5, 6 y 7 de febrero de 2026
Atención Primaria.
Dolor abdominal recurrente.
Enfoque individual
AP: Obesidad, fumador activo, sin AF de interés.
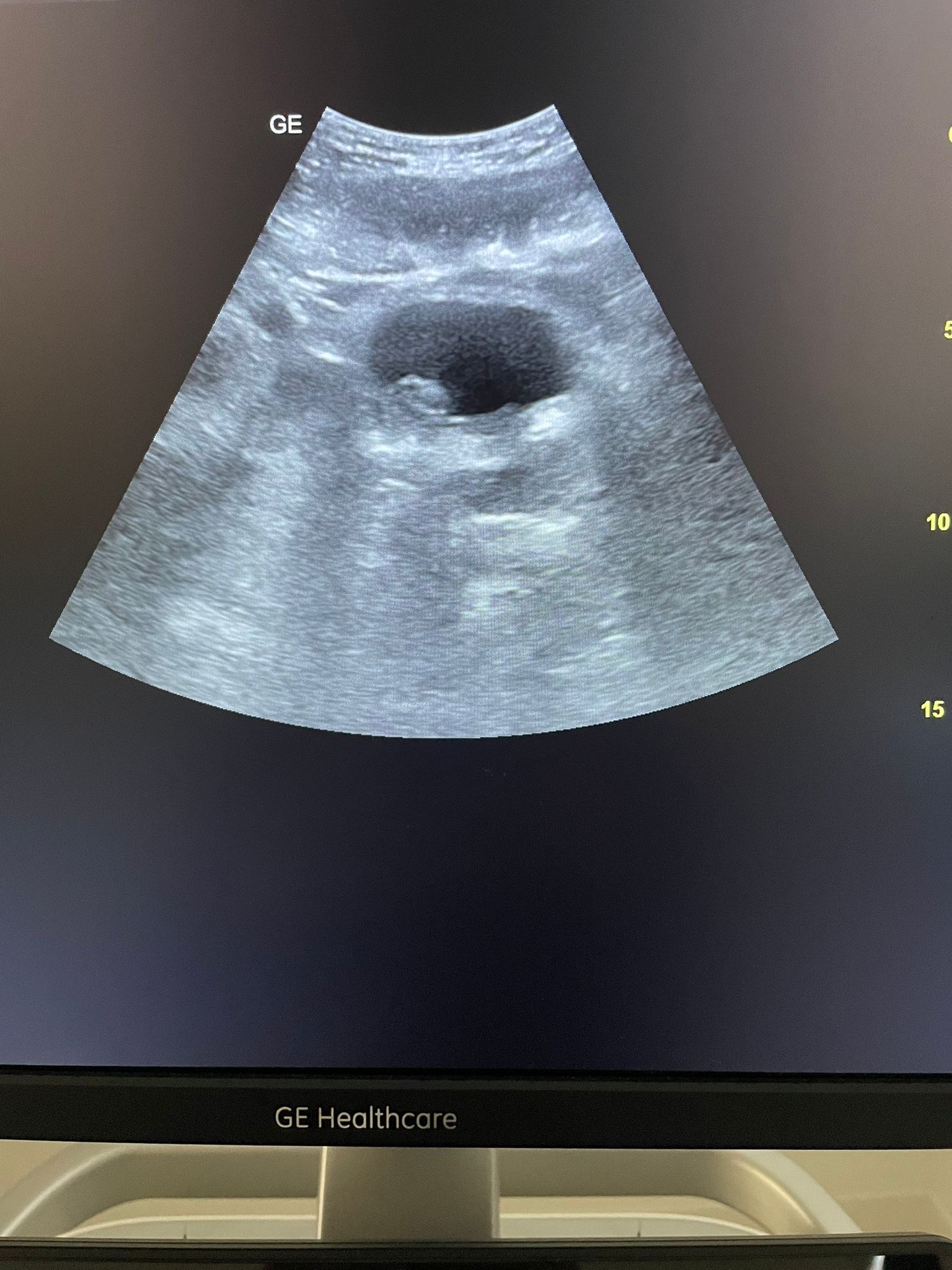
Hallazgos ecográficos
Pruebas complementarias
Juicio clínico, diagnóstico diferencial, concordancia con el hospital (en su caso)
Sospecha de tumor vesical.
Diagnóstico diferencial: tumor (vesical próstata, riñón), litiasis renales, infecciones tracto urinario, enfermedades glomerulares, traumatismos, hiperplasia benigna de próstata.
Tratamiento, planes de actuación
Se le pauta analgesia y se le dan recomendaciones. Se consulta con radiología que indica solicitar ecografía abdominal reglada y Uro TAC. Se deriva a consulta de Urología de manera preferente.
Evolución
Se realiza ecografía abdominal donde se observa vejiga de adecuada repleción con imagen polipoide de 21x13 mm a nivel del piso vesical, discretamente a la derecha con signos de vascularización al examen doppler color. Se realiza URO-TC de abdomen y pelvis cuya conclusión es: microlitiasis renales bilaterales de 3-3,5 mm no obstructivas. Uréteres sin dilatación. Lesión intraluminal vesical de 15 mm en pared lateral derecha, cercana a la unión ureterovesical, con engrosamiento urotelial adyacente, de alta sospecha de neoplasia urotelial; menos probable coágulo organizado o pólipo inflamatorio dada la morfología y la ausencia de densidad cálcica. Sin adenopatías ilíacas o inguinales significativas.
En este momento, se encuentra en espera de ser valorado por el servicio de Urología.
La ecografía es una técnica muy útil en nuestras consultas. Es un recurso eficiente que nos ayuda a mejorar la capacidad resolutiva de la Atención Primaria. Aporta mucha información y nos ayuda para conseguir un diagnóstico y tratamiento precoz. En este caso, la ecografía ha sido fundamental en el enfoque clínico y en su manejo.



