V Jornadas de Ecografía de la semFYC

9 y 10 de febrero de 2024

Comunicaciones: Casos clínicos

A propósito de un caso: seguimiento de un catarro común (póster)

Ámbito del caso

Atención Primaria.

Motivos de consulta

Fiebre y dolor costal. 

Historia clínica

Enfoque individual

Mujer de 58 años que acude por segunda vez por persistencia de clínica de nasofaringitis aguda desde hace una semana con inicio de fiebre de hasta 38 ºC en los últimos dos días. Además, asocia leve fatiga con los esfuerzos. Como antecedentes es diabética tipo II en tratamiento con metformina y dislipémica en tratamiento farmacológico. A la exploración física presentaba una satO2 91%, con auscultación rítmica con roncus diseminados y cerpitantes bibasales de predominio derecho, así como silencio auscultatorio en base derecha. Decidimos realización de ecografía pulmonar. 

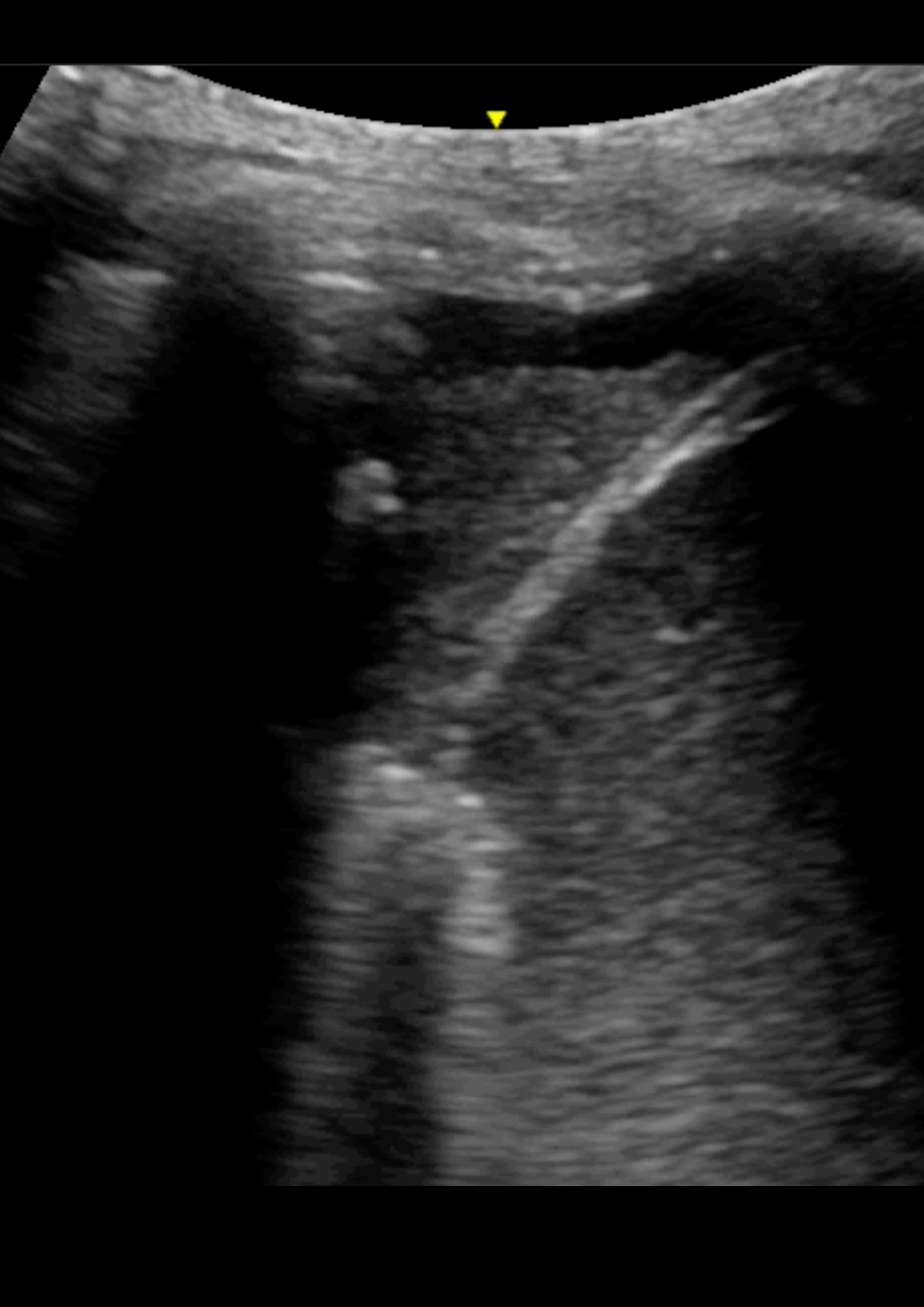
Hallazgos ecográficos

En la ecografía pulmonar observamos varios patrones de líneas B bilaterales de predominio derecho, con hallazgo de consolidación en punto PLAPS (posterolateral alveolar and/or pleural syndrome) y derrame pleural.

Pruebas complementarias

Ante la sospecha de infección pulmonar consolidativa, se deriva a hospital de referencia donde se le realiza una analítica con leucocitosis de 18000 con desviación izquierda y PCR 10. Además, le realizan una radiografía de tórax AP y lateral constatando la consolidación basal derecha con derrame pleural asociado. 

Juicio clínico, diagnóstico diferencial, identificación de problemas

Neumonía basal derecha comunitaria con derrame pleural asociado.

Tratamiento y planes de actuación

La paciente es ingresada para tratamiento intravenoso y control de resolución del derrame pleural.

Evolución

Posteriormente, se realizó control radiográfico con desaparición de la consolidación y mejoría del derrame asociado, por lo que se decide alta permaneciendo asintomática en domicilio con buena evolución. 

Conclusiones (y aplicabilidad para la Medicina de Familia)

La ecografía pulmonar en Atención Primaria no está tan establecida como en el caso de Urgencias, sin embargo, un correcto manejo de la misma permite diferenciar entre diferentes motivos de disnea como son la descompensación cardíaca y el broncoespasmo, así como patología infecciosa. El punto PLAPS, situado en la parte postero-inferior-lateral del pulmón, es el punto más rentable para el diagnostico de las consolidaciones pulmonares así como el derrame pleural, independientemente de la posición del paciente. 
 
 
 

 

Comunicaciones y ponencias semFYC: 2026; Comunicaciones: Casos clínicos. ISSN: 2339-9333

Autores

Sánchez Rodenas, María
CS Santa María de Gracia. Murcia
Callizo Gallego, Miguel
CS Santa María de Gracia. Murcia