5, 6 y 7 de febrero de 2026
Urgencias hospitalarias.
Alteración del nivel de conciencia y fiebre.
Enfoque individual
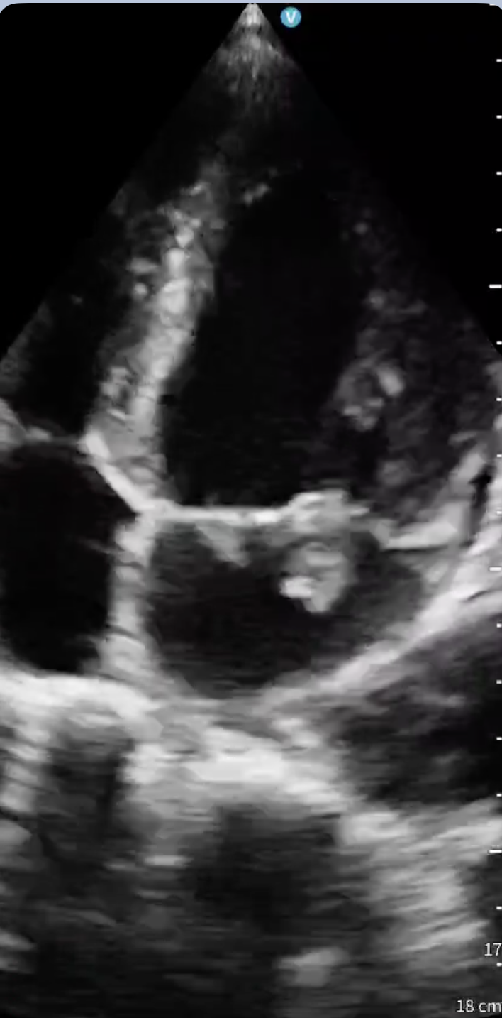
Hombre de 38 años, consumidor de múltiples sustancias, trasladado a Urgencias tras hallarse en vía pública con bajo nivel de conciencia, fiebre y taquicardia. Presenta Glasgow 9, orientación conservada pero obnubilación, y auscultación cardiopulmonar anodina. La analítica sanguínea evidencia leucocitosis con neutrofilia, elevación de proteína C reactiva, procalcitonina y troponina I ultrasensible. Las serologías son positivas para virus de la inmunodeficiencia humana y hepatitis C, y el cribado toxicológico para cannabis y cocaína. Durante la estancia en Urgencias empeora neurológicamente, realizándose tomografía cerebral que muestra ictus isquémico en territorio de la arteria cerebral posterior derecha. Dados los antecedentes, la primera sospecha es la de origen cardioembólico, así que se realiza ecocardiografía clínica a pie de cama, objetivándose válvula mitral con velos engrosados y gran vegetación de 5×8 milímetros que prolapsa hacia aurícula generando insuficiencia mitral severa. Se observa además válvula aórtica trivalva engrosada con vegetaciones en todos los velos, compatible con endocarditis infecciosa.
Enfoque familiar y comunitario
Etnia africana.
Juicio clínico, diagnóstico diferencial, identificación de problemas
En un paciente febril, consumidor de tóxicos y con deterioro del nivel de conciencia, se plantea diagnóstico diferencial entre sepsis de origen no filiado, infección del sistema nervioso central, intoxicación aguda e infarto cerebral. Tras el resultado de la tomografía, la cardiopatía estructural embólica pasa a ser la primera causa a descartar. El hallazgo ecográfico resulta determinante para identificar el origen cardioembólico y orientar el cuadro como endocarditis infecciosa complicada con embolización cerebral.
Tratamiento y planes de actuación
Se inicia tratamiento antibiótico empírico con gentamicina, ampicilina y ceftriaxona, junto con antitérmicos, sueroterapia y medidas de soporte. Tras hemocultivos positivos para Staphylococcus aureus se ajusta la antibioterapia a cefazolina y vancomicina.
Evolución
A pesar del tratamiento, el paciente progresa a shock cardiogénico y séptico refractarios. Finalmente ingresa en cuidados intensivos, donde desarrolla fallo multiorgánico y fallece.
Este caso ilustra el papel clave de la ecografía clínica en urgencias para identificar de forma precoz el origen cardioembólico en pacientes graves, y orientar decisiones diagnósticas y terapéuticas. Su uso sistemático en contextos de sepsis e ictus en pacientes de alto riesgo puede mejorar la detección de endocarditis infecciosa y otras cardiopatías tiempo-dependientes.



