V Jornadas de Ecografía de la semFYC
9 y 10 de febrero de 2024
Atención primaria.
Enfoque individual
Afebril.
Abdomen blando y depresible. Murphy dudoso. No signos de irritación peritoneal. Peristaltismo presente. No icterícia de piel ni mucosas.
Se confirma orina colúria.
Como antecedente a destacar en tratamiento con evolocumab por cardiopatía isquémica crónica asociada a dislipémia, se revisan efectos secundarios.
Ante la sospecha de posible cólico hepático se decide realizar una ecografía clínica a pie de cama.
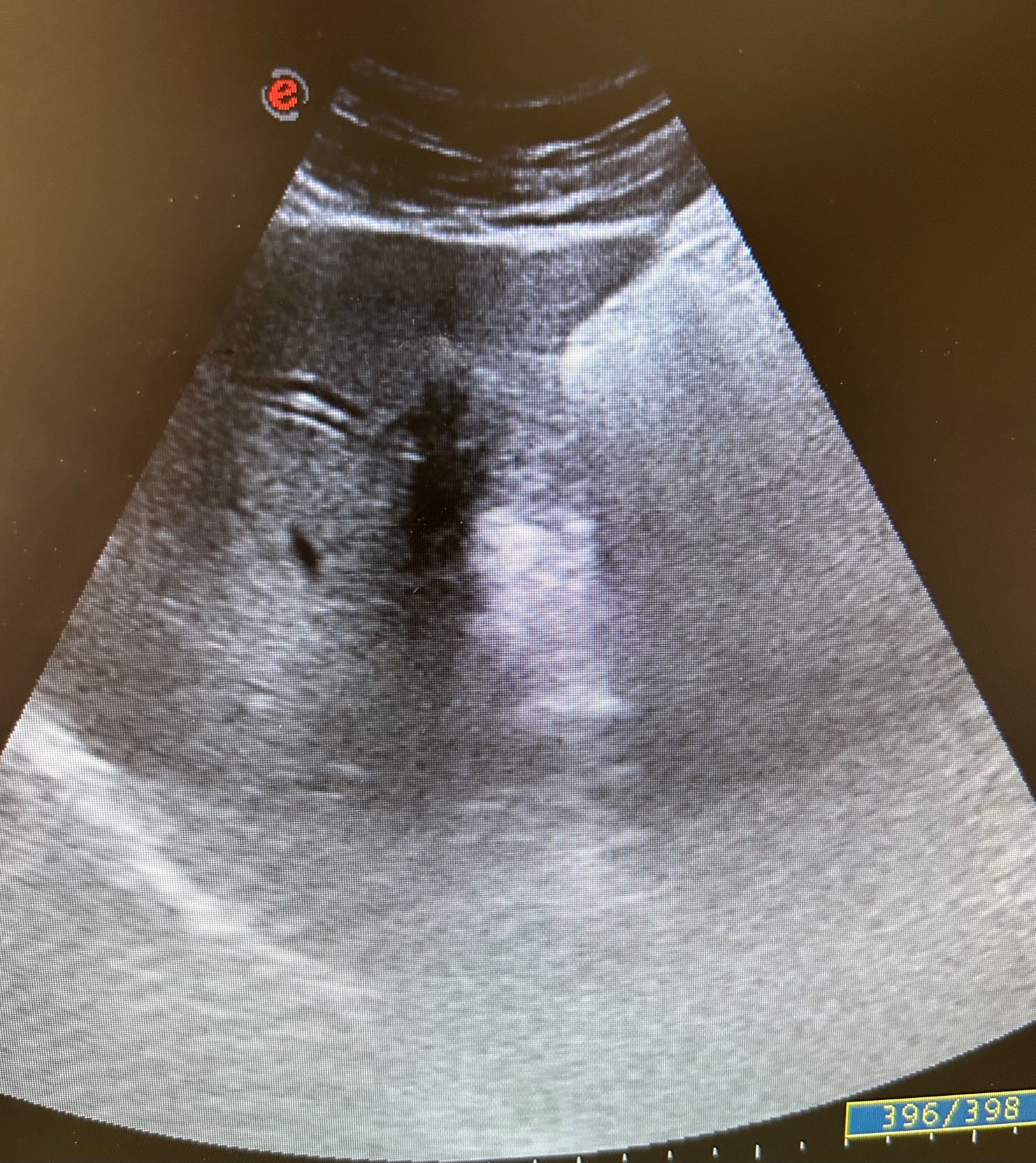
Hallazgos ecográficos
En la ecografía se observa ectasia de la vía biliar intrahepática conformando un patrón de doble carril.
No se visualizan colelitiasis.
Pruebas complementarias
Tira de orina: BI positiva.
Juicio clínico, diagnóstico diferencial, identificación de problemas
Por los hallazgos ecográficos y de la exploración física se decide derivar a urgencias del hospital de referencia ante la sospecha de colecistitis aguda vs coledocolitiasis. En urgencias se realiza ecografía con resultado concordante con la realizada desde Atención Primaria.
Tratamiento y planes de actuación
Además se le realiza una analítica que muestra alteración del perfil hepático y se decide ingreso en planta de gastroenterología para completar estudio con sospecha diagnóstica de cólico biliar complicado. Sospecha de coledocolitiasis.
Evolución
La ecografía clínica en Atención Primaria nos ayuda en la toma de decisiones en la consulta diària y en la atención continuada a nuestros pacientes y incluso en el diagnóstico precoz, si estamos alertas a los signos ecográficos de alta sospecha patológica.
Utilitzar la ecografía clínica como en una herramienta de uso diario aumenta la calidad de nuestra práctica clínica.
