5, 6 y 7 de febrero de 2026
Enfoque individual
Mujer de 104 años con antecedentes de hipertensión arterial, que acude por malestar general y dolor abdominal epigástrico muy intenso de tres días de evolución, no irradiado. Sin otra clínica asociada.
Hemodinámicamente estable. Soplo epigastrio y bultoma pulsátil muy doloroso a la palpación. No megalias. Murphy y Blumberg negativos. No peritonismo. Puño percusión renal bilateral negativo.
Hallazgos ecográficos
Ecografía en centro de salud: corte longitudinal paramedial izquierdo, se objetiva a nivel de epigastrio una dilatación lobulada de la arteria aorta abdominal (Imagen 1), que se inicia desde su porción suprarrenal y continua en todo su recorrido, afinándose al llegar a la bifurcación de arterias ilíacas.
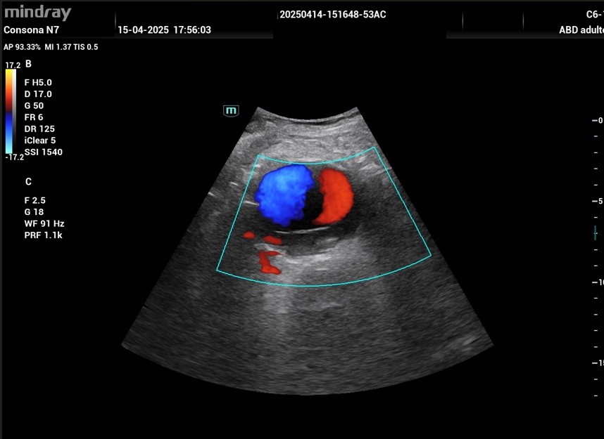
En el plano transversal se objetiva la dilatación de la aorta de hasta 5,91 cm de diámetro total, con presencia de trombo mural en pared posterior que deja una luz respetada de un diámetro de 4,19 cm (Imagen 2). Con Doppler Color se visualiza el signo del Yin -Yang, que representa un flujo anterógrado y retrógrado que puede aparecer en aneurismas y pseudoaneurismas. (Imagen 3).
Sin líquido libre en espacio de Morrison, ni en Douglas.
Pruebas complementarias
TAC abdominal: aneurisma aorta abdominal, suprarrenal de 5,7 cm de diámetro transverso e infrarrenal de 7 cm de diámetro con trombos murales periféricos y luz permeable. Sin signos que sugieran inestabilidad.
Juicio clínico, diagnóstico diferencial, concordancia con el hospital (en su caso)
Aneurisma de aorta abdominal con trombo mural posterior.
Tratamiento, planes de actuación
Dado el deterioro cognitivo moderado de la paciente, se explica a los familiares el diagnóstico y pronóstico de la lesión. Es derivada a urgencias hospitalarias para valoración por Cirugía Cardiovascular que solicita un TAC abdominal confirmándose el AAA sin hallar otras posibles causas del dolor abdominal y descartando signos de inestabilidad o rotura ni líquido libre intraabdominal.
Evolución
Tras consensuarlo con los familiares y la paciente, Cirugía Vascular decide mantener un manejo conservador.
Las complicaciones del AAA tienen una alta mortalidad y el riesgo de rotura se relaciona con el diámetro máximo. Por ello, es interesante destacar que se ha demostrado una buena validez para el diagnóstico de AAA mediante ecografía en Atención Primaria.
La ecografía es la prueba más adecuada para el screening de AAA en pacientes asintomáticos. Sin embargo, en nuestro país aún no existe un cribado sistemático de AAA, a diferencia de otros países.


