5, 6 y 7 de febrero de 2026
Atención Primaria.
Mujer de 61 años de edad que acude por haberse detectado hace unas semanas un bulto en región cervical anterior no doloroso, sin otra clínica acompañante.
Enfoque individual
Dislipemia en tratamiento con ácidos grasos omega tres.
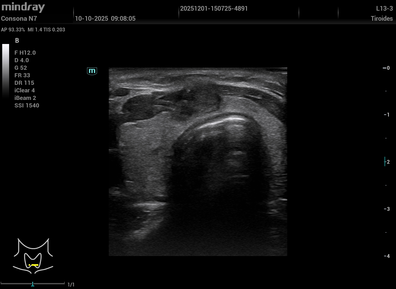
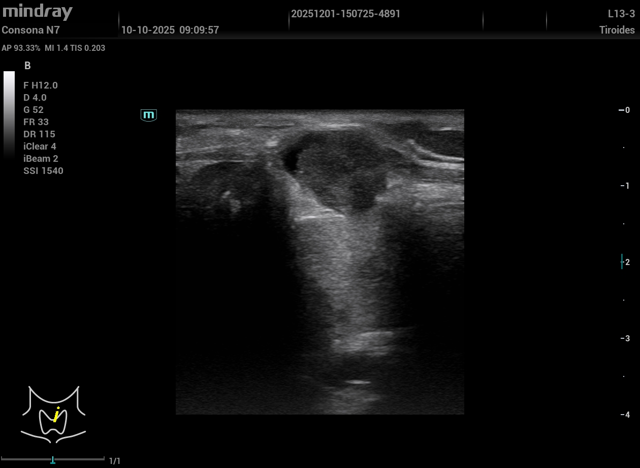
Exploración Física: Nódulo visible y palpable en línea media cervical anterior a la altura de la glándula tiroidea, no doloroso. Tras la exploración manual y dada la reciente aparición del nódulo realizamos ecografía en el momento.
Hallazgos ecográficos
Exploración ecográfica. Se observa un tiroides de tamaño y ecogenicidad normal y en istmo un nódulo hipoecogénico de aspecto heterogéneo, lobulado de bordes parcialmente delimitados, que se extiende fuera de la glándula, DE 14,3 mm de eje mayor, vascularizado y aspecto ecográfico sospechoso. TIRADS 5.
No se aprecian adenopatías patológicas.
Pruebas complementarias
Analítica hormonal sin alteraciones.
Juicio clínico, diagnóstico diferencial, concordancia con el hospital (en su caso)
Juicio clínico: sospecha de nódulo maligno.
Tratamiento, planes de actuación
A los 11 días realizan ecografía y PAFF en el hospital con la confirmación de tumor papilar de tiroides y se programa cirugía.
Realizan istmectomia en el plazo de un mes tras la paff.
Evolución
Postoperatorio sin complicaciones, Analítica hormonal normal. Seguimiento en la actualidad por AP y especializada.
El hecho de disponer de ecógrafos en el centro nos permite mejorar nuestra capacidad resolutiva, nuestra atención integral al paciente y acortar plazos en tratamientos de procesos potencialmente graves.


