X Jornadas de Actualización en Medicina de Urgencias y VI Jornadas de Ecografía de la semFYC
6-7-8 de febrero de 2025
Servicio de Urgencias hospitalarias.
Enfoque individual: antecedentes personales, anamnesis, exploración, pruebas complementarias, etc.
Antecedentes personales: Institucionalizada. Hipertensión arterial, dislipemia, enfermedad renal crónica estadio 3b e insuficiencia cardíaca de probable etiología valvular.
Anamnesis: Mujer de 96 años traída a urgencias por presentar cuadro sincopal, no presenciado, sin poderse precisar duración o características del mismo. Asocia hipotensión posterior y desaturación. No focalidad neurológica posterior, incontinencia de esfínteres, ni movimientos tónico-clónicos. Afebril.
Exploración física: edemas bimaleolares en miembros inferiores (MMII). Empastamiento en MMII izquierdo. Saturación de oxígeno 88%. Auscultación pulmonar con crepitantes bibasales.
Pruebas complementarias: Se realiza radiografía de tórax y electrocardiograma normales. En la analítica de sangre destaca Dímero D muy elevado.
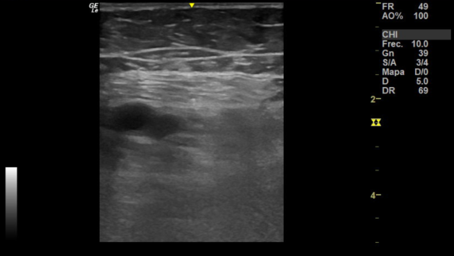
Se realiza ecografía de compresión a pie de cama, negativa en femoral derecha. Femoral izquierda no compresible por completo y con relleno incompleto de flujo Doppler, sin clara imagen de trombo en su interior.
Posteriormente, durante el ingreso, se solicitó ecografía reglada por cirugía vascular y Gammagrafía de Ventilación/Perfusión para descartar Tromboembolismo pulmonar (TEP) ya que no fue posible realizar el AngioTAC por filtrados glomerulares inferiores a 15 ml/min.
Juicio clínico, diagnóstico diferencial, identificación de problemas
El diagnóstico principal, basado en la sospecha clínica y prueba de imagen, fue de trombosis venosa profunda (TVP) femoral izquierda.
Se realizó diagnóstico diferencial con otras causas de síncope, como arritmias, hipotensión ortostática o accidente cerebrovascular.
Tratamiento y planes de actuación
Se inició tratamiento anticoagulante. Se ingresó a la paciente para realizar las pruebas complementarias anteriormente descritas, vigilancia estrecha y control de posibles complicaciones.
Evolución
La paciente presentó mejoría clínica tras la instauración del tratamiento. Se logró la estabilización de la saturación de oxígeno y se mantuvo la estabilidad hemodinámica.
La ecografía fue clave para la identificación de la TVP femoral, lo que permitió la elección de un tratamiento dirigido. Este caso resalta la necesidad de considerar la TVP como diagnóstico diferencial en pacientes de edad avanzada con síncope, especialmente en presencia de factores de riesgo como inmovilidad o signos clínicos de trombosis. La colaboración entre atención primaria y urgencias es esencial para la detección y manejo adecuados de esta patología.

