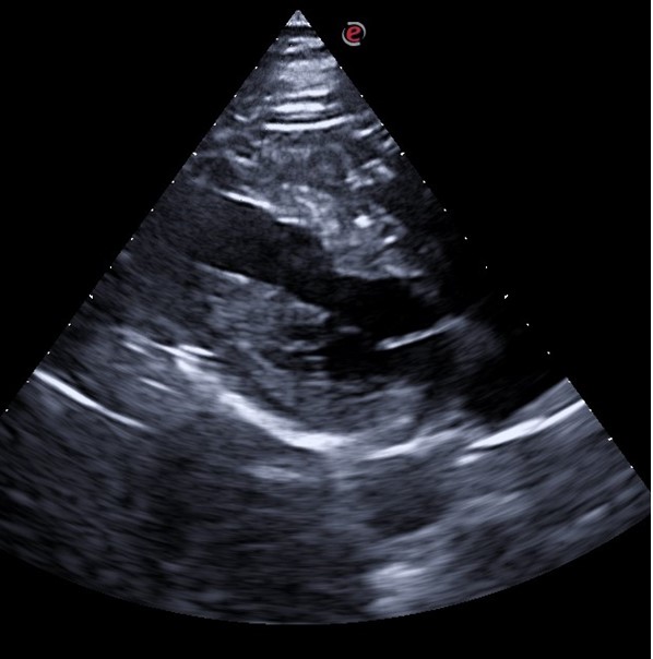
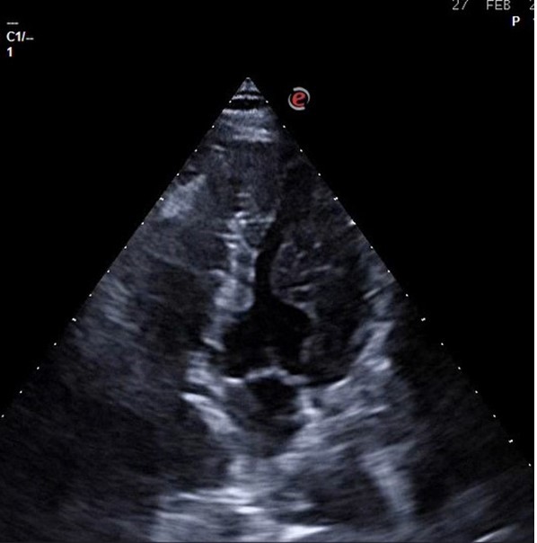
En nuestro centro se le realizó Ecocardioscopia: En eje paraesternal largo se observa grosor parietal aumentado más a nivel septal y de predominio en septo basal donde alcanza los 18 mm. VI no dilatado. FEVI conservada. No alteración de la contractilidad ni valvulopatías. 

Pruebas complementarias

ECG: bradicardia sinusal a unos 58lpm. Eje normal. PR normal. QRS estrecho. QTc normal. ST isoeléctrico. T picudas en V3 y V4 y voltajes altos.
Rx de tórax: no imágenes condensantes. Sin pinzamiento de senos costofrénicos. Índice cardiotorácico normal. 

Juicio clínico, diagnóstico diferencial, identificación de problemas

En primera instancia se sospechaba de Miocardiopatía hipertrófica o por depósitos. Cuando se concluyó el estudio se diagnosticó al paciente de un miocardio con trabéculas paraseptales prominentes.

Tratamiento y planes de actuación

Se deriva de forma preferente a cardiología por sospecha de Miocardiopatía Hipertrófica (MCH) versus Miocardiopatía por depósito. Se completa el estudio por tal servicio con RNM, Holter y Analítica.

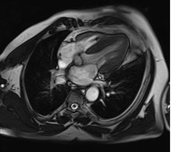
RNM Cardiaca: informa grosor miocárdico NORMAL (máximo 12 mm en segmento anteroseptal basal); tanto en cavidad derecha como en cavidad izquierda se identifican trabéculas paraseptales prominentes. Resto de parámetros dentro de la normalidad

Evolución

El paciente evolucionó favorablemente. Actualmente está en seguimiento por Cardiología, con controles de ecocardiográficos reglados.

Conclusiones (y aplicabilidad para la Medicina de Familia)

Este caso pone en alza el uso de la ecocardioscopia en Atención Primaria, así como la adecuada interpretación de imágenes, ya que el Médico de Familia puede cambiar su actitud terapéutica y plan de actuación. Aunque finalmente, desde el servicio de Cardiología se llegó a un diagnóstico poco usual, una variante de la normalidad (Miocardio con trabécula prominentes), en primera instancia nos hizo replantearnos la existencia de otra patología más prevalente como la miocardiopatía hipertrófica y su consecuente evolución clínica, motivo por el cual se derivó de forma preferente. Gracias a ello este paciente fue valorado con menos demora por cardiología, concluyéndose el estudio en un corto periodo del tiempo.


Comunicaciones y ponencias semFYC: 2026; Comunicaciones: Casos clínicos. ISSN: 2339-9333

Autores

Lara Ojeda, Rosa Maria
CS de Villacarrillo. Jaén
García Jiménez, Ana María
CS de Villacarrillo. Jaén
Martínez Chaves, Victoria
CS de Villacarrillo. Jaén