X Jornadas de Actualización en Medicina de Urgencias y VI Jornadas de Ecografía de la semFYC
6-7-8 de febrero de 2025
Atención Primaria, servicios de urgencias.
Disminución del nivel de consciencia.
Enfoque individual: antecedentes personales, anamnesis, exploración, pruebas complementarias, etc.
No alergias medicamentosas. Adenomas tubulares, hiperplasia benigna de próstata, apendicectomía. Fumador 10-15 cig/día. Alcohol ocasional.
Hombre de 69 años, acude a Urgencias Hospitalarias por deterioro del nivel de consciencia. Refiere cuadro catarral de 14 días sin mejoría pese a tratamiento sintomático. Últimos días asocia cefalea y otalgia bilateral. Valorado en Urgencias de atención primaria como Otitis Media Aguda (OMA) tratado con Amoxicilina. En últimas 24 h alteración del nivel consciencia.
A la exploración presenta regular estado general, consciente, orientado, inatento, somnolencia, bradipsiquia. Deshidratación mucocutánea, afebril. Rash cutáneo en tórax y axilas. Otoscopia: Derecha: OMA. Izquierda: Cerumen. No mastoiditis. No parálisis facial.
Juicio clínico, diagnóstico diferencial, identificación de problemas
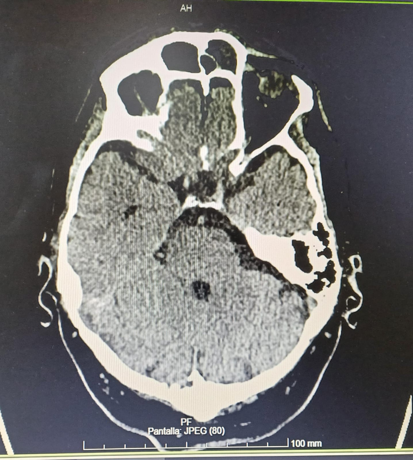
Meningoencefalitis otógena secundaria a OMA. Empiema subdural derecho. Tromboflebitis séptica en seno sigmoide y transverso distal derechos. Hemorragia subaracnoidea.
Tratamiento y planes de actuación.
Antibioterapia con Ampicilina, Vancomicina y Ceftriaxona. Tras aislamiento de S. pneumoniae en LCR se retira ampicilina. Corticoterapia (dexametasona). Ácido valproico por posible crisis comicial.
Evolución
Manejo conservador conjunto Otorrinolaringología (ORL)y Neurología (NRL). Ante situación clínica se traslada a Unidad de Críticos y posteriormente ingreso en UMI para neurovigilancia con buena evolución. Seguimiento con TC y RNM cráneo y oído presentando ocupación de oído medio y celdillas mastoideas derechas, solución de continuidad en techo de mastoides con gas intracraneal. Empiema subdural en convexidad derecha 6 mm (previo 3 mm). Ante febrícula y leucocitosis mantenida se realiza nueva PL, con incremento de glucorraquia y sin gérmenes, se amplía antibioterapia a meropenem con buena evolución clínica posterior. Alta a planta de NRL con seguimiento por Unidad de Enfermedades Infecciosas.


