X Jornadas de Actualización en Medicina de Urgencias y VI Jornadas de Ecografía de la semFYC
6-7-8 de febrero de 2025
Dolor lumbar.
Enfoque individual: antecedentes personales, anamnesis, exploración, pruebas complementarias, etc.
Presentamos el caso de un hombre de 43 años, con antecedentes quirúrgicos de hernia inguinal izquierda, que acude por dolor en fosa renal derecha irradiado a zona inguinal derecha de 3 días de evolución que no mejora con antiinflamatorios ni tratamiento expulsivo.
Buen estado general. Consciente, orientado, colaborador. Bien hidratado, nutrido y perfundido. Eupneico al reposo. Tensión arterial: 148/88 mmHg. Frecuencia cardíaca: 80. Saturación de Oxígeno: 98%. Afebril.
Abdomen blando, depresible, doloroso a la palpación de hipocondrio derecho y fosa ilíaca derecha. Ruidos hidroaéreos presentes. No masas ni megalias. No signos de irritación peritoneal. Murphy negativo, Blumberg dudoso positivo. Puño percusión renal derecha positiva.
Se solicita analítica que muestra leucocitosis con neutrofilia, creatinina 1,35 (previa 1,13) y proteína C reactiva 52,5. Orina normal.
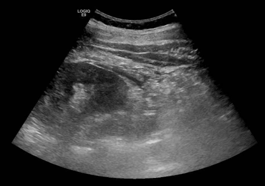
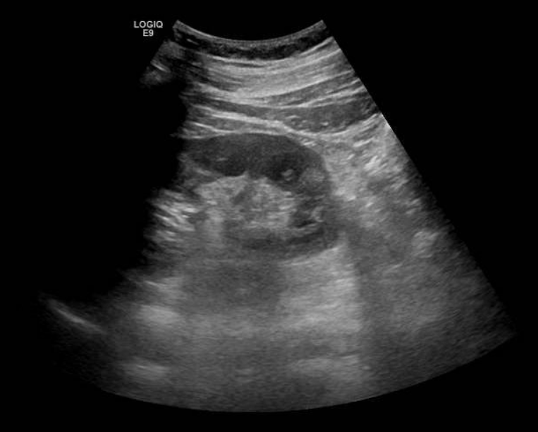
Se solicita ecografía abdominal que muestra líquido en espacio pararrenal posterior derecho bajo, sobre músculo psoasilíaco derecho, y leve ectasia piélica derecha sin identificar causa.
Juicio clínico, diagnóstico diferencial, identificación de problemas
Entre las entidades que afectan al espacio pararrenal nos encontramos linfangioma, entidades fibróticas, hematomas, abscesos, neoplasias… Por tanto, se completa estudio con TAC abdominal con contraste. En el TAC se observa litiasis de 3 mm en meato ureteral derecho con dilatación pielocalicial grado II y leve-moderada cantidad de líquido en espacios retroperitoneales peri y pararrenal derechos, que se relacionan con salida de contraste intravenoso en fase excretora, compatible con rotura de la vía urinaria sin identificarse claro punto de fuga.
Tratamiento y planes de actuación.
Se contacta con Urología, que ingresa al paciente.
Evolución
Dada la estabilidad clínica y función renal conservada, se indica hidratación abundante, evitar dietas hiperproteicas, antibioterapia, antiinflamatorios y tratamiento expulsivo con posterior revisión en consultas externas de litiasis previo TAC de abdomen sin contraste.
Entre las indicaciones de ecografía, se encuentra el dolor abdominal sugestivo de cólico nefrítico en pacientes que no responden a analgesia. La nefrolitiasis es un hallazgo ecográfico muy frecuente en la exploración ecográfica renal y puede acompañarse de dilatación o no de la vía urinaria u otras complicaciones que nos orientarán en el manejo del paciente.



