X Jornadas de Actualización en Medicina de Urgencias y VI Jornadas de Ecografía de la semFYC
6-7-8 de febrero de 2025
Antecedentes personales relevantes, anamnesis, exploración física y lugar que ocupa en ella la ecografía
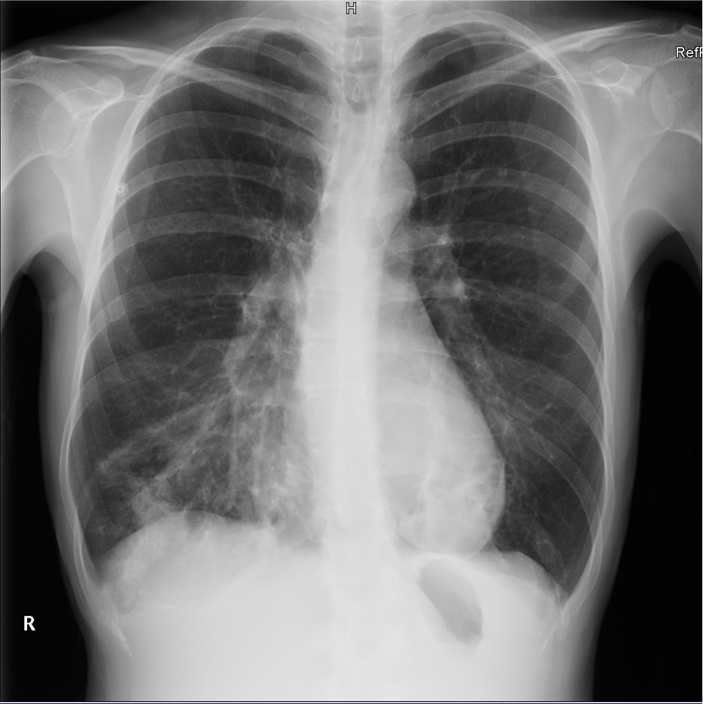
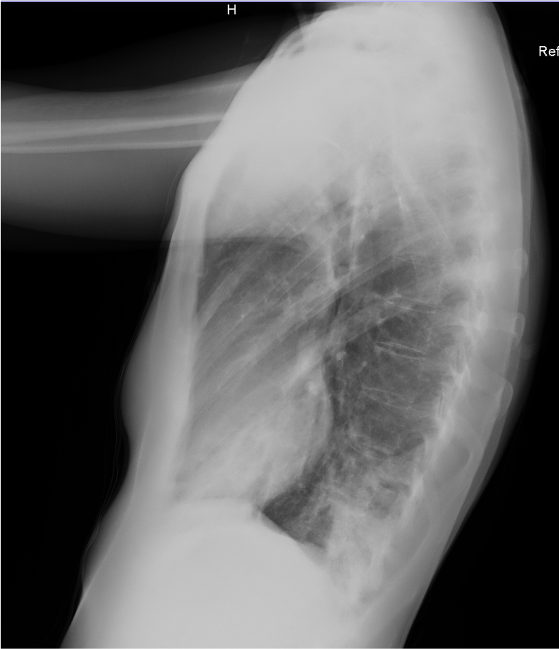
Mujer de 43 años, asma bronquial en tratamiento con broncodilatadores a demanda, acude por síntomas catarrales de 7 días de evolución, con empeoramiento progresivo con aparición de expectoración purulenta y pico febril en las últimas 24 horas, así como dolor pleuromecánico en hemitórax derecho, con disnea de esfuerzos. Normotensa, taquicárdica, afebril a su valoración y con saturación 95% basal. A la auscultación, crepitantes en base derecha. Analíticamente leve leucocitosis con neutrofilia y elevación de PCR (130,5 mg/L). Se realiza un electrocardiograma, que muestra una taquicardia sinusal, en otros; y una radiografía de tórax, en la que se aprecia un infiltrado en base derecha, sin derrame aparente.
Descripción de los hallazgos ecográficos y las imágenes más relevantes para la resolución del caso
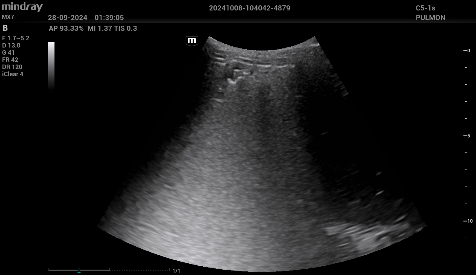
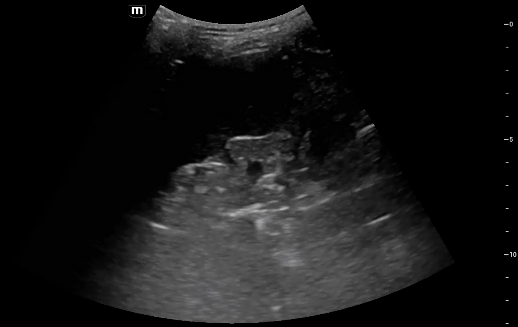
Se completa estudio con ecografía pulmonar a pie de cama, que muestra Sliding conservado, con patrón de líneas B en base y campo medio derecho, con una pequeña consolidación subpleural en base derecha. En base izquierda, consolidación pulmonar, con hepatización, y derrame pleural asociado.
Otras pruebas complementarias realizadas (si existen)
Antigenuria (Legionella y Neumococo), negativa.
Juicio clínico, diagnóstico diferencial, concordancia con el hospital (en su caso)
Neumonía bilateral, con afectación de tres lóbulos. Diagnóstico diferencial: infección respiratoria no consolidante, tromboembolismo pulmonar.
Decisiones adoptadas: tratamiento, planes de actuación
Ingreso en Medicina Interna, iniciando cobertura antibiótica con Ceftriaxona y azitromicina. Se extraen serologías.
Evolución y seguimiento
La paciente evoluciona favorablemente, quedándose afebril, sin precisar soporte respiratorio, por lo que es dada de alta en 72 horas. Al alta se programó seguimiento ambulatorio en consultas de Medicina Interna para completar estudio.
La ecografía pulmonar nos proporcionó hallazgos que no eran visibles en la radiografía simple, permitiendo una mejor clasificación de la severidad del cuadro de la paciente, adaptando la actitud clínica según los protocolos existentes.
La evidencia respalda la precisión diagnóstica de la ecografía frente a la radiografía convencional en la detección de neumonía, siendo su sensibilidad mayor tanto en poblaciones pediátricas (95,5% Vs 86,8%) como adultas (88% Vs 77%).
Esto hace que la ecografía pulmonar sea una herramienta muy potente para el diagnóstico de neumonía, sobre todo en entornos con dificultad para el acceso a la radiografía convencional, así como en pacientes que precisen minimizar la exposición a radiación o aquellos que precisen una evaluación rápida a pie de cama.



