X Jornadas de Actualización en Medicina de Urgencias y VI Jornadas de Ecografía de la semFYC
6-7-8 de febrero de 2025
Antecedentes personales relevantes, anamnesis, exploración física y lugar que ocupa en ella la ecografía
Antecedentes personales: hipertensión, diabetes mellitus tipo 2, carcinoma renal de células claras papilar en 2017 (actualmente en remisión), anemia ferropénica, diverticulosis colónica y gastritis crónica antral.
Antecedentes quirúrgicos: nefrectomía radical derecha y anexectomía bilateral en junio 2015 por cistoadenomas.
Tratamiento: omeprazol 40 mg, metformina 850 mg y al mediodía, valsartan/hidroclorotiazida 320/25 mg y lorazepam 1 mg.
Anamnesis: paciente consulta por gonalgia de 6 meses de evolución exacerbada hace 1 semana. No traumatismo. Episodio catarral la semana previa sin fiebre termometrada. No pérdida de peso.
Exploración física: tumefacción suprapatelar, signo de rebote positivo, sin signos de artritis. Pulsos pedios conservados.
Se realiza ecografía para descarte de patologías.
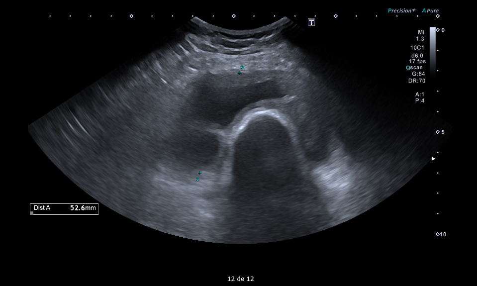
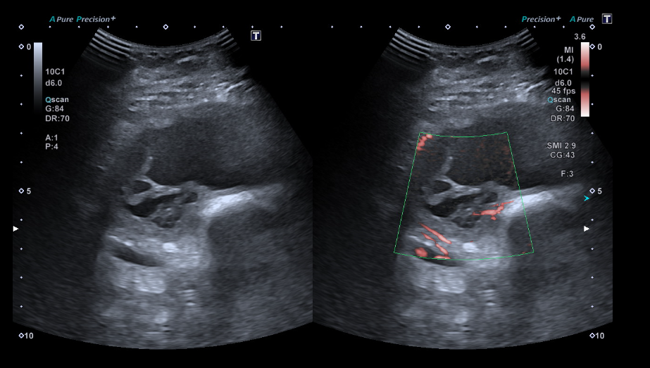
Descripción de los hallazgos ecográficos y las imágenes más relevantes para la resolución del caso
Masa sólida de partes blandas de 5 x 9 x 14 cm en compartimento femoral anterior, en profundidad al recto femoral y vastos medial y lateral. Engloba desde el tercio medio de la diáfisis hasta la rótula. Presenta polos sólidos vascularizados y zonas quísticas/necróticas.
Otras pruebas complementarias realizadas (si existen)
RMN de rodilla: gran masa sólido-quística de 19 x 9,7 x 5,8 cm intraarticular centrada en el receso suprapatelar que se extiende por espacio articular femorotibial hasta el compartimento posterior de la rodilla.
TAC craneocervicotoracoabdominopélvico: anodino.
RMN SNC: anodino.
BAG: tumor de células gigantes tenosinovial (TGCT).
Juicio clínico, diagnóstico diferencial, concordancia con el hospital (en su caso)
Ingresa en Medicina Interna para continuar estudio.
Diagnóstico diferencial: sarcoma, lipoma, quiste de Baker, artritis.
Decisiones adoptadas: tratamiento, planes de actuación
Se deriva a Cirugía Plástica para exéresis, que confirma TGCT sin afectación del resto de órganos.
Evolución y seguimiento
Al mes, presentó una infección local en el drenaje que derivó en una sepsis y actualmente está ingresada.
A pesar de que los TGCT son muy raros, la realización de una ecografía en el servicio de urgencias permitió evitar múltiples visitas, tratamientos y pruebas innecesarias que hubieran generado un retraso en el diagnóstico, tratamiento adecuado y posibles complicaciones.



