X Jornadas de Actualización en Medicina de Urgencias y VI Jornadas de Ecografía de la semFYC
6-7-8 de febrero de 2025
Servicio de urgencias hospitalarias.
Dolor lumbar irradiado a pierna izquierda de 6 meses de evolución.
Enfoque individual: antecedentes personales, anamnesis, exploración, pruebas complementarias, etc.
Se trata de un paciente hombre de 60 años de edad, con antecedentes personales, de SCACEST. IAM inferior, lateral y posterior, enfermedad monovaso revascularizada, ACTO e implante de 2 stents en CD en 2015, fumador de 2 paquetes tabaco al día.
El paciente refiere clínica de dolor lumbar irradiado a pierna izquierda desde hace unos 6 meses de evolución por lo que acudía a su Centro de Salud y era tratado con analgésicos de primer y segundo escalón, con mejoría del dolor. El paciente reconsulta vía urgencias de su centro de salud por empeoramiento del dolor lumbar y mal estado general. En la exploración se identifica masa abdominal pulsátil. Se realiza traslado a urgencias hospitalarias por sospecha de aneurisma de aorta abdominal.
Juicio clínico, diagnóstico diferencial, identificación de problemas
Lumbalgia/hernia lumbar discal/aneurisma aorta abdominal.
Tratamiento y planes de actuación.
A su llegada a atención de urgencias hospitalaria, consciente y orientado, afectado por dolor lumbar izquierdo intenso EVA 9.
Constantes vitales: TA: 134/85 mmHg, FC: 80 l/m, FR: 18 r/m, Sat: 97%.
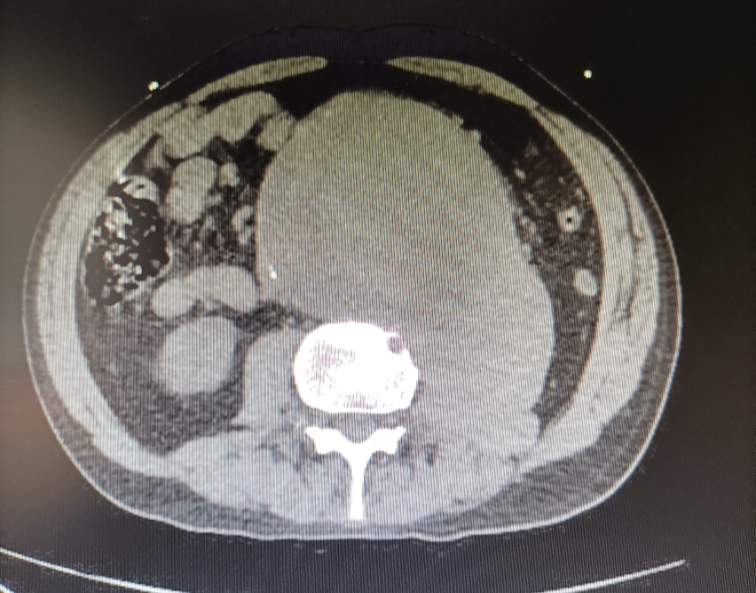
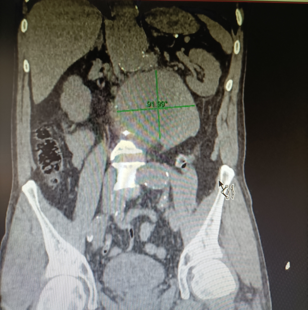
Se medica para control del dolor y se realiza Angio-TC de abdomen, donde se observan hallazgos compatibles con aneurisma de aorta abdominal infrarrenal de unos 14 x 13 cm que se extiende hasta bifurcación ilíacas, con calcificación intimal y trombo semilunar, con signos de rotura inminente.
Evolución
El paciente presentó mejoría clínica del dolor lumbar y ante los hallazgos se ingresa en sala de medicina intensiva. Se contacta con el servicio de cirugía vascular del hospital de referencia para traslado y manejo del caso.
En cualquier paciente con dolor lumbar irradiado a miembro inferior izquierdo, es normal confundirnos con una clínica de dolor lumbar y ciática. En este caso el signo que nos alertó fue la masa abdominal pulsátil.



