V Jornadas de Ecografía de la semFYC

9 y 10 de febrero de 2024

Comunicaciones: Casos clínicos

¿Ayuda la ecografía portátil en atención domiciliaria? (póster)

Ámbito del caso

Atención domiciliaria.

Motivos de consulta

Varón de 59 años de edad recientemente intervenido de Miocardiopatía  Hipertrófica Obstructiva que presenta disnea de resposo, edemas en extremidades inferiores y sensación de ahogo en decúbito supino de forma progresiva. Se decide valoración en domicilio debido a que se encuentra en período de inmediata post-alta hospitalaria.

Historia clínica

Enfoque individual

Antecedentes personales: Miocardiopatía hipertrófica obstructiva (MCHO), Enfermedad Pulmonar Obstructiva Crónica (EPOC), Anticoagulación oral.  

Exploración física: Paciente con importante edematización de extremidades inferiores y en superiores, con Sp02 de 94%, FC de 86 lpm, TA 125/65 mmHg, auscultación pulmonar con crepitantes bibasales y discreta hipofonesis en base derecha.  

Hallazgos ecográficos

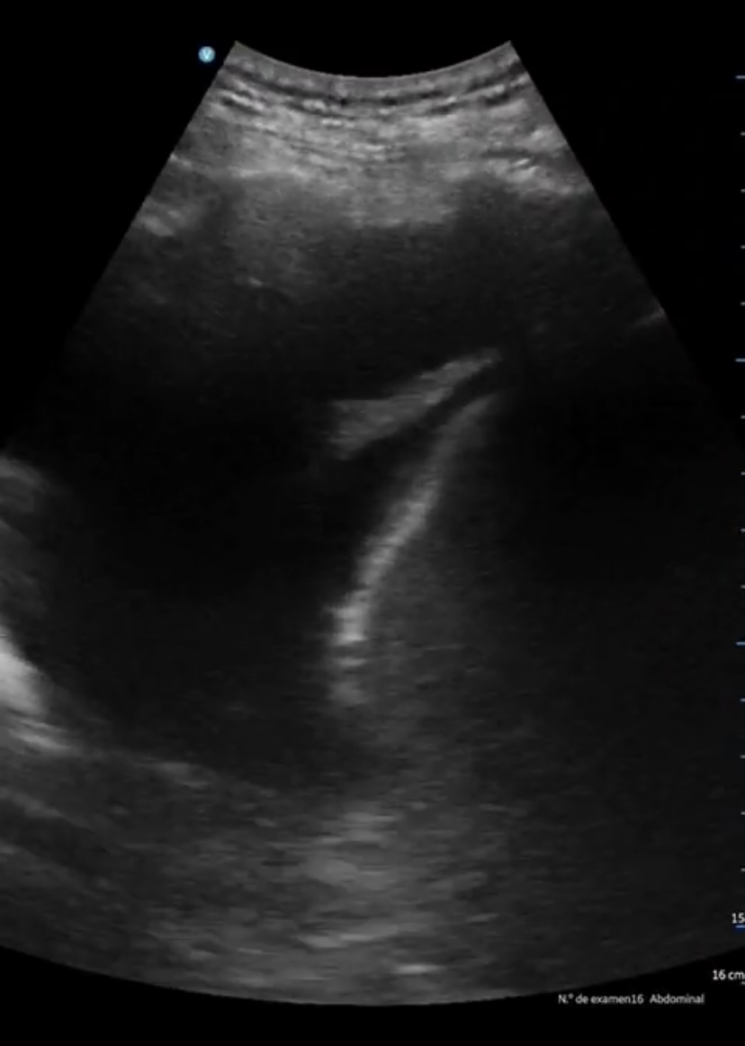
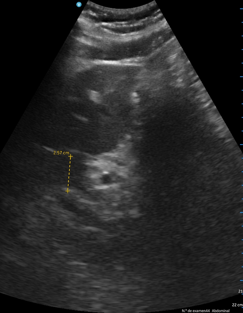
Se aprecia atelectasia lobar media con derrame pleural derecho de unos 150 cc, signo de la medusa. Líneas B en patrón B3 en ambas bases. Cavidades cardiacas normales con correcto funcionamiento valvular, adecuada contractilidad sin indicios de derrame pericárdico. Aumento de vena cava de 2,57 cm no colapsable.  

Juicio clínico, diagnóstico diferencial, identificación de problemas

Insuficiencia Cardiaca Congestiva.

Tratamiento y planes de actuación

A petición de paciente y familiares se decide manejo ambulatorio con ajuste de tratamiento diurético cambiando Torasemida 5 mg (medicación dada al alta hospitalaria) a Furosemida 40 mg 2 por dia. Se plantea nueva revaloración a los 2 días, y si hay empeoramiento derivación hospitalaria. 

Evolución

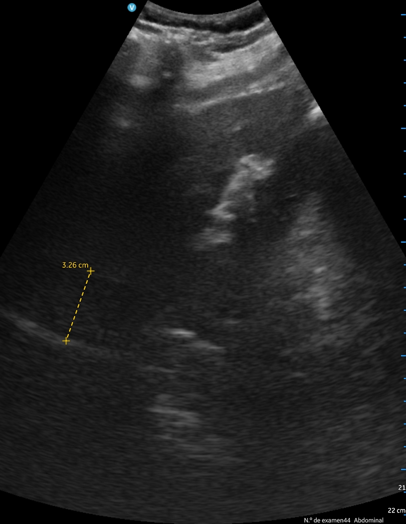
A los 2 días, el paciente presenta empeoramiento de clínica, con disminución SpO2 a 90%, persistencia de fóvea intensa y disnea de reposo. Se revalora ecográficamente encontrando aumento de derrame pleural, ahora 500 cc, una vena cava de 3,27 cm no colapsable y derrame pericárdico. Finalmente se decide derivación hospitalaria.

Conclusiones (y aplicabilidad para la Medicina de Familia)

La relevancia de la ecografía clínica es evidente en un ámbito de Atención Primaria, ayudando a establecer diagnósticos y a tomar la mejor decisión terapéutica ajustada al paciente. Cobra especial interés la posibilidad de realizar una ecográfia en ámbito domiciliario en aquellos pacientes complejos bien por su patología o por el díficil acceso a un centro sanitario. Realizando una exploración ecográfica, en este caso, nos permitió tomar una decisión inicial de manejo ambulatorio intentando evitar el ingreso de un paciente con alto riesgo; sin embargo, por la misma complejidad del mismo y una escasa respuesta al ajuste farmacológico para su clínica, se decidió finalmente derivación hospitalaria con ingreso posterior.
 
 
 

Comunicaciones y ponencias semFYC: 2026; Comunicaciones: Casos clínicos. ISSN: 2339-9333

Autores

Mejia Mejia Mondragón, Marcela
Cap Onze de Setembre. Lleida
Palacín Peruga, José María
Cap Onze de Setembre. Lleida
Pooler Perea, Alejandra
Cap Onze de Setembre. Lleida