X Jornadas de Actualización en Medicina de Urgencias y VI Jornadas de Ecografía de la semFYC
6-7-8 de febrero de 2025
Mejorar la identificación y manejo de la patología intestinal en el ámbito de Atención Primaria revisando su diagnóstico diferencial según sus características ecográficas.
En un corto periodo de tiempo se identificaron en el centro varios casos de patología intestinal con gran variabilidad diagnóstica y de características ecográficas. Surge con ello la necesidad de aumentar el conocimiento del equipo para realizar un correcto manejo y diagnóstico diferencial al tratarse de patologías prevalentes. Por ello revisamos la literatura y realizamos una sesión clínica.
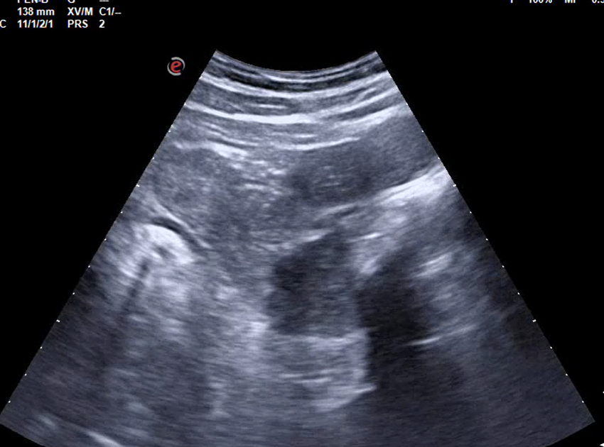
Hombre de 44 años con dolor abdominal difuso, vómitos y diarrea, con episodios previos recurrentes de años de evolución: enfermedad de Crohn con múltiples estenosis en íleon.
Hombre de 54 años con diarrea y pérdida ponderal: carcinoma de la unión rectosigmoidea.
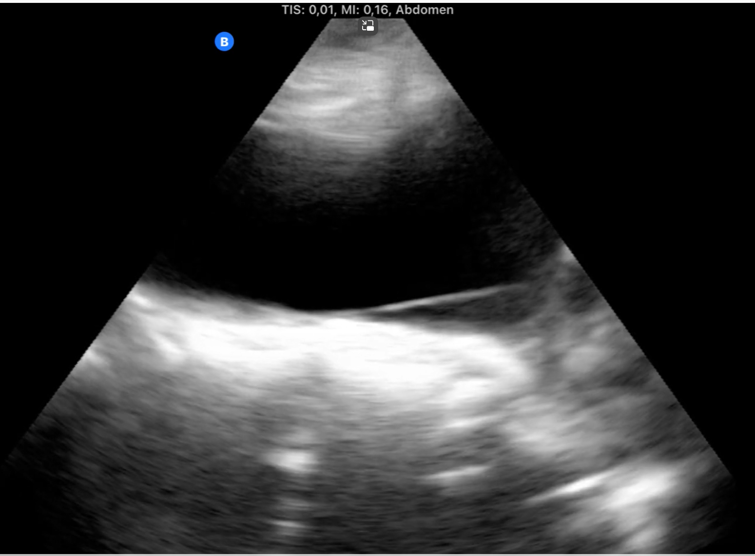
Mujer de 35 años con dolor en hemiabdomen inferior y fiebre: apendicitis aguda perforada.
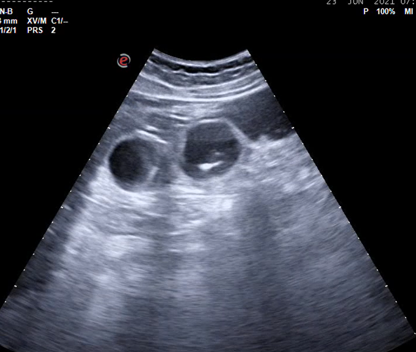
Mujer de 72 años en situación de cuidados paliativos por adenocarcinoma endometrial con sintomatología de obstrucción intestinal: implante peritoneal quístico de 8.7cm que le produce dilatación de estómago.
Gracias a la ecografía intestinal podemos evaluar la motilidad, elasticidad y vascularización intestinal, así como estudiar estructuras circundantes, erigiéndose como una herramienta de gran apoyo en nuestra práctica clínica para orientar nuestra sospecha diagnóstica.
La ecografía en el estudio del tubo digestivo supone una prueba accesible para realizar en nuestros centros y que ofrece una oportunidad única para estudiar el tracto digestivo de forma no invasiva, bien tolerada y sin necesidad de preparación previa.



