5, 6 y 7 de febrero de 2026
Servicios de Urgencias.
Dolor en hipocondrio derecho.
Enfoque individual
Presentamos el caso de una mujer de 60 años, sin antecedentes de interés, que acude por dolor en hipocondrio derecho tipo cólico no irradiado de 3 días de evolución sin fiebre. Hace un año tuvo un dolor similar no estudiado.
Buen estado general. Consciente, orientada, colaboradora. Bien hidratada, nutrida y perfundida. Eupneica al reposo. Tensión arterial: 125/80 mmHg. Frecuencia cardíaca: 80. Saturación de Oxígeno: 98%. Afebril.
Abdomen blando, depresible, doloroso a la palpación de hipocondrio derecho sin datos de peritonismo. Murphy positivo. Puño percusión renal negativa.
Se solicita analítica con hemograma normal que muestra elevación de proteína C reactiva y ligero aumento de enzimas colestásicas. Orina normal.
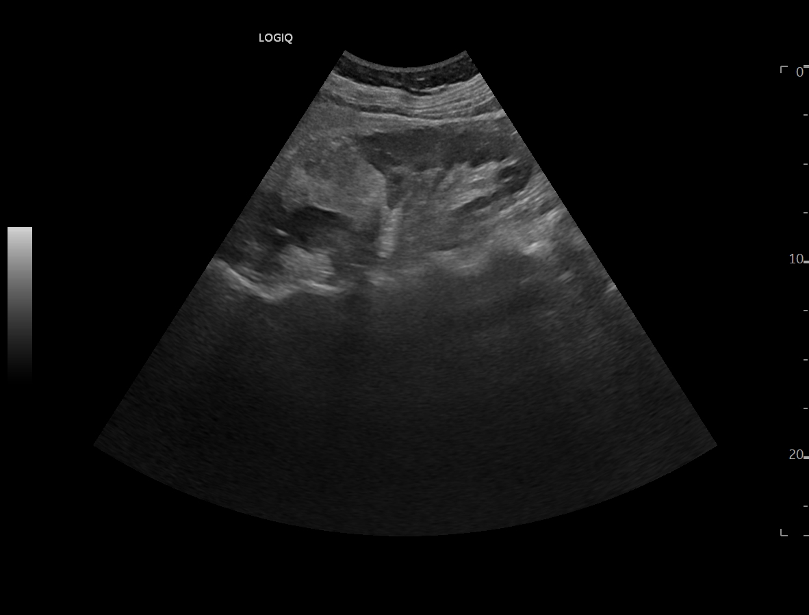
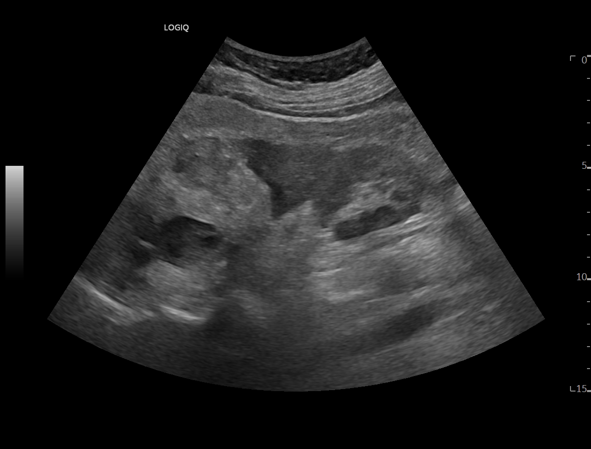
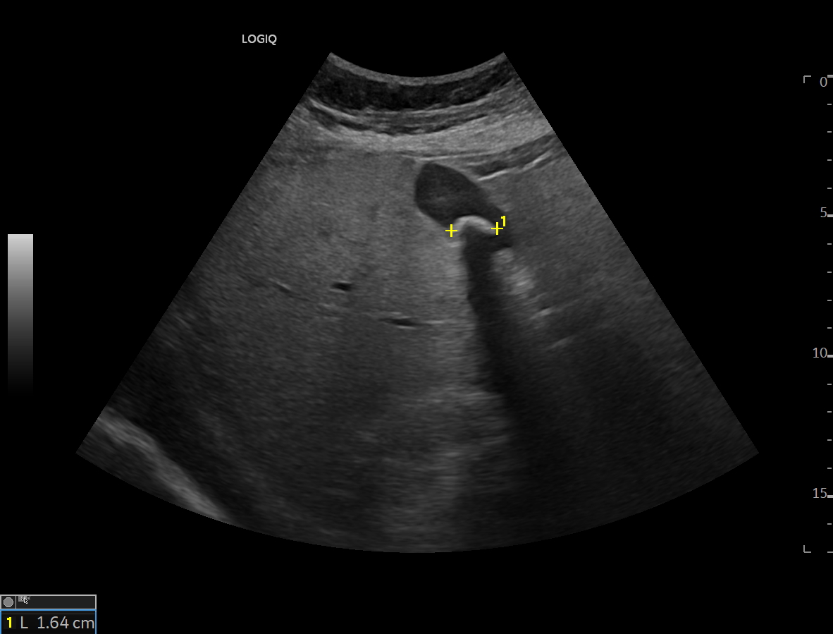
Se realiza ecografía clínica objetivando esteatosis hepática así como litiasis en vesícula biliar que mide 1,6 cm sin signos de complicación. A nivel del riñón derecho presenta lesión hiperdensa en zona media y polo inferior que no capta con realce, sin apreciarse dilatación de cáliz. Se consulta con radiólogo de guardia que indica realizar TAC abdominal para filiar.
Enfoque familiar y comunitario
No procede.
Juicio clínico, diagnóstico diferencial, identificación de problemas
El diagnóstico diferencial de una lesión hiperdensa renal engloba lesiones benignas (angiomiolipoma, quiste, litiasis), malignas (carcinoma de células renales, oncocitoma) y secundarias a infección o inflamación (absceso, nefritis, hematoma).
Tratamiento y planes de actuación
Por tanto, se prescribe analgesia y se completa estudio con TAC abdominal de forma ambulatoria con cita preferente a Cirugía General y Urología. En el TAC se describe masa heterogénea sólida con áreas de degeneración quística/necrótica y calcificaciones groseras sin demostrar grasa macroscópica en mitad superior del riñón derecho compatible con carcinoma de células renales, y nódulo con focos grasos en la cortical de la mitad inferior del riñón derecho compatible con angiomiolipoma.
Evolución
Desde el servicio de Urología solicitan estudio de extensión torácico normal y nefrectomía radical derecha que confirma el diagnóstico, sin datos de invasión en el estudio histológico. Se indica seguimiento con TAC de control.
La ecografía clínica agiliza el abordaje diagnóstico-terapéutico al proporcionar información inmediata. Asimismo, permite derivaciones más precisas y optimiza la eficiencia asistencial. Por ello, disponer de ecógrafos en Atención Primaria y Urgencias incrementa la capacidad resolutiva y la calidad de la atención del paciente.



