5, 6 y 7 de febrero de 2026
Urgencias centro Atención Primaria.
Disnea.
Enfoque individual
Antecedentes: Mujer de 50 años con alérgica a AAS y Enantyum. Fumadora de 1 paquete/día.
Antecedentes patológicos:
Malaltia actual:
Mujer de 50 años que acude por dolor costal derecho de más de 1 semana de evolución que no cede con analgesia habitual.
Exploració física:
AR MVC con hipofonesis hemitórax derecho con roncus en base izquierda.
FC 125 bpm Tªaxi 36,5 ºC FR 24 rpm TA s 91 mmHg SAT O2 99,00 % TA d 58 mmHg.
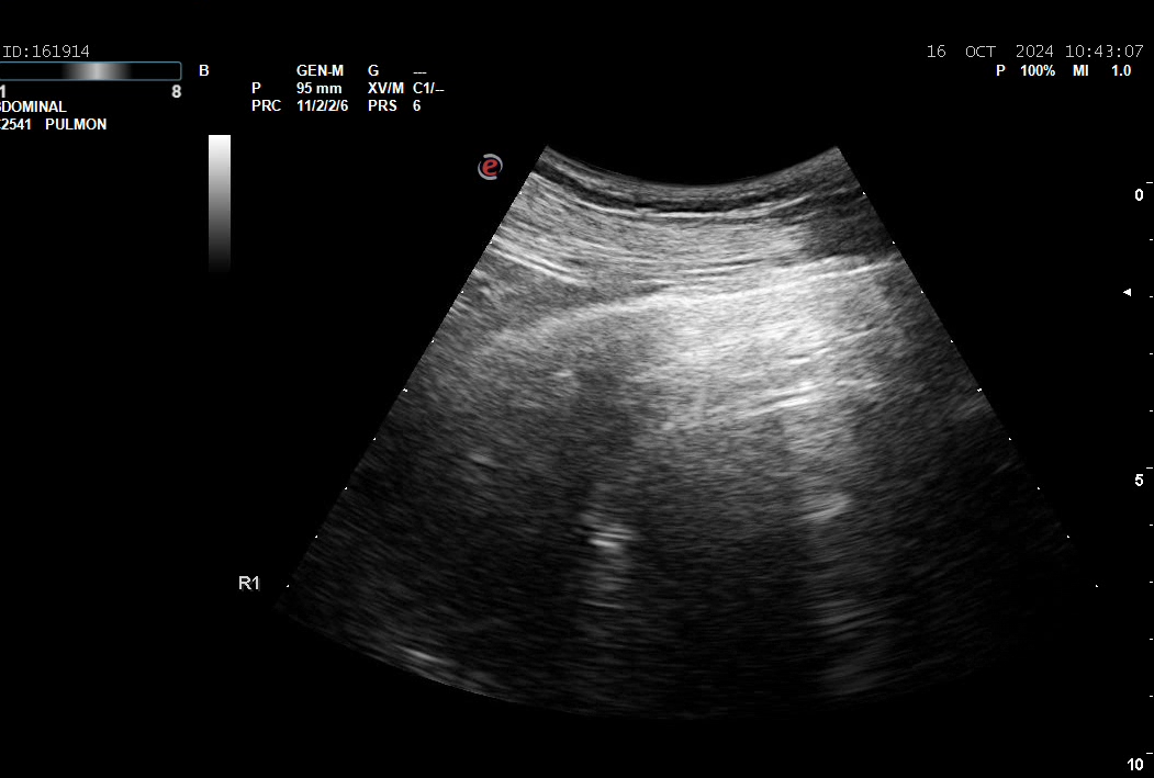
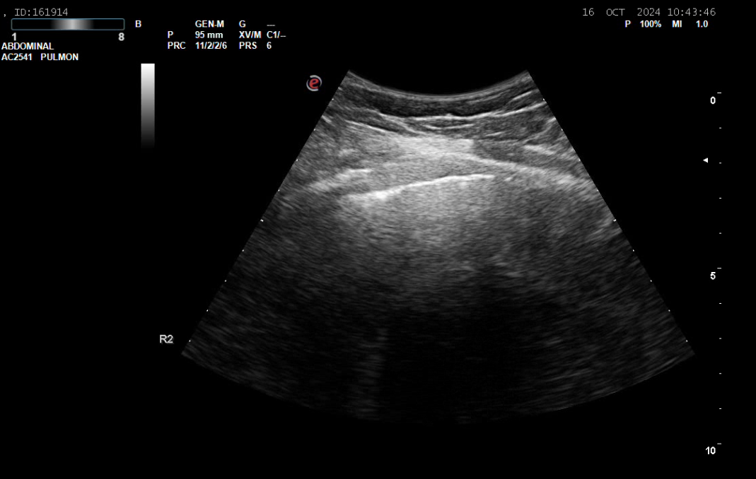
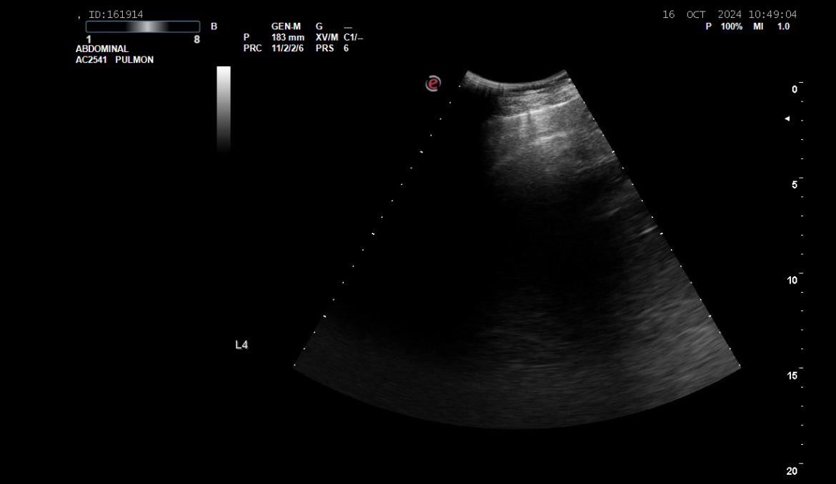
La eco a pié de cama muestra masa/atelectasia LID.
Se deriva a Hospital de referencia.
Enfoque familiar y comunitario
Conocer desde atención primaria el hábito enólico crónico de 2-3 UBE/día y sabiendo que se trataba de una paciente con escaso autocuidado con tendencia minimizadora, fue de vital importancia para sospechar patología grave ante una consulta espontánea al ambulatorio.
Juicio clínico, diagnóstico diferencial, identificación de problemas
Sepsis por empiema paraneumónico.
Tratamiento y planes de actuación
Toracocentesis diagnóstica + evacuadora con drenaje.
Piperacilina tazobactam.
Evolución
Neumonía necrotizante de LID complicada con empiema, con cultivo líquido pleural positivo para Streptococcus constellatus (sensible a penicilina) y Prevotella buccae. Actualmente P/T 4 g iv c/6 h (17/10-ongoing). El 31/10 por persistencia de fiebre se añade vancomicina. Drenaje pleural retirado el 29/10 y recolocado el 04/11 por persistencia de fiebre y empiema en TC de control, el 08/11 se conecta drenaje a válvula Heimlich. Pendiente de nuevos cultivos. Se retira vancomicina 08/11 dada mejoría clínica y estando afebril.
El uso de ecografía en Atención Primaria puede reducir tiempos de espera y permitir una derivación al dispositivo adecuado en base a la orientación diagnóstica.



