X Jornadas de Actualización en Medicina de Urgencias y VI Jornadas de Ecografía de la semFYC
6-7-8 de febrero de 2025
Atención Primaria.
Paciente mujer de 55 años de edad, que acude a consulta por cuadro de dolor a nivel de fosa renal izquierda, fiebre y hematuria.
Antecedentes personales relevantes, anamnesis, exploración física y lugar que ocupa en ella la ecografía
Sin antecedentes personales relavantes. Se solicita analítica y ecografía clínica en el centro de salud. La paciente acude a las 48 horas, refiriendo mejoría de la sintomatología. A la exploración, dolor en flanco y fosa renal izquierda, con puñopercusión ipsilateral positiva. En la analítica, elevación de los reactantes de fase aguda (ferritina 700, PCR 17, VSG 140). Ante estos hallazgos se decide realizar ecografía clínica.
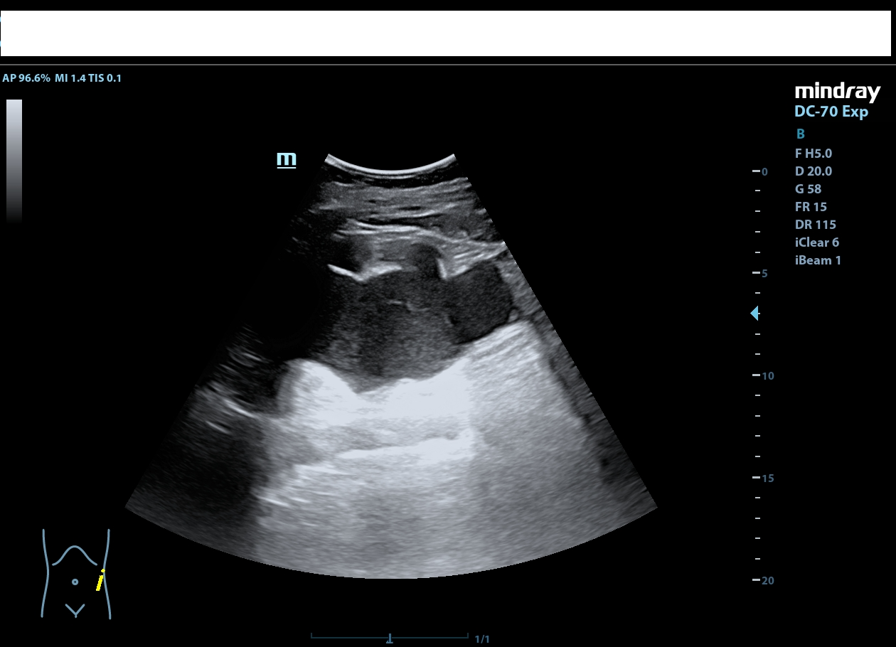
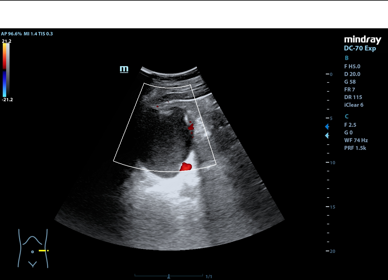
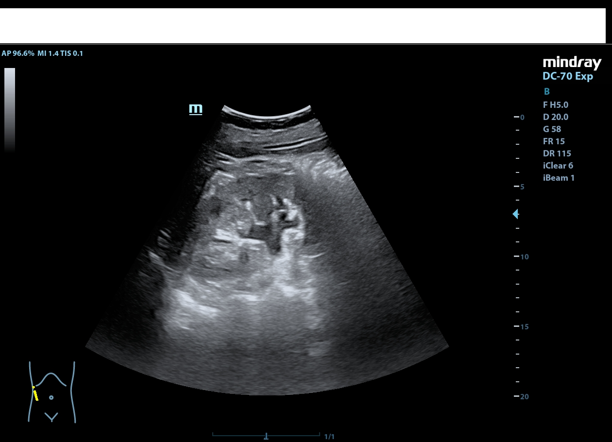
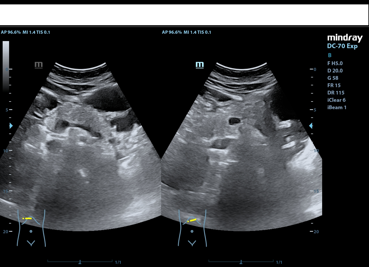
Descripción de los hallazgos ecográficos y las imágenes más relevantes para la resolución del caso
Riñón derecho de ecoestructura conservada, con dilatación pielocalicial grado I. Riñón izquierdo con adelgazamiento cortical y ureterohidronefrosis grado IV, sin poder localizarse el origen de la obstrucción, ausencia de jet ureteral izquierdo. Hallazgos sugestivos de síndrome de la unión pieloureteral.
Otras pruebas complementarias realizadas (si existen)
En urgencias es valorada por urólogo de guardia quien solicita:
TAC urografía: Probable síndrome de la unión pieloureteral izquierda. Páncreas de tamaño y morfología normal identificando en la cola una imagen hiperdensa de 14 mm con alguna calcificación milimétrica periférica que parece corresponder con aneurisma de la arteria esplénica a dicho nivel como primera opción aunque sin poder descartar un tumor neuroendocrino, por lo que se recomienda estudio de AngioTAC.
Juicio clínico, diagnóstico diferencial, concordancia con el hospital (en su caso)
Síndrome de la unión pieloureteral izquierda.
Decisiones adoptadas: tratamiento, planes de actuación
Se decide tratamiento conservador, debido a los hallazgos y a la ausencia de deterioro de la función renal.
Evolución y seguimiento
Actualmente pendiente de resultados de AngioTAC.
El síndrome de la unión pieloureteral, es una condición en la que existe una obstrucción o estrechamiento en la unión entre la pelvis renal y el uréter, lo que provoca un flujo reducido o bloqueado de orina que puede llevar a una hidronefrosis y, en algunos casos, a un daño renal si no se trata adecuadamente.
La mayoría de las veces, se trata de una condición congénita, aunque también puede ser causado por cicatrices, cálculos renales, pielonefritis o cirugías previas.
Su diagnóstico se realiza mediante ecografía para valorar la hidronefrosis y se confirma mediante UroTAC, para evaluar la obstrucción.
Con tratamiento adecuado, el pronóstico es generalmente bueno, de ahí la importancia de un diagnóstico precoz y correcto y la utilidad de la ecografía clínica en este tipo de pacientes.



