V Jornadas de Ecografía de la semFYC

9 y 10 de febrero de 2024

Comunicaciones: Casos clínicos

De un hallazgo analítico la ecografía indicó el camino (oral)

Ámbito del caso

Atención Primaria.

Motivos de consulta

Hematuria.

Historia clínica

Enfoque individual

Mujer de 64 años con Antecedentes familiares (AF) de primer grado de cáncer renal que es vista en consulta de Atención Primaria por primer episodio de microhematuria asintomática confirmada. Durante la consulta comenta de forma espontánea distensión abdominal sin pérdida de peso.

Exploración física: Abdomen depresible, no masas palpables.

Se indica ecografía para descartar tumor renal.

Hallazgos ecográficos

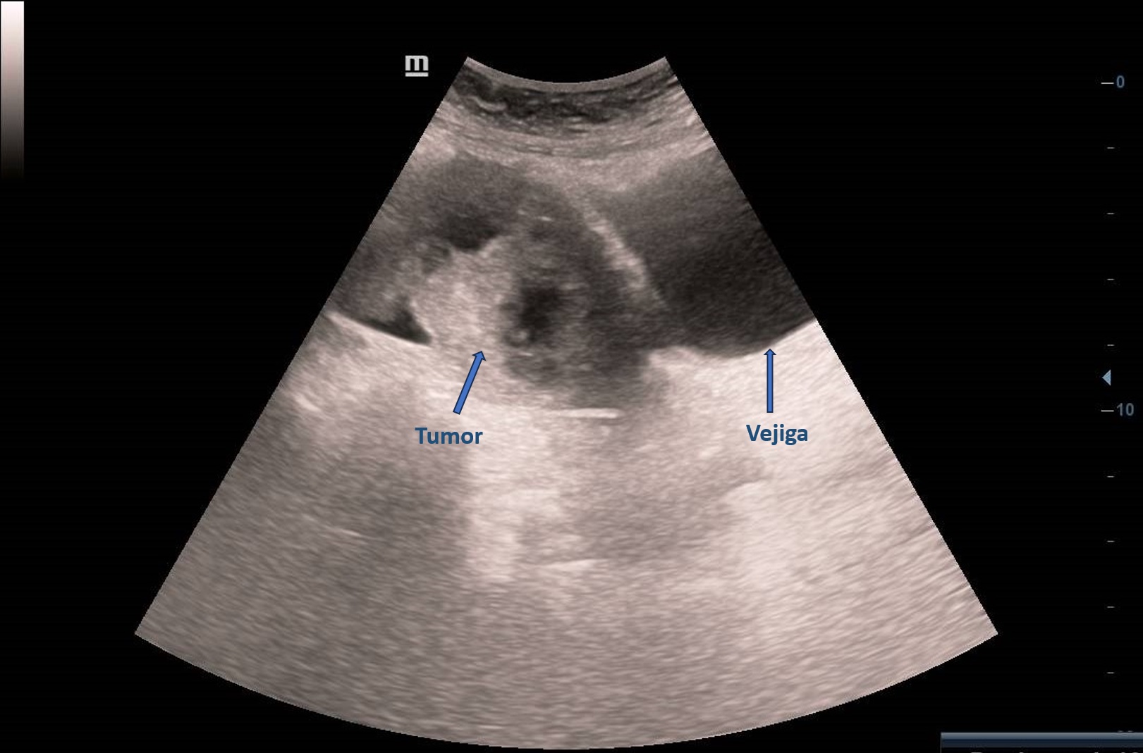
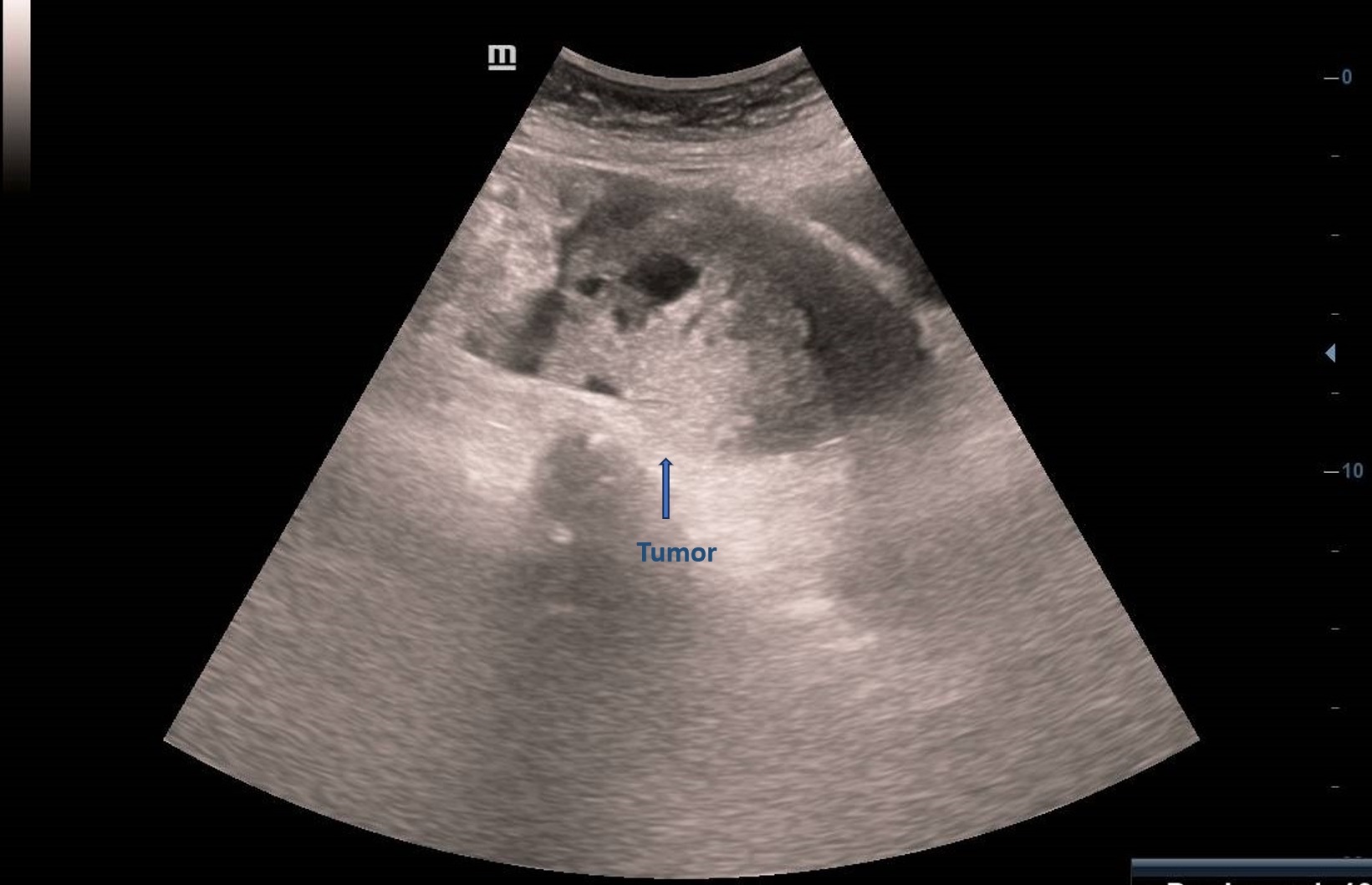
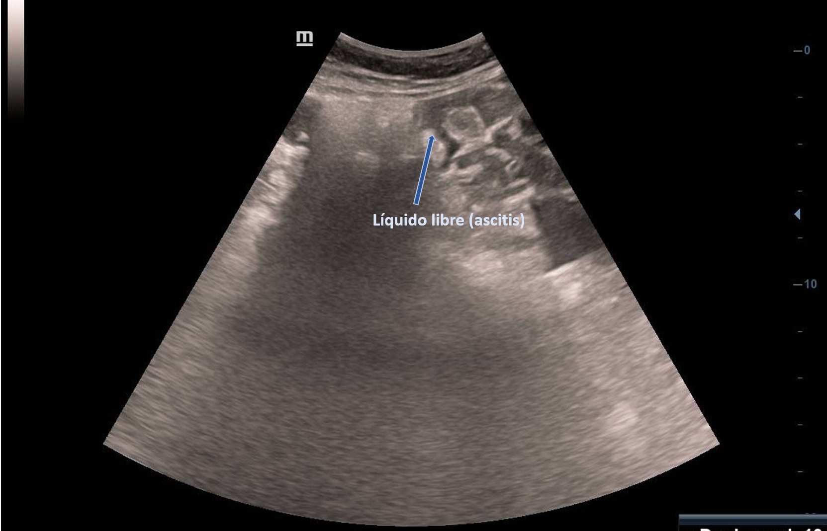
Ecografía abdominal en Atención Primaria: masa derecha adyacente a vejiga, vascularizada, de ecogenicidad heterogénea de unos 6 cm sin quedar clara dependencia del ovario derecho con imagen hipoecogénica en pelvis sugerente de ascitis. Se deriva paciente a ginecología preferente donde se realiza ecografía transvaginal: Tumoración anexial derecha, contorno irregular sugerente de neoplasia.

Pruebas complementarias

Tomografía abdominal: Masa pélvica de probable origen anexial derecho, componente sólido-quístico con captación de contraste periférico con centro hipodenso y calcificación lineal, hallazgos no específicos, pero sugieren malignidad.

Citología: negativa para malignidad.

Juicio clínico, diagnóstico diferencial, identificación de problemas

Diagnóstico: Estruma ovárico (EO).

Tratamiento y planes de actuación

Se decide realizar histerectomía total y anexectomía bilateral.

Evolución

Buena evolución tras cirugía, dada de alta del servicio de ginecología.

Conclusiones (y aplicabilidad para la Medicina de Familia)

El EO se puede clasificar como benigno o maligno dependiendo de las características histológicas. En la ecografía aparece como una masa sólida heterogénea. No existen características ecográficas distintivas exclusivas. Ocasionalmente hay ascitis.

En nuestro caso la ecografía en Atención Primaria fue la clave para enfocar y gestionar de forma eficiente los recursos sanitarios utilizando la vía de derivación adecuada y beneficiando así a la paciente, pudiendo adelantar su diagnóstico y tratamiento ya que, con las grandes demoras que hay en los hospitales para realizar una prueba de imagen esta hubiera tenido que esperar meses para su realización y descarte de tumor de vías urinarias por sus AF.

El EO tiene buen pronóstico (90% de supervivencia a 10 años). Aunque en nuestro caso esta masa corresponde a un tumor con buen pronóstico podríamos haber estado ante un cáncer agresivo donde claramente un diagnóstico en fases iniciales aumentaría supervivencia, como podría ser un cáncer de ovario. Por lo que es vital estar formados y tener a mano una prueba tan poco invasiva pero que puede ser tan beneficiosa y que utilizada en los escenarios adecuados puede modificar sustancialmente nuestra conducta y orientar con certidumbre nuestras decisiones.


Comunicaciones y ponencias semFYC: 2026; Comunicaciones: Casos clínicos. ISSN: 2339-9333

Autores

Rondon Sarmiento, Liliana
María Ángles López Gómez. Madrid. Leganés
Fernández Girón, Mercedes
María Ángles López Gómez. Madrid. Leganés
Chamorro Mínguez, Sergio
María Ángles López Gómez. Madrid. Leganés