X Jornadas de Actualización en Medicina de Urgencias y VI Jornadas de Ecografía de la semFYC
6-7-8 de febrero de 2025
Atención Primaria.
Masa cervical.
Antecedentes personales relevantes, anamnesis, exploración física y lugar que ocupa en ella la ecografía
Mujer de 59 años con antecedentes de hipertensión, dislipemia, sin hábitos tóxicos. Acude a consulta por odinofagia y aparición brusca de bulto en región anterior del cuello de 1 semana de evolución. Fue a Urgencias donde pautaron Ibuprofeno con mejoría sintomática y disminución de volumen. Hace unos días se intensifica la clínica con reaparición de odinofagia y crecimiento del bulto. Refiere astenia y falta de apetito, sin pérdida de peso. No fiebre, no disfonía, no tos ni expectoración, no disnea, no disfagia. No otra sintomatología.
Exploración física: aumento de volumen en región anterior del cuello con lesión de unos 3 cm de diámetro, blando, móvil con la deglución, centrada, impresiona dependiente de tiroides.
Dado los hallazgos obtenidos en la anamnesis y exploración física así como el fácil acceso se realiza una ecografía en Atención Primaria.
Descripción de los hallazgos ecográficos y las imágenes más relevantes para la resolución del caso
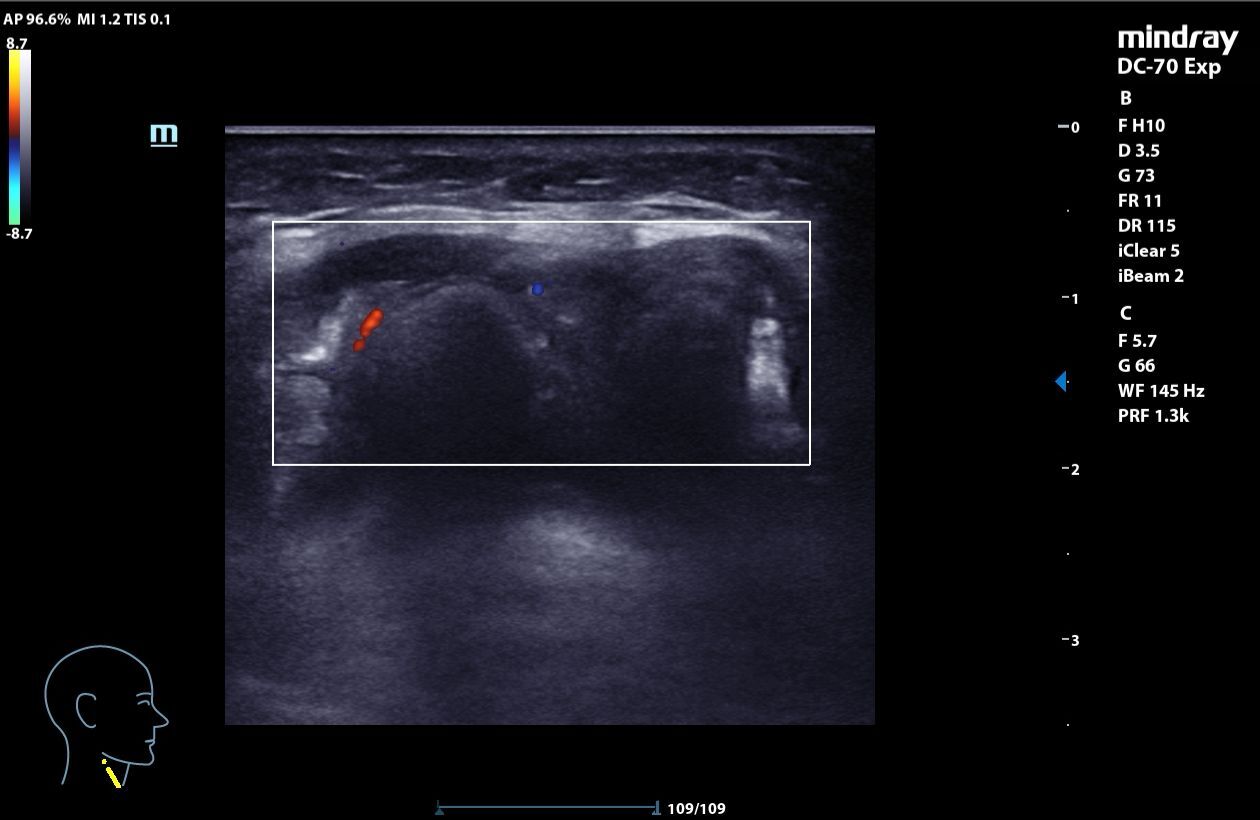
A nivel medial del cuello, por encima del cartílago cricoideo, masa heterogénea, mal delimitada, con calcificaciones internas que generan sombra acústica posterior, elementos hiperecogénicos y algunas zonas anecoicas con refuerzo posterior, con captación en Doppler. La lesión mide 3,06 x 1,48 x 2,78 cm y se mueve con la deglución. En relación con quiste tirogloso complicado o proceso neoformativo.
Otras pruebas complementarias realizadas (si existen)
Analítica: no hallazgos patológicos. TSH 1.928 mUI/L
Juicio clínico, diagnóstico diferencial, concordancia con el hospital (en su caso)
Juicio diagnóstico: Masa cervical a estudio, posible quiste del conducto tirogloso.
Diagnóstico diferencial: quiste tirogloso, bocio, proceso neoformativo, absceso periamigdalino.
Se deriva a Medicina Interna para ampliar estudio.
Decisiones adoptadas: tratamiento, planes de actuación
Solicitan ecografía con biopsia (imposible de realizar por desconocer si existe dependencia con la vía aérea) y TAC de cuello-tórax donde se objetiva anterior al hueso hioides y línea media lesión hipodensa polilobulada en posible relación con quiste del conducto tirogloso. No adenopatías laterocervicales sospechosas.
Se concluye como diagnóstico quiste del conducto tirogloso.
Evolución y seguimiento
Dada ausencia de neoplasia durante estudio y de clínica en el momento actual se acuerda alta de medicina interna y seguimiento por su médico de familia.
La importancia del uso de la ecografía en Atención Primaria es la facilidad en la descripción y rapidez para llegar a un diagnóstico definitivo, sin que ello conlleve un gasto sanitario excesivo ni mayor demora en las derivaciones a otros servicios.



