5, 6 y 7 de febrero de 2026
Atención Primaria.
Enfoque individual
Mujer de 52 años de edad sin antecedentes de interés que acude a urgencias del centro de salud por dolor abdominal en hipocondrio derecho con náuseas sin vómitos. Afebril.
Buen estado general, dolor a la palpación hipocondrio derecho con signo de Murphy positivo sin defensa.
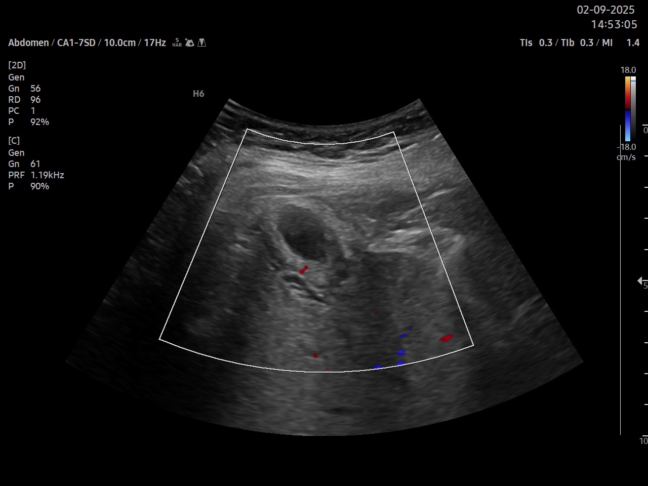
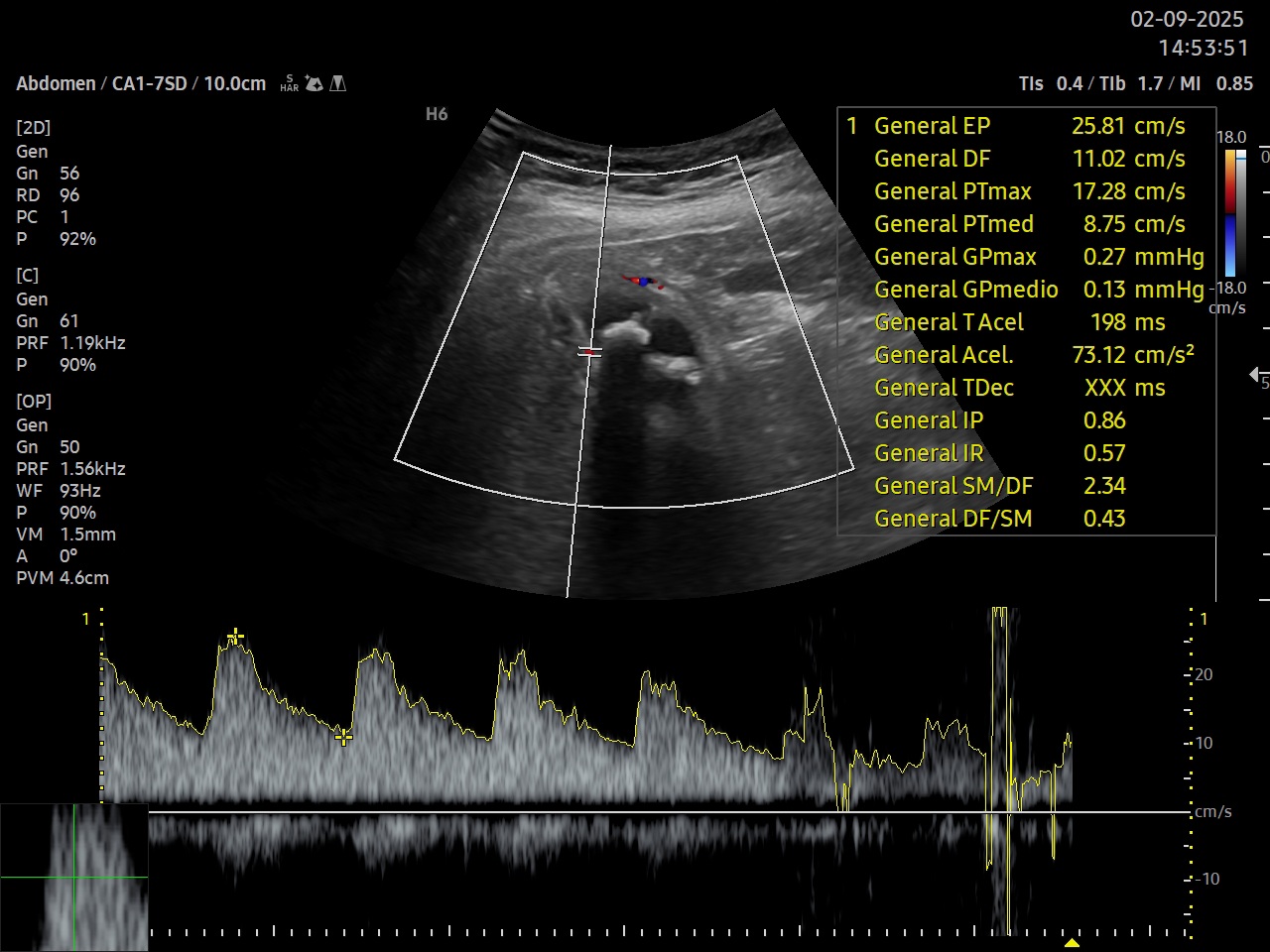
Ecografía clínica: parénquima hepático homogéneo de bordes lisos, signo de Murphy ecográfico positivo, vesícula biliar distendida a pesar de no ayuno con tres imágenes hiperecogénicas con centelleo y sombra posterior, pared engrosada hiperecogénica, se detecta líquido perivesicular. Doppler pulsado a nivel de arteria cística. Páncreas visible en parte sin alteraciones en su interior, no se visualiza Wirsung ni dilatación a nivel de ampolla de Vater, bazo y riñones de tamaño y ecoestructura normal, mioma uterino, vejiga parcialmente replecionada, aorta de calibre normal.
Enfoque familiar y comunitario
No.
Juicio clínico, diagnóstico diferencial, identificación de problemas
Colelitiasis con signos de Colecistitis
El diagnóstico diferencial incluye: colelitiasis simple (imagen hiperecogénica con sombra en paciente con cólico biliar), coledocolitiasis (dilatación de vía biliar principal), pancreatitis litiásica (litiasis enclavada en ampolla de Vater), obstrucción biliar de origen neoplásico (hepática, biliar o pancreática), colecistitis y la complicación gangrenosa. Otras causas de vómitos como la obstrucción intestinal.
Según los criterios de Tokio 2018, el diagnóstico de colecistitis se establece con la combinación de signos locales de inflamación: dolor en hipocondrio derecho y Murphy positivo, signos sistémicos de inflamación: leucocitosis con neutrofilia, hallazgos de imagen: pared vesicular engrosada (mas de 3 mm), vesícula distendida, presencia de litiasis y Murphy ecográfico positivo, líquido pericístico así como elevación de la velocidad pico sistólica en la arteria cística.
Tratamiento y planes de actuación
Se aconsejó a su médico derivación a urgencias.
Evolución
Buena evolución tras tratamiento antibiótico hospitalario. Programada intervención quirúrgica.
La ecografía abdominal como extensión de la exploración física permite anticipar diagnósticos en pacientes sin fiebre ni signos clásicos. Aunque lo habitual es la afectación del estado general, fiebre y dolor abdominal en hipocondrio derecho, en ocasiones las náuseas/vómitos pueden constituir la única manifestación clínica. Además, en pacientes diabéticos el signo de Murphy puede ser negativo, lo que aumenta el valor de la ecografía clínica en Atención Primaria. Deben conocerse los criterios diagnósticos Tokio 2018 tal como ha sido en este caso.



