5, 6 y 7 de febrero de 2026
Atención Primaria.
Mujer 60 años acude por hematuria de 10 días de evolución.
Enfoque individual
AP: Vive en residencia. Fumadora, consumo OH actualmente en abstinencia. Esquizofrenia paranoide, DM tipo II, dislipemia, obesidad, EPOC.
Exploración física: BEG, estable, abdomen anodino, globuloso, blando, depresible, RHA (+), no signos de irritación peritoneal, no disuria, no polaquiuria.
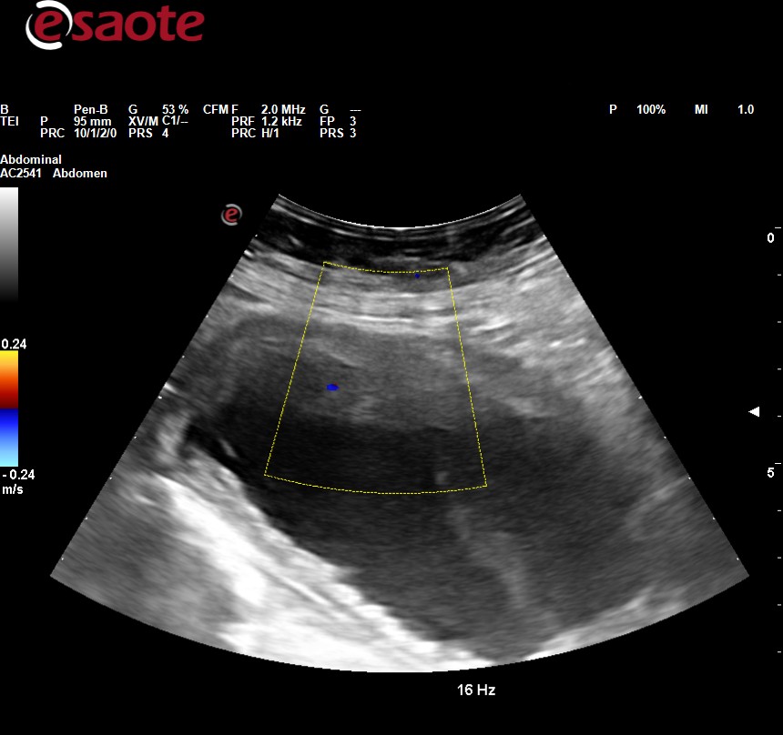
Hallazgos ecográficos
Ecografía clínica abdominal: observamos dilatación ureteropielocalicial bilateral junto con pared engrosada de la vejiga.
Pruebas complementarias
Análisis de orina Hematies ++++, leucocitos ++, proteinas ++; urocultivos repetidos muestras contaminadas.
Juicio clínico, diagnóstico diferencial, concordancia con el hospital (en su caso)
JC: hidronefrosis bilateral con engrosamiento de la pared vesical.
DD: En la hidronefrosis tendremos que descartar causas obstructivas: litiasis, tumorales, estenosis, fibrosis por RT pélvica, compresión extrínseca (masas pélvicas), prolapso de órganos pélvicos, HBP y tumores prostáticos en varones. Causas funcionales: vejiga neurógena, disfunción vesical crónica.
Respecto al engrosamiento de la pared de la vejiga: neoplasias, cistitis crónicas:(c. intersticial, c. quística, Infecciosa/inflamatoria: TBC, esquistosomiasis, c. idiopática, c. eosinofílica, actínica, fármacos, QT-RT, cateter), endometriosis, amiloidosis, hematoma intramural, vejiga neurógena, hipertrofia del músculo detrusor, estenosis uretral, HBP, cálculos vesicales crónicos y patología extravesical.
JD hospitalario: Cistitis inflamatoria con hematuria anemizante y FRA obstructivo secundario a hidronefrosis bilateral.
Tratamiento, planes de actuación
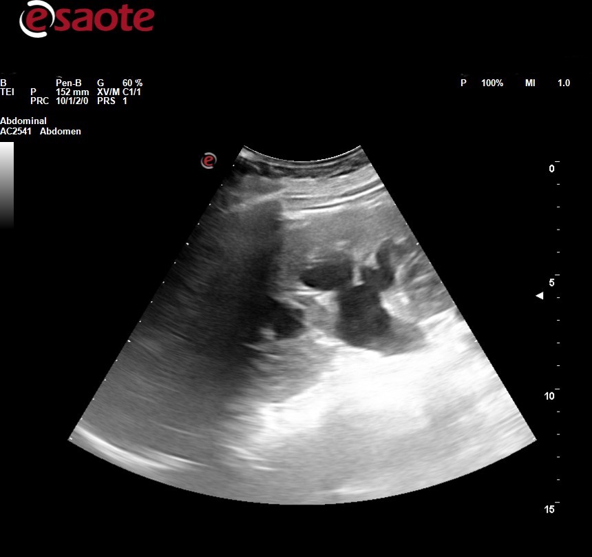
Se la deriva a urgencias hospitalarias, donde amplían estudio con analítica general (HB 9.1) bioquímica (creatinina 4.2, FG 11), urocultivo (negativo), p. de coagulación (normal), ecografía( obstrucción de vía urinaria bilateral asociada a engrosamiento mural vesical con signos de vejiga de lucha no se puede descartar malignidad), TAC abdominopélvico (riñón izdo atrófico, dilatación de la vía urinaria con aumento marcado y difuso de las paredes de la vejiga y formaciones diverticulares en ambas caras laterales), cistoscopia (vejiga de aspecto inflamatorio, engrosada, parcheada), biopsia (inflamación crónica) y pielografía descendente (permeabilidad de ambos uréteres con adecuado paso de contraste a vejiga)
Tratamiento hospitalario derivación urinaria mediante nefrostomías bilaterales por dilatación pielocalicial refractaria a sondaje vesical.
Evolución
La paciente evoluciona con mejoría y es dada de alta en seguimiento urológico.
La incorporación sistemática de la ecografía en la práctica clínica optimiza la toma de decisiones mejorando la capacidad resolutiva. La ecografía es una herramienta indispensable para diagnóstico y seguimiento urológico; es una pieza clave que nos ayuda en el diagnóstico diferencial además de favorecer la detección temprana de complicaciones. La cistopatías crónicas están infradiagnosticadas, el diagnóstico es anatomopatológoco por biopsia.



