5, 6 y 7 de febrero de 2026
Enfoque individual
Hombre de 50 años con AP de cirugía de apendicitis complicada con peritonitis y dos reintervenciones posteriores por adherencias abdominales. Refiere que desde hace unos años presenta asimetría testicular con aumento de teste izquierdo, no doloroso. No clínica miccional, niega secreción uretral ni dolor perineal. No clínica gastrointestinal. Hace 5 días episodio de 30 minutos de duración de dolor testicular izquierdo con resolución espontánea sin otra clínica asociada.
EF: no lesiones cutáneas ni hematomas. Teste izquierdo de tamaño y consistencia aumetados, no se palpan masas, molestias en epidídimo. No hidrocele. No adenopatías inguinales. Exploración abdominal normal.
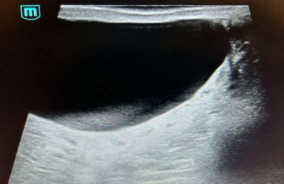
Hallazgos ecográficos
Teste derecho con imagen anecoica de bordes bien definidos y doppler negativo sugerente de quiste en polo superior de 33 x 55 mm. En teste izquierdo imagen anecoica en polo superior de bordes bien definidos y Doppler negativo, de 3 cm de diámetro,sugerente de quiste. Llama la atención adyacente a quiste, imagen en parénquima testicular, de patrón heterogéneo que ocupa el 50% con doppler negativo.
Pruebas complementarias
No.
Juicio clínico, diagnóstico diferencial, concordancia con el hospital (en su caso)
LOE testicular izquierda a estudio sin traumatismo ni sospecha de torsión previa.
Tratamiento, planes de actuación
Con las imágenes ecográficas se realiza e-consulta a Urología para valoración del caso ampliación de estudio con pruebas complementarias adecuadas.
Evolución
Citado en consultas de urología con RNM testicular preferente.
Gracias a la ecografía clínica, es posible obtener información relevante de manera rápida y no invasiva, lo que facilita la toma de decisiones clínicas más ágiles y con un impacto significativo en el manejo de los pacientes, pudiendo mejorar el pronóstico de los pacientes al establecer un diagnóstico de manera más precoz.



