V Jornadas de Ecografía de la semFYC
9 y 10 de febrero de 2024
Enfoque individual
Paciente de 77 años con antecedentes de HTA, hipercolesterolemia y RGE.
Acude para recoger análitica realizada por epigastralgia intercurrente inespecífica sin otra sintomatología, detectándose hiperuricemia de 15mg/dl (previa 5,9); función renal con FG CKD-EPI 72; colesterol 210 (HDL 42, LDL 145) y mínima alteración de las transaminasas hepáticas (GOT 48; GPT 79; GGT 98).
El médico suplente nos comenta el caso, y decidimos realización de Eco abdominal en el momento, sin preparación, para orientar el estudio diagnóstico.
Hallazgos ecográficos
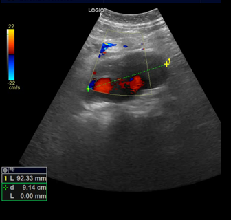
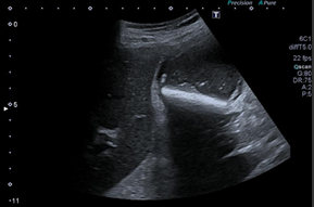
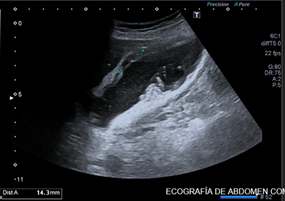
Exploramos con sonda convex en corte longitudinal en epigastrio una imagen ovalada de predominio anecoico de bordes bien delimitados que en corte transverso se extiende longitudinalmente por la linea media de forma ovalada y de diametro mayor a 93,3 mm que presenta contenido hipoecoico en semiluna adherido a pared altamente sugerente de aneurisma aortico con trombo endomural que en algunas zonas ocupa más del 50% de la luz del vaso.


