5, 6 y 7 de febrero de 2026
Enfoque individual
Hombre de 46 años. Sastre. Refiere haber sentido un pinchazo en la pierna derecha al tumbarse para coger el bajo al pantalón de un cliente. Consulta por dolor desde entonces.Enfoque familiar y comunitario
Al tratarse de un paciente con otro Hospital de referencia, si no conseguimos localizar y extraer la aguja, el paciente sería derivado a su Hospital para valoración y tratamiento.Juicio clínico, diagnóstico diferencial, identificación de problemas
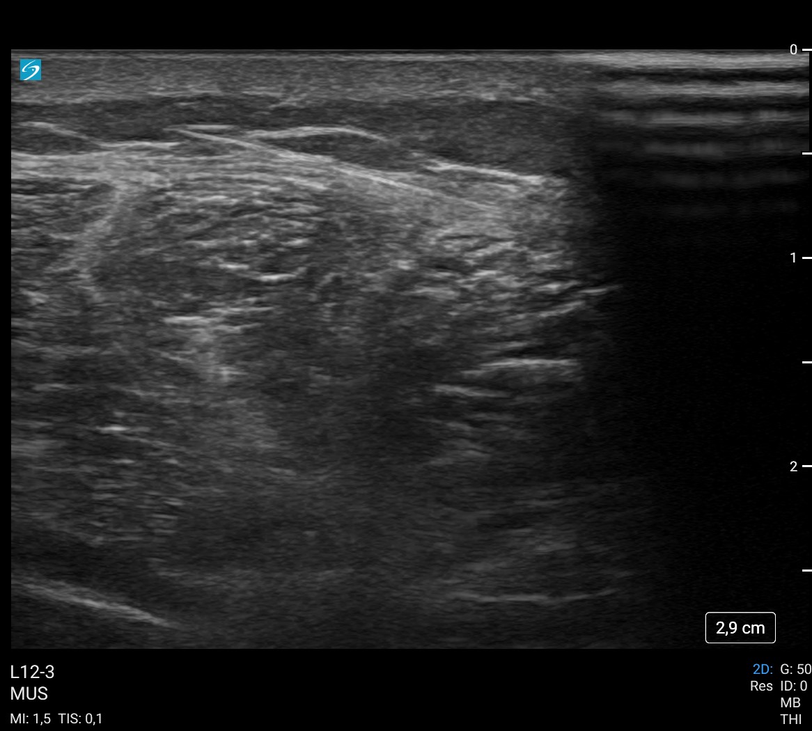
Con el punto de entrada y la imagen de la radiografía simple, como únicos datos para localizar la aguja, no teníamos la certeza de donde se encontraba. Nos servimos entonces de la ecografía para una localización exacta de la aguja, realizar la incisión y extraerla.Tratamiento y planes de actuación
Tras anestesia local, se procede a realizar incisión y extracción de la aguja, encontrándose íntegra.Evolución
Tras el procedimiento se suturó la herida y fue dado de alta a domicilio.


