5, 6 y 7 de febrero de 2026
Atención Primaria y Servicios de Urgencias.
Enfoque individual
Mujer de 77 años con esclerosis múltiple primaria progresiva con dependencia grave y vejiga neurógena con sondajes intermitentes, que es traída a nuestra consulta por fiebre, decaimiento y aparición de placa eritematosa en muslo desde la noche anterior. En la exploración física presenta desaturación, hipotensión y taquicardia. La ausculatación es normal y el abdomen es anodino. Destaca una gran placa eritematosa, caliente y dolorosa desde labios mayores a región lumbar y raíz de miembros inferiores.
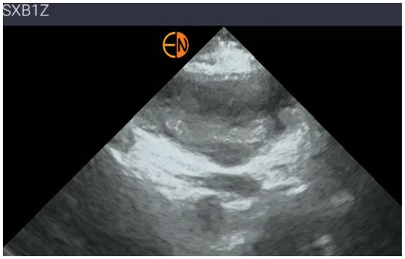
Realizamos ecografía clínica donde se evidencia engrosamiento de tejido celular subcutáneo con hipercaptación Doppler sin visualizar abscesos, además de contenido hiperecogénico intravesical. A nivel pulmonar patrón de líneas A sin consolidaciones.
Con la sospecha de sepsis de origen urinario +/- cutáneo se deriva a Urgencias, donde se solicita analítica presentando gran elevación de reactantes de fase aguda y orina con piuria y bacteriuria abundante. Se completa estudio con TC de abdomen visualizándose engrosamiento vesical con burbujas de gas intravesicales sugerentes de cistitis complicada.
Enfoque familiar y comunitario
Dependencia grave. Hija como cuidadora principal. El episodio condiciona la dinámica de cuidados y genera sobrecarga familiar.
Juicio clínico, diagnóstico diferencial, identificación de problemas
Sepsis de origen urinario + celulitis de miembros inferiores y periné en paciente frágil. Diagnóstico diferencial: gangrena de Fournier, absceso subcutáneo, sepsis de otro origen.
Tratamiento y planes de actuación
Ingreso en Medicina Interna e inicio antibioterapia con Meropenem y Linezolid en base a cultivos previos, posteriormente secuenciada a clindamicina oral tras evolución favorable. Se mantiene sonda vesical.
Evolución
Permanece afebril, con mejoría clínica y analítica. Dada de alta a los cuatro días con tratamiento antibiótico oral y seguimiento en nuestras consultas.
La POCUS multiórgano fue decisiva: mostró la presencia de material hiperecogénico en vejiga como posible origen del cuadro, confirmó celulitis sin absceso y descartó otros focos infecciosos. Se acortaron tiempos diagnósticos, orientamos la derivación hospitalaria de forma precisa y facilitamos el inicio precoz de antibioterapia. No es solo un complemento, sino una herramienta transformadora: convierte la incertidumbre en seguridad, protege a los pacientes más vulnerables y optimiza recursos. Marca la diferencia entre sospechar y confirmar, entre demora y oportunidad, entre complicación y supervivencia.

