V Jornadas de Ecografía de la semFYC

9 y 10 de febrero de 2024

Comunicaciones: Casos clínicos

Confía en tus conocimientos (póster)

Ámbito del caso

Atención Primaria

Motivos de consulta

Dolor abdominal y vómitos

Historia clínica

Enfoque individual

Antecedentes personales: fibrilación auricular, enfermedad renal crónica.
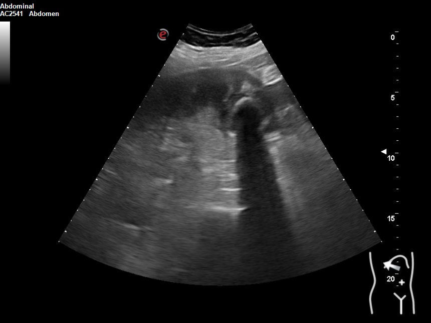
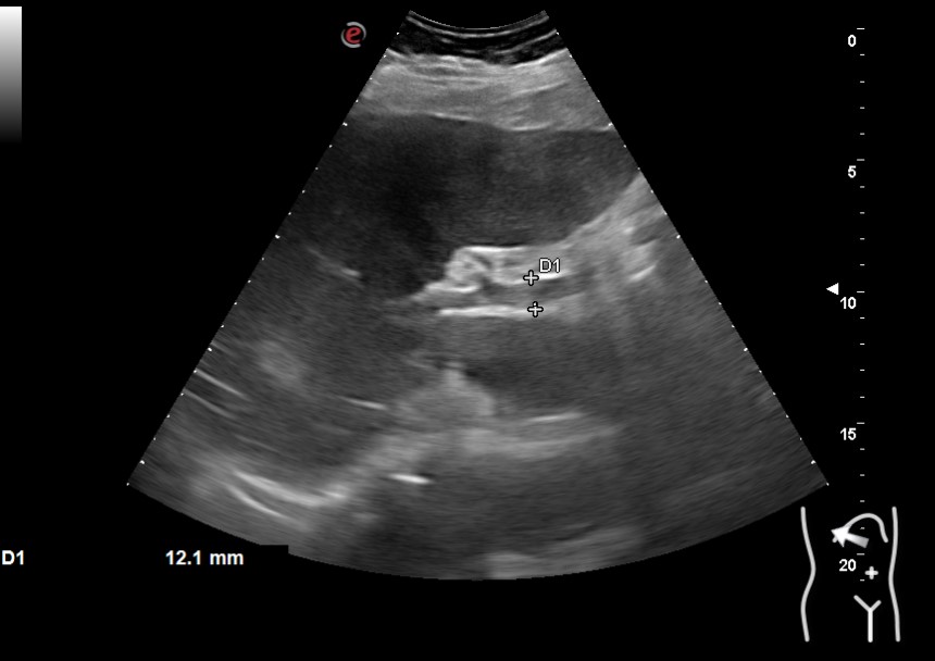
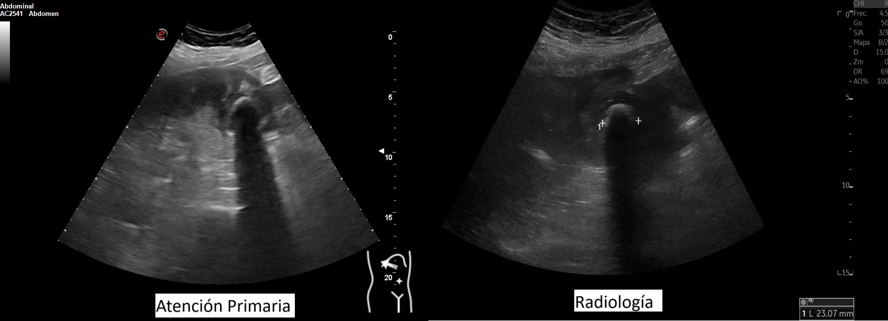
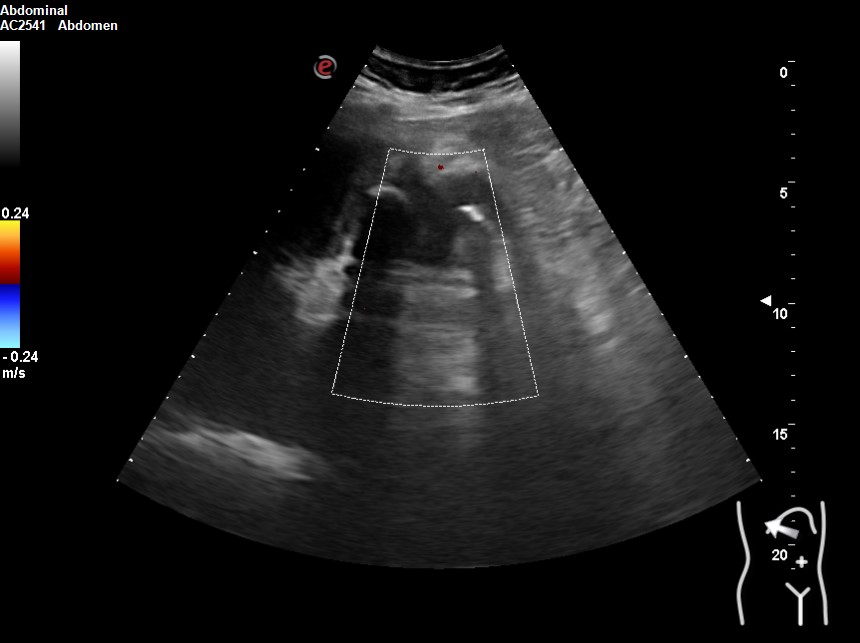
Varón de 75 años que acude por dolor abdominal de inicio en hipocondrio derecho y posteriormente en epigastrio con vómitos de 3 días de evolución. No fiebre. En la exploración física presenta subictericia y dolor a la palpación en epigastrio. Se decide realizar una ecografía en el centro.

Hallazgos ecográficos

Vesícula biliar desestructurada, de paredes mal definidas con litiasis de 20 mm, que contacta con la pared de la segunda porción duodenal. Porta de tamaño normal. Vía biliar no dilatada.

Juicio clínico, diagnóstico diferencial, identificación de problemas

Juicio clínico: Colecistitis sobre colecistopatía crónica planteando

Diagnóstico diferencial con: pancreatitis, no encajaría con la ictericia y los hallazgos ecográficos; colédocolitiasis, compatible con la ictericia; neoplasia, estaría en contra lo agudo del cuadro.

Tratamiento y planes de actuación

Ante mal estado general, intolerancia oral y hallazgos ecográficos se decide remitir al paciente al servicio de urgencias hospitalarias para realización de análisis de sangre y tomografía computarizada.

Evolución

En los análisis destacaban: GOT 419 GPT 525 FA 373 Bilirrubina 5,3 PCR 184 19.800 leucocitos con neutrofilia. Se realiza tomografía computarizada y nueva ecografía. Se inicia antibioterapia e ingresa con impresión diagnóstica de colecistitis sobre colecsitopatía crónica versus neoplasia vesicular.

Conclusiones (y aplicabilidad para la Medicina de Familia)

La ecografía es una prueba rápida, de gran utilidad para la orientación diagnóstica en los casos de dolor abdominal agudo. En muchas situaciones puede confirmar la sospecha inicial y en otras descartar causas frecuentes. En este caso se trataba de una presentación atípica con unos hallazgos ecográficos difíciles de interpretar. Esto no nos debe restar confianza en nuestras habilidades ya que como vemos en esta ocasión, tampoco un mayor número de pruebas complementarias fue suficiente para dar con un diagnóstico definitivo.

 


Comunicaciones y ponencias semFYC: 2026; Comunicaciones: Casos clínicos. ISSN: 2339-9333

Autores

Carreño Segura, Oscar
CS de Ortuella. Bizkaia
Méndez Sampedro, Tomás ángel
CS de Ortuella. Bizkaia
Lamela Mena, Asier
CS de Ortuella. Bizkaia