V Jornadas de Ecografía de la semFYC

9 y 10 de febrero de 2024

Comunicaciones: Casos clínicos

Debut con insuficiencia cardíaca aguda de miocardiopatía en paciente joven, utilidad de ecocardioscopia en Atención Primaria (oral)

Ámbito del caso

Pac Centro de Salud Rural. 

Motivos de consulta

Dolor torácico y disnea.

Historia clínica

Enfoque individual

Varón de 25 años, sin alergias medicamentosas, fumador de 15 cigarrillos diarios. Sin antecedentes personales de interés, no cardiopatías familiares conocidas. Acude por dolor centrotorácico opresivo y de carácter plerítico, disnea de esfuerzos moderados en los últimos 3 días. En los diez días previos odinofagia, distermia, algo de tos no productiva. Auscultación cardiopulmonar anodina, eupneico, tensión arterial 90/60, saturación O2 99%, 132 LPM, 36.8 ºC.

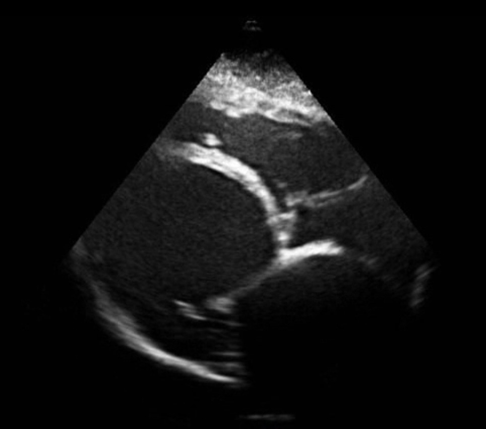
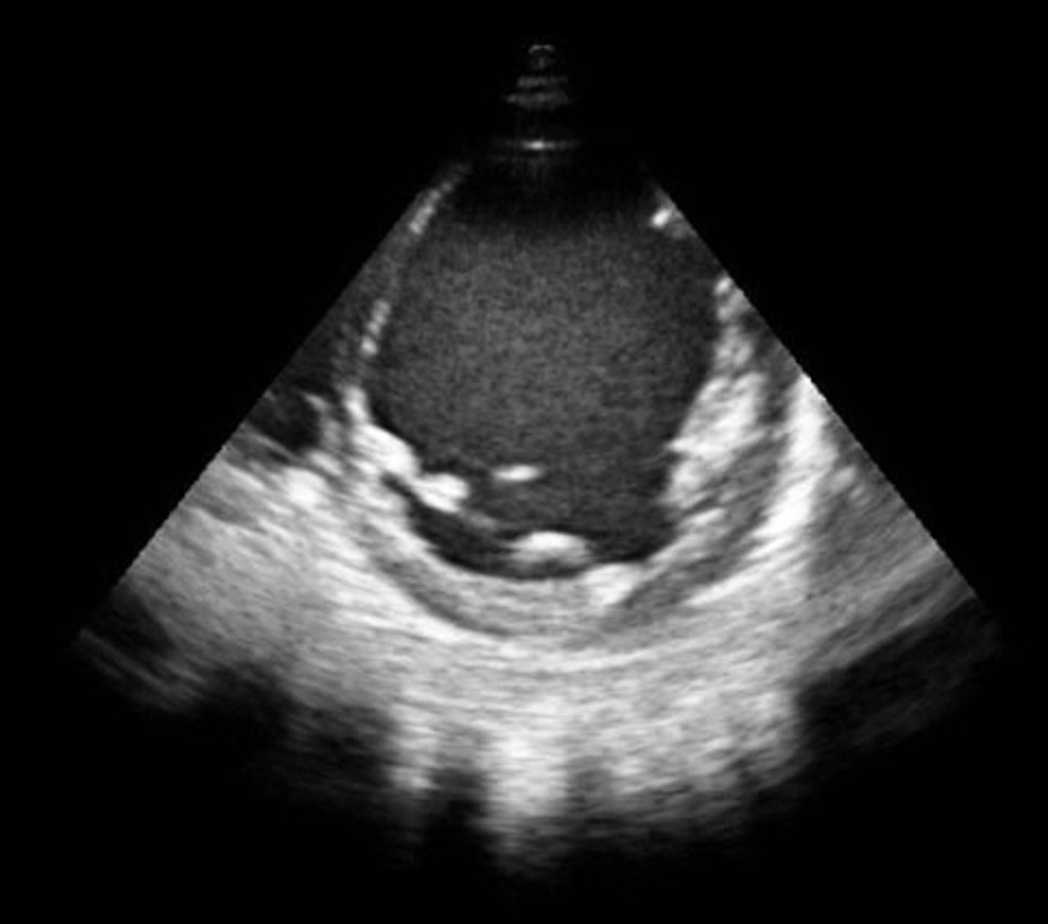
Hallazgos ecográficos

Eje corto y eje largo ecocardoscopia con dilatación severa ventrículo izquierdo, anillo mitral y aurícula izquierda, acinesia global ventrículo izquierdo, ausencia derrame pericárdico.

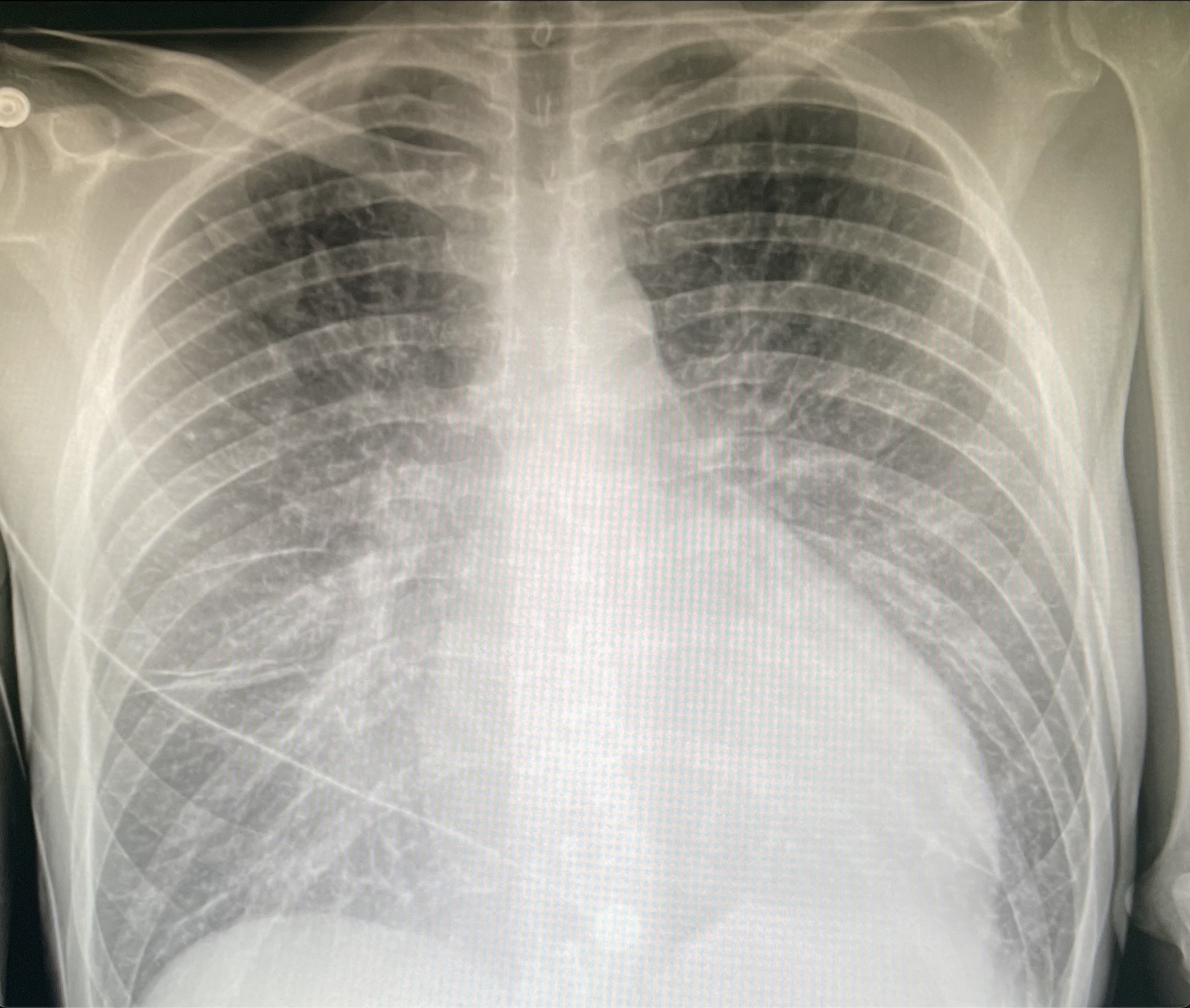
Pruebas complementarias

ECG taquicardia sinusual, Onda P Pulmonar, elevación ST en cara inferior y V2 a V4. 
RX cardiomegalia y patrón de redistribución vascular.
Analítica urgencias, troponina al ingreso 21,9 PG/ML, PRO BNP 3511 PG/ML.

Juicio clínico, diagnóstico diferencial, identificación de problemas

Sospecha de miocarditis aguda con dilatación y disfunción severa función miocárdica.
En hospital cardiología ingresa como miocarditis de alto riesgo con afectación severa función ventricular. 

Tratamiento y planes de actuación

Derivación a hospital en soporte medicalizado, diuréticos IV, oxigenoterapia y monitorización.

Evolución

Permanece en estudio, sospecha miocardiopatía congénita.

Conclusiones (y aplicabilidad para la Medicina de Familia)

La ecocardioscopia es una herramienta que aporta información fundamental en casos de sospecha de miopericarditis u otras cardiopatías, para valoración de la severidad del cuadro y adecuar la actitud terapéutica.
 
 
 
 

Comunicaciones y ponencias semFYC: 2026; Comunicaciones: Casos clínicos. ISSN: 2339-9333

Autores

Fernández Sánchez, Benigno
CS De Boñar. León