X Jornadas de Actualización en Medicina de Urgencias y VI Jornadas de Ecografía de la semFYC
6-7-8 de febrero de 2025
Mujer de 86 años que acude a Urgencias por tos y expectoración grisácea de 4 días de evolución. Sensación distérmica. No dolor torácico. Disnea de esfuerzos moderados. No ortopnea ni DPN ni aumento de edema. Diarrea sin dolor abdominal. No clínica urinaria. No otra clínica asociada.
Enfoque individual: antecedentes personales, anamnesis, exploración, pruebas complementarias, etc.
Antecedentes personales:
Exploración física:
*Ctes: PA: 119/74 mmHg, FC: 100 lpm, Temp: 35,6 ºC, SatO2: 93% (FiO2 21%).
Tórax. AC: arrítmica, sin soplos. AP: roncus bilaterales móviles con la tos. Sibilancias bilaterales difusas.
Resto normal.
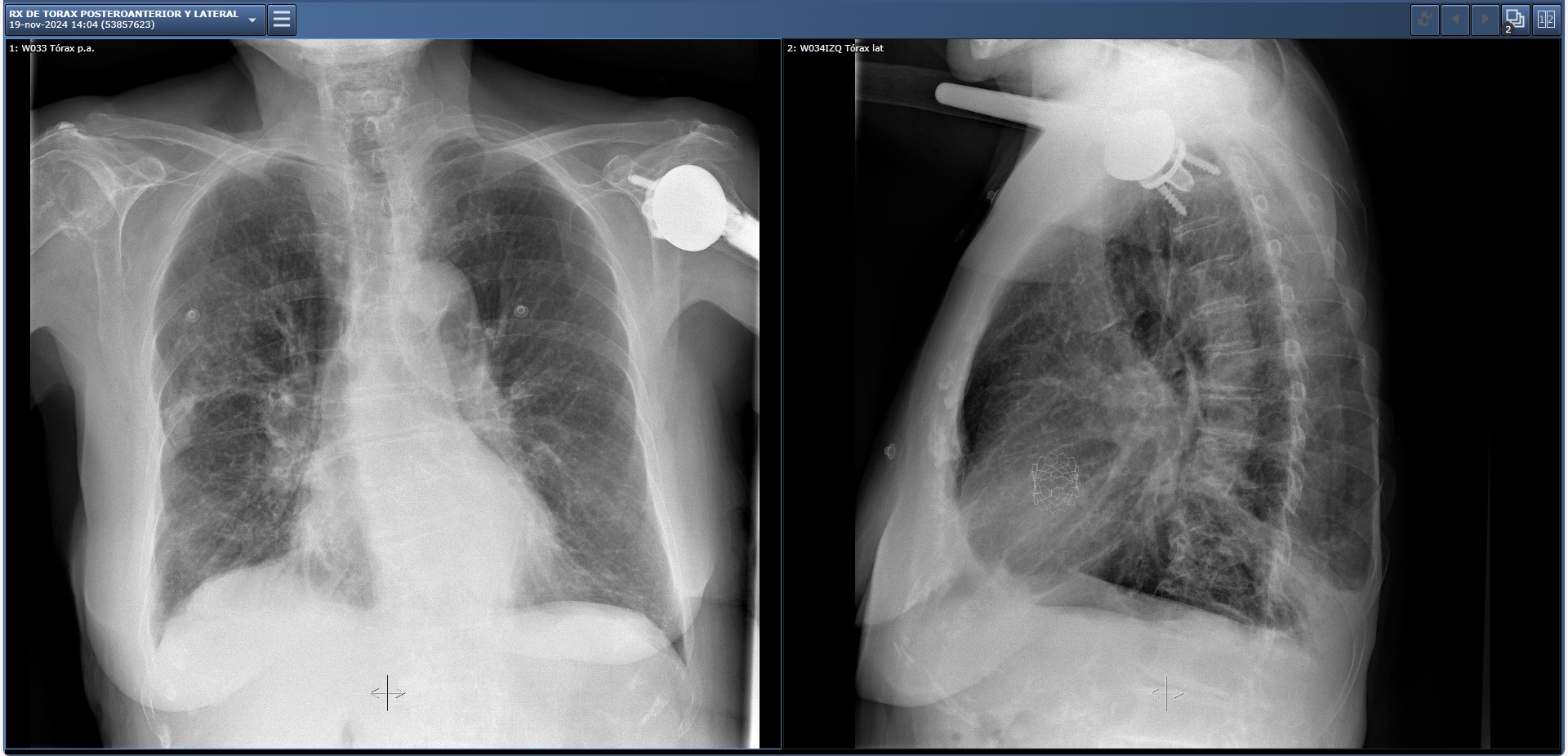
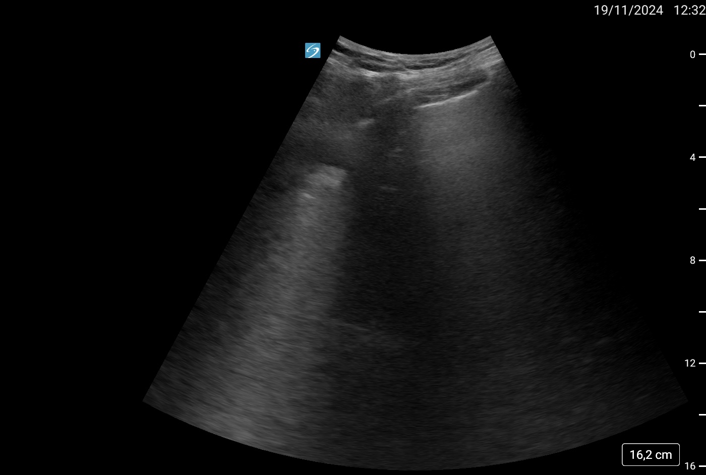
Pruebas complementarias:
Ecografía como herramienta útil para la exploración física:
Juicio clínico, diagnóstico diferencial, identificación de problemas
Diagnóstico diferencial: Broncoespasmo por reagudización asmática, infección de la vía respiratoria alta y baja e insuficiencia cardíaca aguda.
Diagnósticos (tras exploración física y pruebas complementarias):
Tratamiento y planes de actuación.
Durante su permanencia en Urgencias se administra salbutamol/bromuro de ipratropio inhalado, metilprednisolona 40 mg y furosemida 40 mg. Se calcula CHA2DS2VASc 5, con indicación de anticoagulación. De acuerdo al PSI y la situación clínica, se ingresa en Medicina Interna con Ceftriaxona 2 g y Levofloxacino 500 mg c/24 h.
Evolución
De acuerdo al PSI y la situación clínica, se ingresa en Medicina Interna con Ceftriaxona 2 g y Levofloxacino 500 mg c/24h.
Buena evolución y alta domiciliaria con tratamiento a los 6 días del ingreso.
Utilidad de la ecografía como herramienta complementaria para la exploración física, aplicable tanto en el Servicio de Urgencias como en el ámbito ambulatorio.



