X Jornadas de Actualización en Medicina de Urgencias y VI Jornadas de Ecografía de la semFYC
6-7-8 de febrero de 2025
Determinar las bases éticas de consenso para aquellas actividades de formación en Ecografía Clínica, en las cuales sean los propios alumnos los que participan como modelos para el desarrollo de la misma.
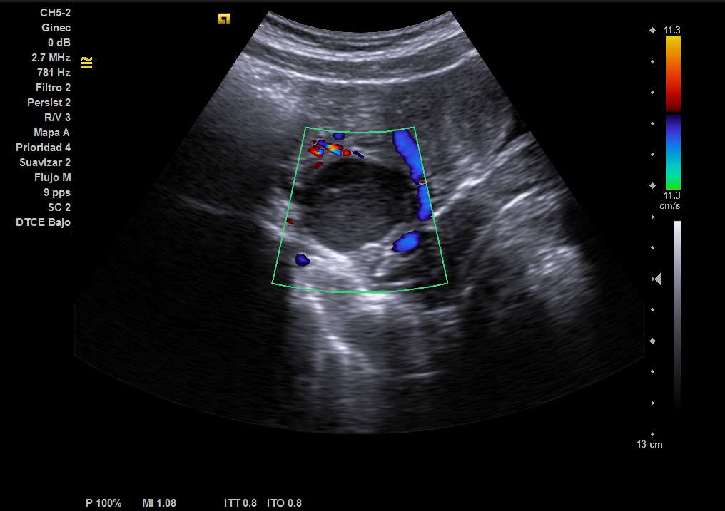
Durante la realización de una de las actividades formativas en Ecografía Clínica por parte de una Unidad Docente de formación MIR, concretamente, en el apartado práctico de la misma durante la exploración urogenital de una de las alumnas participantes, que se había prestado como modelo para la misma, se visualiza una masa anexial derecha no conocida.
Según los criterios ecográficos de IOTA, esta masa cumple con criterios ecográficos de benignidad, presentando características propias de quiste hemorrágico, y no precisando seguimiento posterior según las recomendaciones.
A pesar de la aparente ausencia de consecuencias clínicas, esta situación plantea un compromiso ético y de secreto profesional para los participantes en formación en ecografía que también deciden ofrecerse y participar como modelos durante la misma. Tanto en el ámbito de la Medicina de Urgencias como en el de Medicina Interna se han publicado documentos de consenso en este ámbito. Sin embargo, estos contemplan únicamente la formación con pacientes-modelo, no para alumnos-modelo, no existiendo a día de hoy documentos de consenso que aseguren unas bases éticas para esta situación no infrecuente en el ámbito docente.
Es preciso la elaboración de protocolos y modelos para salvaguardar y garantizar el derecho a la confidencialidad de los alumnos-modelo en formación en ecografía clínica ante posibles problemas éticos derivados, contemplando el secreto profesional por parte de los formadores y participantes, así como el principio de Autonomía de los mismos para tomar parte o no como modelos en su desarrollo.
Realización de actuaciones previas que garanticen la privacidad de los alumnos-modelo en futuras actividades formativas en Ecografía Clínica.



