V Jornadas de Ecografía de la semFYC

9 y 10 de febrero de 2024

Comunicaciones: Casos clínicos

A propósito de un caso: aumento de partes blandas sin traumatismo (póster)

Ámbito del caso

Atención Primaria.

Motivos de consulta

Aumento de partes blandas de brazo derecho.

Historia clínica

Enfoque individual

Hombre de 27 años que consulta por impotencia funcional y aumento de partes blandas de bíceps derecho sin traumatismo ni sobreesfuerzo muscular. Asocia parestesias en dicho miembro. Afebril. No antecedentes de interés ni tratamiento crónico. 
A la exploración física presenta constantes estables, con aumento de volumen en todo el brazo derecho, edema indurado subcutáneo, coloración violácea, pulsos conservados.
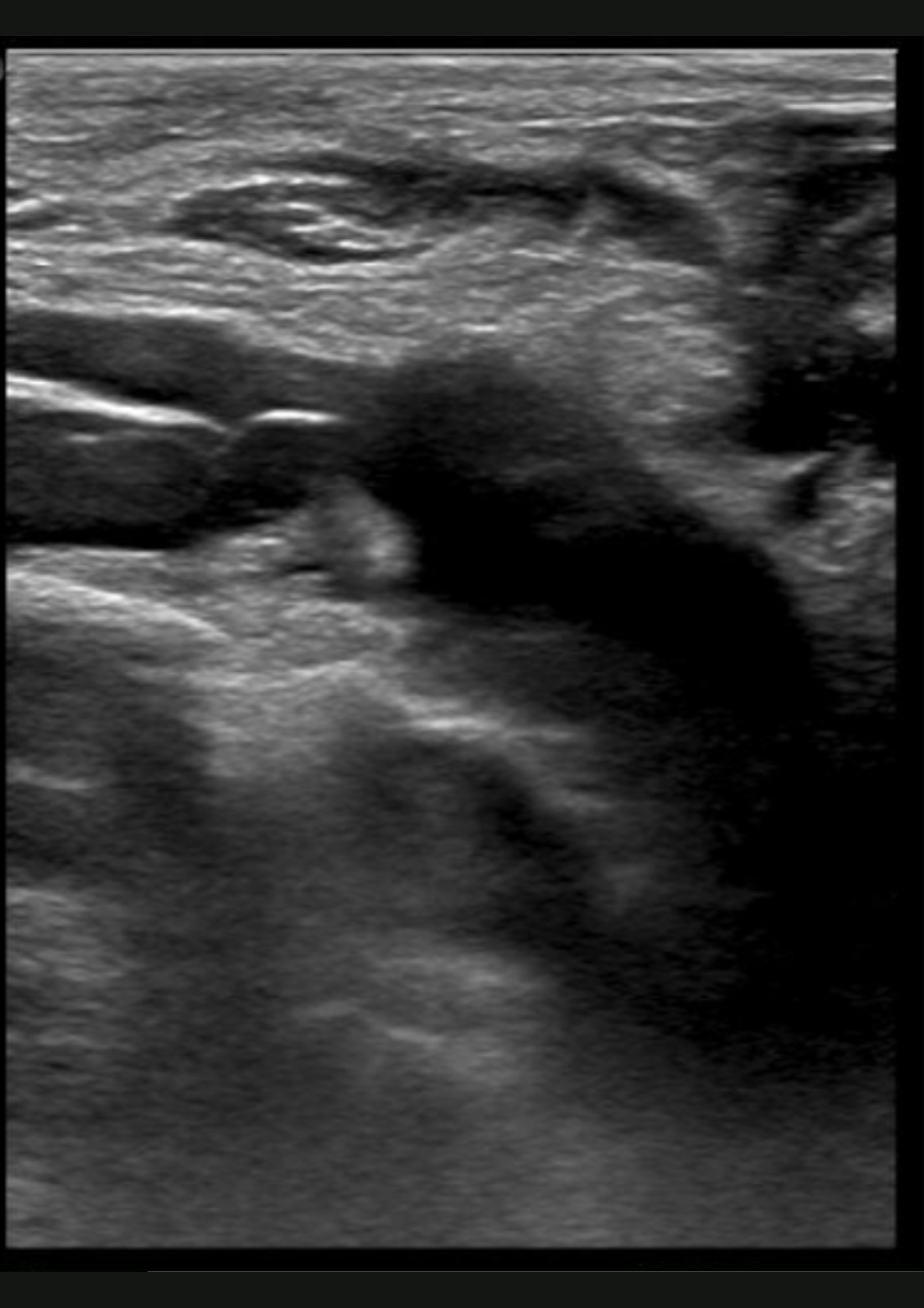
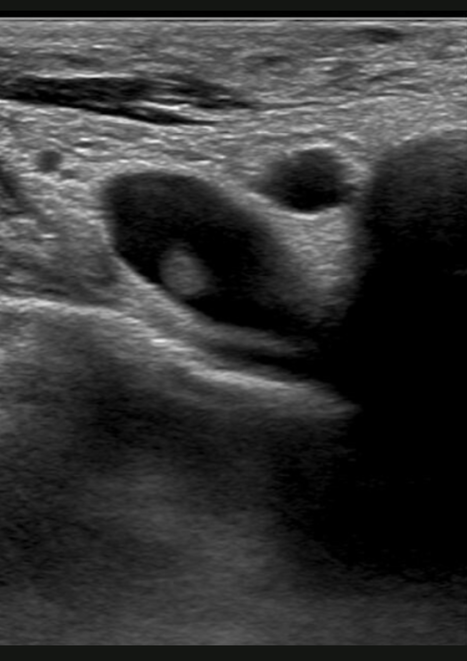
Ante la sospecha de patología muscular sin antecedente traumático, se realiza ecografía.

Hallazgos ecográficos

En la ecografía no apreciamos alteraciones musculares pero observamos dificultad para la compresión de la vena subclavia derecha en extensión.

Pruebas complementarias

No procede.

Juicio clínico, diagnóstico diferencial, identificación de problemas

Trombosis venosa profunda de sublcaiva, innominada, cefálica y yugular derecha.

Ante un paciente con aumento de edema de partes blandas debemos sospechar: patología muscular como desinserción de cabeza de bíceps o hematoma muscular, celulitis, síndrome postrombótico, insuficiencia venosa, tromboflebitis superficial, etc.

Tratamiento y planes de actuación

Se remite a Urgencias del hospital de referencia con hallazgos de coagulación: INR 1.05, fibrinógeno 464, Dímero D 1222; y una ecografía de partes blandas que muestra una trombosis venosa de la vena subclavia derecha y vena innominada, con ligera extensión a la vena yugular derecha y cefálica derecha. Posteriormente, se inicia heparina subcutánea y se realiza fibrinolisis con perfusión de urokinasa. En el estudio de coagulación posterior se determinó una hiperhomocisteinemia y probable síndrome antifosfolípido (Paget-Schroetter).

Evolución

Actualmente el paciente mantiene tratamiento con heparina y sintrom ante persistencia de coágulos, en seguimiento por la unidad de trombosis.

Conclusiones (y aplicabilidad para la Medicina de Familia)

La enfermedad tromboembólica venosa (ETEV) en extremidades superiores es una entidad poco frecuente. Un tipo de ETEV primaria sería el síndrome de Paget-Schroetter, el cual suele asociarse a ejercicios intensos o bien ser la primera manifestación de un estado trombofílico desconocido hasta ese momento, como en el caso que nos ocupa. La ecografía clínica nos permite un abordaje rápido y sencillo de la patología venosa.
 
 
 
 
 

Comunicaciones y ponencias semFYC: 2026; Comunicaciones: Casos clínicos. ISSN: 2339-9333

Autores

Sánchez Rodenas, María
CS Santa María de Gracia. Murcia
Callizo Gallego, Miguel
CS Santa María de Gracia. Murcia